购物车
  • 全部删除
  • TargetMol
    您的购物车当前为空

Anti-HIF1AN Antibody (9B616)

Rating icon 还可以
产品编号 TMAC-01820

Anti-HIF1AN Antibody (9B616) 是一种 Rabbit 抗体,靶向 HIF1AN。Anti-HIF1AN Antibody (9B616) 可用于 FCM,ICC,IHC,WB。

Anti-HIF1AN Antibody (9B616)

Anti-HIF1AN Antibody (9B616)

一键复制产品信息
Rating icon 还可以
产品编号 TMAC-01820

Anti-HIF1AN Antibody (9B616) 是一种 Rabbit 抗体,靶向 HIF1AN。Anti-HIF1AN Antibody (9B616) 可用于 FCM,ICC,IHC,WB。

规格价格库存数量
50 μL
¥ 1,480
5日内发货
100 μL
¥ 2,485
5日内发货
大包装 & 定制
加入购物车
TargetMol 的所有产品仅用作科学研究或药证申报,不能被用于人体,我们不向个人提供产品和服务。请您遵守承诺用途,不得违反法律法规规定用于任何其他用途。
实验操作小课堂
常见问题解答
查看更多
联系我们获取更多批次信息
资源下载

产品介绍

生物活性
产品描述
Anti-HIF1AN Antibody (9B616) is a Rabbit antibody targeting HIF1AN. Anti-HIF1AN Antibody (9B616) can be used in FCM,ICC,IHC,WB.
Ig Type
IgG
克隆号
9B616
交叉反应
Human
验证活性
1. Western blot analysis of HIF1AN on A549 and Jurkat cell lysates using anti-HIF1AN antibody at 1/1,000 dilution.
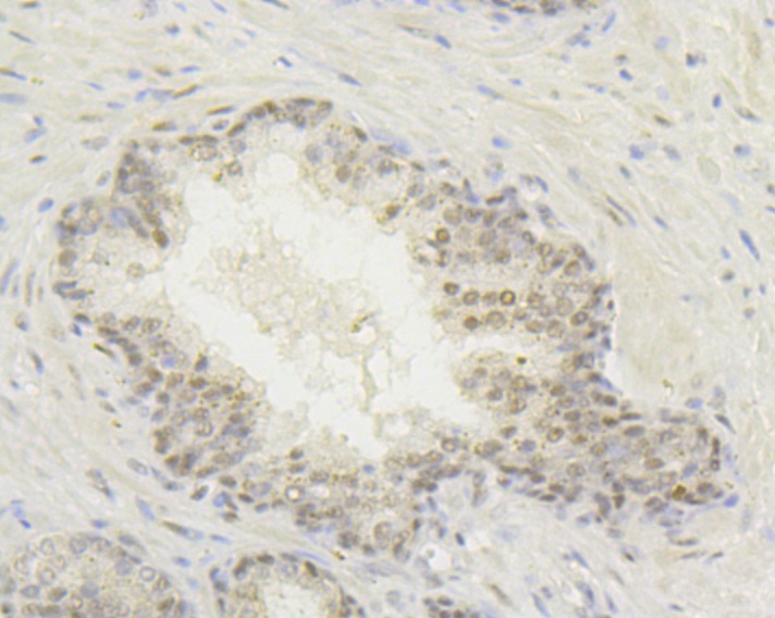
2. Immunohistochemical analysis of paraffin-embedded human prostate cancer tissue using anti-HIF1AN antibody. Counter stained with hematoxylin.
3. ICC staining HIF1AN in LOVO cells (green). The nuclear counter stain is DAPI (blue). Cells were fixed in paraformaldehyde, permeabilised with 0.25% Triton X100/PBS.
4. ICC staining HIF1AN in SiHa cells (green). The nuclear counter stain is DAPI (blue). Cells were fixed in paraformaldehyde, permeabilised with 0.25% Triton X100/PBS.
5. Flow cytometric analysis of LOVO cells with HIF1AN antibody at 1/100 dilution (purple) compared with an unlabelled control (cells without incubation with primary antibody; yellow). Alexa Fluor 488-conjugated goat anti-rabbit IgG was used as the secondary antibody.
verifiedActivityverifiedActivityverifiedActivityverifiedActivityverifiedActivity
应用FCMICCIHCWB
推荐剂量
WB: 1:500-2000; IHC: 1:50-200; ICC: 1:50-200; FCM: 1:50-100
抗体种类
Monoclonal
宿主来源Rabbit
构建方式Recombinant Antibody
纯化方式ProA affinity purified
性状Liquid
缓冲液1*TBS (pH7.4), 1%BSA, 40%Glycerol. Preservative: 0.05% Sodium Azide.
研究背景Factor inhibiting HIF-1 (FIH-1) exists as a homodimer and binds to HIF-1α. Specifically, FIH-1 operates as an asparaginyl hydroxylase. It catalyzes the hydroxylation of the β-carbon of Asparagine residue 803 within the carboxy terminal transactivation domain of HIF-1α. This hydroxylation event blocks the association of HIF-1α with co-activators. FIH-1 also binds to von Hippel-Lindau (VHL) tumor suppressor protein, which represses transcriptional ac-tivity of HIF-1α. In transiently transfected human osteosarcoma cells, FIH-1 localizes to the cytoplasm. The structure of FIH-1 includes a jellyroll-like β-barrel containing ferrous-binding triad residues. The gene encoding human FIH-1 maps to chromosome 10q24.
偶联与修饰
偶联
Unconjugated
抗原信息
免疫原
Recombinant Protein: human HIF1AN aa 1-200
抗原种属
human
Uniprot ID
化学信息
分子量Theoretical: 40 kDa.
存储&运输
储存方式Store at -20°C or -80°C for 12 months. Avoid repeated freeze-thaw cycles.
运输方式Shipping with blue ice.

计算器

  • 稀释 计算器

关键词

评论列表

4个月前
5.0
Rating icon 很棒

评论内容

Related Tags: buy Anti-HIF1AN Antibody (9B616) | purchase Anti-HIF1AN Antibody (9B616) | Anti-HIF1AN Antibody (9B616) cost | order Anti-HIF1AN Antibody (9B616) | Anti-HIF1AN Antibody (9B616) molecular weight