购物车
  • TargetMol
    您的购物车当前为空

Anti-HDAC8 Antibody (6A120)

Synonyms: WTS, RPD3, MRXS6, histone deacetylase 8, HDACL1, HD8, CDLS5, CDA07
货号 TMAC-01790 一键复制产品信息
Rating icon 还可以
202603开学季活动

Anti-HDAC8 Antibody (6A120) 是一种 Rabbit 抗体,靶向 HDAC8。Anti-HDAC8 Antibody (6A120) 可用于 FCM,ICC/IF,IHC,IP,WB。

Anti-HDAC8 Antibody (6A120)

一键复制产品信息
Rating icon 还可以
202603开学季活动
货号 TMAC-01790

别名 WTS, RPD3, MRXS6, histone deacetylase 8, HDACL1, HD8, CDLS5, CDA07

Anti-HDAC8 Antibody (6A120) 是一种 Rabbit 抗体,靶向 HDAC8。Anti-HDAC8 Antibody (6A120) 可用于 FCM,ICC/IF,IHC,IP,WB。

Anti-HDAC8 Antibody (6A120)
规格价格库存数量
50 μL
¥ 1,480
5日内发货
100 μL
¥ 2,490
5日内发货
库存状态实时更新,以官网显示为准,现货产品可直接加购物车下单
大包装 & 定制
加入购物车

TargetMol的所有产品仅用作科学研究或药证申报,不能被用于人体,我们不向个人提供产品和服务。请您遵守承诺用途,不得违反法律法规规定用于任何其他用途。

实验操作小课堂
常见问题解答
查看更多

资源下载:产品操作手册

产品介绍


生物活性
产品描述
Anti-HDAC8 Antibody (6A120) is a Rabbit antibody targeting HDAC8. Anti-HDAC8 Antibody (6A120) can be used in FCM,ICC/IF,IHC,IP,WB.
别名
WTS, RPD3, MRXS6, histone deacetylase 8, HDACL1, HD8, CDLS5, CDA07
Ig Type
IgG
克隆号
6A120
反应种属
Human
验证活性
1. Western blot analysis of HDAC8 on different lysates using anti-HDAC8 antibody at 1/1,000 dilution. Positive control: Lane 1: Hela, Lane 2: K562.
2. Immunohistochemical analysis of paraffin-embedded human lung cancer tissue using anti-HDAC8 antibody. Counter stained with hematoxylin.
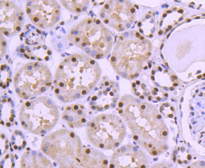
3. Immunohistochemical analysis of paraffin-embedded human kidney tissue using anti-HDAC8 antibody. Counter stained with hematoxylin.
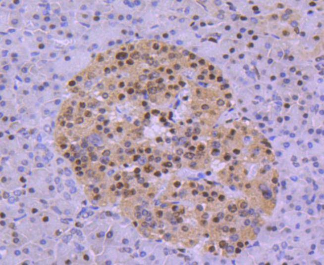
4. Immunohistochemical analysis of paraffin-embedded human pancreas tissue using anti-HDAC8 antibody. Counter stained with hematoxylin.
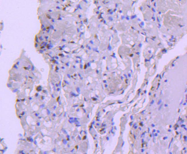
5. Immunohistochemical analysis of paraffin-embedded human lung tissue using anti-HDAC8 antibody. Counter stained with hematoxylin.
6. ICC staining HDAC8 in Hela cells (green). The nuclear counter stain is DAPI (blue). Cells were fixed in paraformaldehyde, permeabilised with 0.25% Triton X100/PBS.
7. ICC staining HDAC8 in A549 cells (green). The nuclear counter stain is DAPI (blue). Cells were fixed in paraformaldehyde, permeabilised with 0.25% Triton X100/PBS.
8. ICC staining HDAC8 in HepG2 cells (green). The nuclear counter stain is DAPI (blue). Cells were fixed in paraformaldehyde, permeabilised with 0.25% Triton X100/PBS.
9. Flow cytometric analysis of K562 cells with HDAC8 antibody at 1/50 dilution (red) compared with an unlabelled control (cells without incubation with primary antibody; black). Alexa Fluor 488-conjugated goat anti rabbit IgG was used as the secondary antibody.
verifiedActivityverifiedActivityverifiedActivityverifiedActivityverifiedActivityverifiedActivityverifiedActivityverifiedActivityverifiedActivity
应用FCMICC/IFIHCIPWB
推荐剂量
WB: 1:1000-2000; IHC: 1:50-200; ICC/IF: 1:100-500; FCM: 1:50-100
抗体种类
Monoclonal
宿主来源Rabbit
构建方式Recombinant Antibody
纯化方式ProA affinity purified
性状Liquid
缓冲液1*TBS (pH7.4), 1%BSA, 40%Glycerol. Preservative: 0.05% Sodium Azide.
研究背景In the intact cell, DNA closely associates with histones and other nuclear proteins to form chromatin. The remodeling of chromatin is believed to be a critical component of transcriptional regulation and a major source of this remodeling is brought about by the acetylation of nucleosomal histones. Acetylation of lysine residues in the amino terminal tail domain of histone results in an allosteric change in the nucleosomal conformation and an increased accessibility to transcription factors by DNA. Conversely, the deacetylation of histones is associated with transcriptional silencing. Several mammalian proteins have been identified as nuclear histone acetylases, including GCN5, PCAF (p300/CBP-associated factor), p300/CBP, HAT1 and the TFIID subunit TAF II p250. Mammalian HDAC8, isolated from human kidney, is a histone deacetylase that shares homology to other HDACs but has different tissue distribution. HDAC8 is localized to the nucleus and plays a role in the development of a broad range of tissues and in the etiology of cancer.
偶联与修饰
偶联
Unconjugated
抗原信息
免疫原
Recombinant Protein
Uniprot ID
化学信息
分子量Theoretical: 42 kDa.
储存&溶解度
储存方式Store at -20°C or -80°C for 12 months. Avoid repeated freeze-thaw cycles.
运输方式Shipping with blue ice.

计算器

  • 稀释 计算器
  • 配液 计算器
Related Tags: buy Anti-HDAC8 Antibody (6A120) | purchase Anti-HDAC8 Antibody (6A120) | Anti-HDAC8 Antibody (6A120) cost | order Anti-HDAC8 Antibody (6A120) | Anti-HDAC8 Antibody (6A120) molecular weight