购物车
  • TargetMol
    您的购物车当前为空

Anti-HDAC2 Antibody (5E9)

Synonyms: Histone deacetylase 2, HDAC 2, HD2, EC 3.5.1.98
货号 TMAC-01773 一键复制产品信息
Rating icon 还可以

Anti-HDAC2 Antibody (5E9) 是一种 Rabbit 抗体,靶向 HDAC2。Anti-HDAC2 Antibody (5E9) 可用于 FCM,ICC/IF,IHC,IP,WB。

Anti-HDAC2 Antibody (5E9)

一键复制产品信息
Rating icon 还可以
货号 TMAC-01773

别名 Histone deacetylase 2, HDAC 2, HD2, EC 3.5.1.98

Anti-HDAC2 Antibody (5E9) 是一种 Rabbit 抗体,靶向 HDAC2。Anti-HDAC2 Antibody (5E9) 可用于 FCM,ICC/IF,IHC,IP,WB。

Anti-HDAC2 Antibody (5E9)
规格价格库存数量
50 μL
¥ 1,495
5日内发货
100 μL
¥ 2,490
5日内发货
库存状态实时更新,以官网显示为准,现货产品可直接加购物车下单
大包装 & 定制
加入购物车

TargetMol的所有产品仅用作科学研究或药证申报,不能被用于人体,我们不向个人提供产品和服务。请您遵守承诺用途,不得违反法律法规规定用于任何其他用途。

实验操作小课堂
常见问题解答
查看更多

资源下载:产品操作手册

产品介绍


生物活性
产品描述
Anti-HDAC2 Antibody (5E9) is a Rabbit antibody targeting HDAC2. Anti-HDAC2 Antibody (5E9) can be used in FCM,ICC/IF,IHC,IP,WB.
别名
Histone deacetylase 2, HDAC 2, HD2, EC 3.5.1.98
Ig Type
IgG
克隆号
5E9
反应种属
Human,Mouse,Rat
验证活性
1. Western blot analysis of HDAC2 on different lysates using anti-HDAC2 antibody at 1/1,000 dilution. Positive control: Lane 1: 293T, Lane 2: K562.
2. Immunohistochemical analysis of paraffin-embedded rat spinal cord tissue using anti-HDAC2 antibody. Counter stained with hematoxylin.
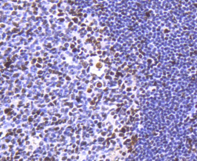
3. Immunohistochemical analysis of paraffin-embedded human tonsil tissue using anti-HDAC2 antibody. Counter stained with hematoxylin.
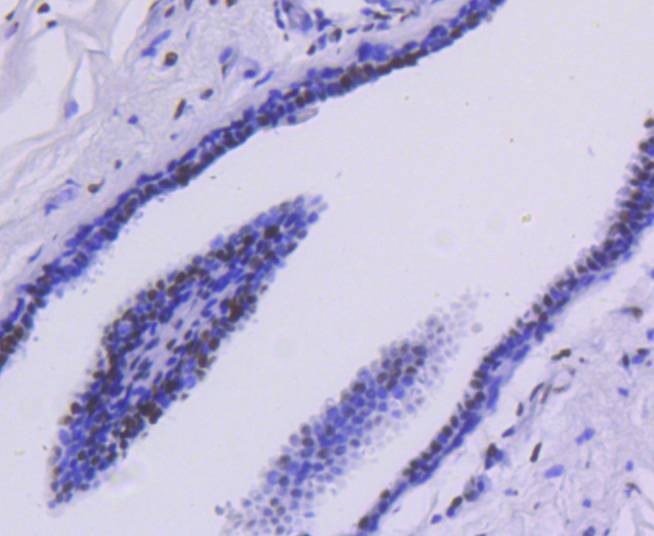
4. Immunohistochemical analysis of paraffin-embedded human breast carcinoma tissue using anti-HDAC2 antibody. Counter stained with hematoxylin.
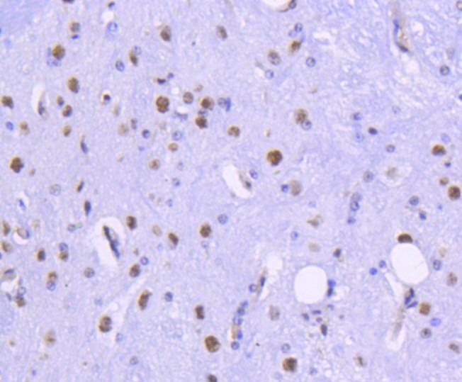
5. Immunohistochemical analysis of paraffin-embedded mouse spinal cord tissue using anti-HDAC2 antibody. Counter stained with hematoxylin.
6. ICC staining HDAC2 in Hela cells (green). The nuclear counter stain is DAPI (blue). Cells were fixed in paraformaldehyde, permeabilised with 0.25% Triton X100/PBS.
7. ICC staining HDAC2 in SHG-44 cells (green). The nuclear counter stain is DAPI (blue). Cells were fixed in paraformaldehyde, permeabilised with 0.25% Triton X100/PBS.
8. ICC staining HDAC2 in 293 cells (green). The nuclear counter stain is DAPI (blue). Cells were fixed in paraformaldehyde, permeabilised with 0.25% Triton X100/PBS.
9. Flow cytometric analysis of Hela cells with HDAC2 antibody at 1/50 dilution (red) compared with an unlabelled control (cells without incubation with primary antibody; black). Alexa Fluor 488-conjugated goat anti rabbit IgG was used as the secondary antibody.
verifiedActivityverifiedActivityverifiedActivityverifiedActivityverifiedActivityverifiedActivityverifiedActivityverifiedActivityverifiedActivity
应用FCMICC/IFIHCIPWB
推荐剂量
WB: 1:1000-2000; IHC: 1:50-200; ICC/IF: 1:50-200; FCM: 1:50-100
抗体种类
Monoclonal
宿主来源Rabbit
构建方式Recombinant Antibody
纯化方式ProA affinity purified
性状Liquid
缓冲液1*TBS (pH7.4), 1%BSA, 40%Glycerol. Preservative: 0.05% Sodium Azide.
研究背景In the intact cell, DNA closely associates with histones and other nuclear proteins to form chromatin. The remodeling of chromatin is believed to be a critical component of transcriptional regulation, and a major source of this remodeling is brought about by the acetylation of nucleosomal histones. Acetylation of lysine residues in the amino terminal tail domain of histone results in an allosteric change in the nucleosomal conformation and an increased accessibility to transcription factors by DNA. Conversely, the deacetylation of histones is associated with transcriptional silencing. Several mammalian proteins have been identified as nuclear histone acetylases, including GCN5, PCAF (for p300/CBP-associated factor), p300/CBP and the TFIID subunit TAF II p250. Mammalian HDAC1 (also designated HD1) and HDAC2 (also designated mammalian RPD3), both of which are related to the yeast transcriptional regulator Rpd3p, have been identified as histone deacetylases.
偶联与修饰
偶联
Unconjugated
抗原信息
免疫原
Recombinant Protein
Uniprot ID
化学信息
分子量Theoretical: 55 kDa.
储存&溶解度
储存方式Store at -20°C or -80°C for 12 months. Avoid repeated freeze-thaw cycles.
运输方式Shipping with blue ice.

计算器

  • 稀释 计算器
  • 配液 计算器
Related Tags: buy Anti-HDAC2 Antibody (5E9) | purchase Anti-HDAC2 Antibody (5E9) | Anti-HDAC2 Antibody (5E9) cost | order Anti-HDAC2 Antibody (5E9) | Anti-HDAC2 Antibody (5E9) molecular weight