购物车
  • TargetMol
    您的购物车当前为空

Anti-GSK3B Antibody (1A830)

Synonyms: GSK-3β, GSK3β, glycogen synthase kinase 3 β, glycogen synthase kinase 3 beta
货号 TMAC-01729 一键复制产品信息
Rating icon 还可以
202603开学季活动

Anti-GSK3B Antibody (1A830) 是一种 Rabbit 抗体,靶向 GSK3B。Anti-GSK3B Antibody (1A830) 可用于 FCM,ICC/IF,IHC,WB。

Anti-GSK3B Antibody (1A830)

一键复制产品信息
Rating icon 还可以
202603开学季活动
货号 TMAC-01729

别名 GSK-3β, GSK3β, glycogen synthase kinase 3 β, glycogen synthase kinase 3 beta

Anti-GSK3B Antibody (1A830) 是一种 Rabbit 抗体,靶向 GSK3B。Anti-GSK3B Antibody (1A830) 可用于 FCM,ICC/IF,IHC,WB。

Anti-GSK3B Antibody (1A830)
规格价格库存数量
50 μL
¥ 1,490
5日内发货
100 μL
¥ 2,480
5日内发货
库存状态实时更新,以官网显示为准,现货产品可直接加购物车下单
大包装 & 定制
加入购物车

TargetMol的所有产品仅用作科学研究或药证申报,不能被用于人体,我们不向个人提供产品和服务。请您遵守承诺用途,不得违反法律法规规定用于任何其他用途。

实验操作小课堂
常见问题解答
查看更多

资源下载:产品操作手册

产品介绍


生物活性
产品描述
Anti-GSK3B Antibody (1A830) is a Rabbit antibody targeting GSK3B. Anti-GSK3B Antibody (1A830) can be used in FCM,ICC/IF,IHC,WB.
别名
GSK-3β, GSK3β, glycogen synthase kinase 3 β, glycogen synthase kinase 3 beta
Ig Type
IgG
克隆号
1A830
反应种属
Human,Mouse
验证活性
1. Western blot analysis of GSK3 beta on different lysates using anti-GSK3 beta antibody at 1/1,000 dilution. Positive control: Lane 1: Hela, Lane 2: 293, Lane 3: NIH/3T3, Lane 4: PC12.
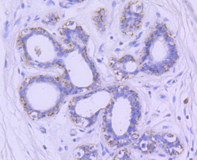
2. Immunohistochemical analysis of paraffin-embedded human breast tissue using anti-GSK3 beta antibody. Counter stained with hematoxylin.
3. Immunohistochemical analysis of paraffin-embedded human breast carcinoma tissue using anti-GSK3 beta antibody. Counter stained with hematoxylin.
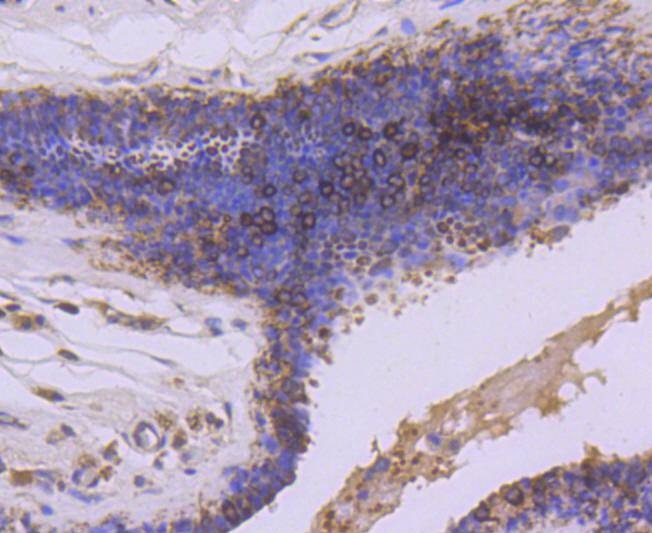
4. Immunohistochemical analysis of paraffin-embedded mouse testis tissue using anti-GSK3 beta antibody. Counter stained with hematoxylin.
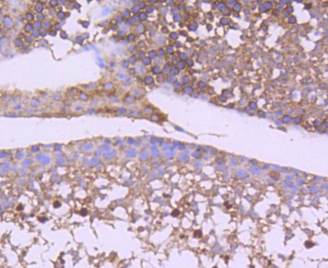
5. Immunohistochemical analysis of paraffin-embedded mouse prostate tissue using anti-GSK3 beta antibody. Counter stained with hematoxylin.
6. ICC staining GSK3 beta in Hela cells (green). The nuclear counter stain is DAPI (blue). Cells were fixed in paraformaldehyde, permeabilised with 0.25% Triton X100/PBS.
7. ICC staining GSK3 beta in PC-3M cells (green). The nuclear counter stain is DAPI (blue). Cells were fixed in paraformaldehyde, permeabilised with 0.25% Triton X100/PBS.
8. ICC staining GSK3 beta in SKOV-3 cells (green). The nuclear counter stain is DAPI (blue). Cells were fixed in paraformaldehyde, permeabilised with 0.25% Triton X100/PBS.
9. Flow cytometric analysis of Hela cells with GSK3 beta antibody at 1/50 dilution (blue) compared with an unlabelled control (cells without incubation with primary antibody; red). Alexa Fluor 488-conjugated goat anti rabbit IgG was used as the secondary antibody.
verifiedActivityverifiedActivityverifiedActivityverifiedActivityverifiedActivityverifiedActivityverifiedActivityverifiedActivityverifiedActivity
应用FCMICC/IFIHCWB
推荐剂量
WB: 1:1000-2000; IHC: 1:50-200; ICC/IF: 1:50-200; FCM: 1:50-100
抗体种类
Monoclonal
宿主来源Rabbit
构建方式Recombinant Antibody
纯化方式ProA affinity purified
性状Liquid
缓冲液1*TBS (pH7.4), 1%BSA, 40%Glycerol. Preservative: 0.05% Sodium Azide.
研究背景Glycogen synthase kinase 3, or GSK-3, is a serine/threonine, proline-directed kinase involved in a diverse array of signaling pathways, including glycogen synthesis and cellular adhesion, and has been implicated in Alzheimer??s disease. Two forms of GSK-3, designated GSK-3α and GSK-3β, have been identified and differ in their subcellular localization. Tau, a microtubule-binding protein which serves to stabilize microtubules in growing axons, is found to be hyper-phosphorylated in paired helical filaments (PHF), the major fibrous component of neurofibrillary lesions associated with Alzheimer??s disease. Hyperphosphorylation of Tau is thought to be the critical event leading to the assembly of PHF. Six Tau protein isoforms have been identified, all of which are phosphorylated by GSK-3. This presents the possibility that miscues in GSK-3 signaling contribute to the onset of Alzheimer??s disease.
偶联与修饰
偶联
Unconjugated
抗原信息
免疫原
Recombinant Protein
Uniprot ID
化学信息
分子量Theoretical: 46 kDa.
储存&溶解度
储存方式Store at -20°C or -80°C for 12 months. Avoid repeated freeze-thaw cycles.
运输方式Shipping with blue ice.

计算器

  • 稀释 计算器
  • 配液 计算器
Related Tags: buy Anti-GSK3B Antibody (1A830) | purchase Anti-GSK3B Antibody (1A830) | Anti-GSK3B Antibody (1A830) cost | order Anti-GSK3B Antibody (1A830) | Anti-GSK3B Antibody (1A830) molecular weight