购物车
  • TargetMol
    您的购物车当前为空

Anti-GPR84 Polyclonal Antibody 2

Synonyms: Inflammation-related G-protein coupled receptor EX33, G-protein coupled receptor 84, GPR84, EX33
货号 TMAB-00800 一键复制产品信息
Rating icon 还可以

Anti-GPR84 Polyclonal Antibody 2 是一种 Rabbit 抗体,靶向 GPR84。Anti-GPR84 Polyclonal Antibody 2 可用于 FCM,IF,IHC-Fr,IHC-P。

Anti-GPR84 Polyclonal Antibody 2

一键复制产品信息
Rating icon 还可以
货号 TMAB-00800

别名 Inflammation-related G-protein coupled receptor EX33, G-protein coupled receptor 84, GPR84, EX33

Anti-GPR84 Polyclonal Antibody 2 是一种 Rabbit 抗体,靶向 GPR84。Anti-GPR84 Polyclonal Antibody 2 可用于 FCM,IF,IHC-Fr,IHC-P。

Anti-GPR84 Polyclonal Antibody 2
规格价格库存数量
50 μL
¥ 1,170
5日内发货
100 μL
¥ 1,975
5日内发货
200 μL
¥ 2,790
5日内发货
库存状态实时更新,以官网显示为准,现货产品可直接加购物车下单
大包装 & 定制
加入购物车
TargetMol的所有产品仅用作科学研究或药证申报,不能被用于人体,我们不向个人提供产品和服务。请您遵守承诺用途,不得违反法律法规规定用于任何其他用途。
实验操作小课堂
常见问题解答
查看更多

资源下载:产品操作手册

产品介绍


生物活性
产品描述
Anti-GPR84 Polyclonal Antibody 2 is a Rabbit antibody targeting GPR84. Anti-GPR84 Polyclonal Antibody 2 can be used in FCM,IF,IHC-Fr,IHC-P.
别名Inflammation-related G-protein coupled receptor EX33, G-protein coupled receptor 84, GPR84, EX33
Ig Type
IgG
反应种属
Human,Mouse,Rabbit (predicted:Pig,Cow)
验证活性
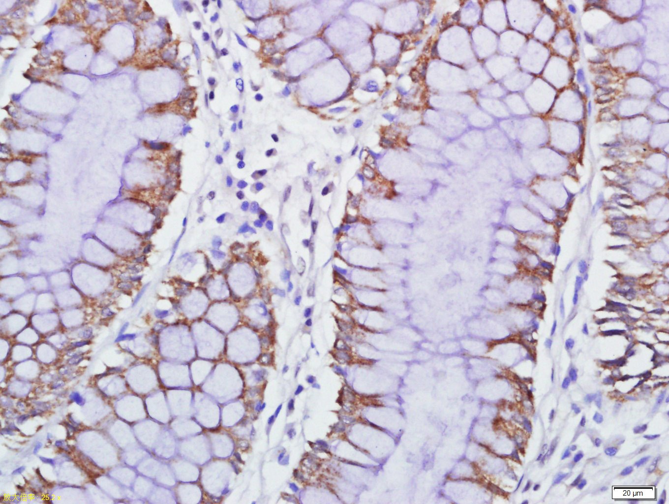
1. Tissue/cell: human colon carcinoma; 4% Paraformaldehyde-fixed and paraffin-embedded;
Antigen retrieval: citrate buffer (0.01M, pH6.0), Boiling bathing for 15 min; Block endogenous peroxidase by 3% Hydrogen peroxide for 30 min; Blocking buffer (normal goat serum) at 37°C for 20 min;
Incubation: Anti-GPCR EX33 Polyclonal Antibody, Unconjugated (TMAB-00800) 1:500, overnight at 4°C, followed by conjugation to the secondary antibody and DAb staining.
2. Tissue/cell: human brain glioma; 4% Paraformaldehyde-fixed and paraffin-embedded;
Antigen retrieval: citrate buffer (0.01M, pH6.0), Boiling bathing for 15 min; Block endogenous peroxidase by 3% Hydrogen peroxide for 30 min; Blocking buffer (normal goat serum) at 37°C for 20 min;
Incubation: Anti-EX33 Polyclonal Antibody, Unconjugated (TMAB-00800) 1:500, overnight at 4°C, followed by conjugation to the secondary antibody and DAb staining.

3. Tissue/cell: rabbit thymus tissue; 4% Paraformaldehyde-fixed and paraffin-embedded;
Antigen retrieval: citrate buffer (0.01M, pH6.0), Boiling bathing for 15 min; Block endogenous peroxidase by 3% Hydrogen peroxide for 30 min; Blocking buffer (normal goat serum) at 37°C for 20 min;
Incubation: Anti-EX33 Polyclonal Antibody, Unconjugated (TMAB-00800) 1:500, overnight at 4°C, followed by conjugation to the secondary antibody and DAb staining.
4. Blank control (blue): Mouse thymus cells (fixed with 2% paraformaldehyde (10 min)). Primary Antibody: Rabbit Anti-GPCR EX33 antibody (TMAB-00800), Dilution: 1 μg in 100 uL 1X PBS containing 0.5% BSA; Isotype Control Antibody: Rabbit Igg (orange),used under the same conditions); Secondary Antibody: Goat anti-rabbit IgG-Pe (white blue), Dilution: 1:200 in 1 X PBS containing 0.5% BSA.
5. Paraformaldehyde-fixed, paraffin embedded (Human Brain Glioma); Antigen retrieval by boiling in sodium citrate buffer (pH6.0) for 15 min; Block endogenous peroxidase by 3% hydrogen peroxide for 20 min; Blocking buffer (normal goat serum) at 37°C for 30 min; Antibody incubation with (GPCR EX33) Polyclonal Antibody, Unconjugated (TMAB-00800) at 1:500 overnight at 4°C, followed by a conjugated secondary for 20 min and DAB staining.
6. araformaldehyde-fixed, paraffin embedded (rabbit thymus); Antigen retrieval by boiling in sodium citrate buffer (pH6.0) for 15 min; Block endogenous peroxidase by 3% hydrogen peroxide for 20 min; Blocking buffer (normal goat serum) at 37°C for 30 min; Antibody incubation with (GPCR EX33) Polyclonal Antibody, Unconjugated (TMAB-00800) at 1:500 overnight at 4°C, followed by a conjugated secondary for 20 min and DAB staining.
7. Blank control: U937. Primary Antibody (green line): Rabbit Anti-GPR84 antibody (TMAB-00800)
Dilution: 1 μg/Test;
Secondary Antibody (white blue line): Goat anti-rabbit IgG-AF488
Dilution: 0.5 μg/Test.
Isotype control (orange line): Normal Rabbit IgG
Protocol
The cells were incubated in 5% BSA to block non-specific protein-protein interactions for 30 min at room temperature. Cells stained with Primary Antibody for 30 min at room temperature. The secondary antibody used for 40 min at room temperature.
verifiedActivityverifiedActivityverifiedActivityverifiedActivityverifiedActivityverifiedActivityverifiedActivity
应用FCMIFIHC-FrIHC-P
推荐剂量
IHC-P: 1:100-500; IHC-Fr: 1:100-500; IF: 1:100-500; FCM: 1μg/Test
抗体种类
Polyclonal
宿主来源Rabbit
亚细胞定位Cell membrane; Multi-pass membrane protein.
组织特异性Expressed predominantly in hematopoietic tissues. High levels detected in the bone marrow and lower levels in the peripheral leukocytes and lung. Also expressed in brain, heart, muscle, colon, thymus, spleen, kidney, liver, placenta and intestine. Within
构建方式Polyclonal Antibody
纯化方式Protein A purified
性状Liquid
缓冲液0.01M TBS (pH7.4) with 1% BSA, 0.02% Proclin300 and 50% Glycerol.
浓度1 mg/mL
研究背景G protein-coupled receptors (GPCRs), also designated seven transmembrane (7TM) receptors and heptahelical receptors, are a protein family which interact with G proteins (heterotrimeric GTPases) to synthesize intracellular second messengers such as diacylglycerol, cyclic AMP, inositol phosphates, and calcium ions. Their diverse biological functions range from vision and olfaction to neuronal and endocrine signaling and are involved in many pathological conditions. G protein receptor 84 (GPR84), a member of the GCPR 1 family, is an orphan GCPR expressed in bone marrow, brain, heart, muscle, colon, thymus, spleen, kidney, liver, placenta, intestine, lung and peripheral blood leukocytes. In activated T cells, GPR84 regulates early interleukin-4 (IL-4) gene expression
抗原信息
免疫原
KLH conjugated synthetic peptide: human GPCR EX33 protein
抗原种属
Human
基因名称
GPR84
基因ID
蛋白名称
G-protein coupled receptor 84
Uniprot ID
研究领域
GPCR
功能
Receptor for medium-chain free fatty acid (FFA) with carbon chain lengths of C9 to C14. Capric acid (C10:0), undecanoic acid (C11:0) and lauric acid (C12:0) are the most potent agonists. Not activated by short-chain and long-chain saturated and unsaturated FFAs. Activation by medium-chain free fatty acid is coupled to a pertussis toxin sensitive G(i/o) protein pathway. May have important roles in processes from fatty acid metabolism to regulation of the immune system.
化学信息
分子量Theoretical: 44 kDa.
储存&溶解度
储存方式Store at -20°C or -80°C for 12 months. Avoid repeated freeze-thaw cycles.
运输方式Shipping with blue ice.

计算器

  • 稀释 计算器
  • 配液 计算器

关键词

Related Tags: buy Anti-GPR84 Polyclonal Antibody 2 | purchase Anti-GPR84 Polyclonal Antibody 2 | Anti-GPR84 Polyclonal Antibody 2 cost | order Anti-GPR84 Polyclonal Antibody 2 | Anti-GPR84 Polyclonal Antibody 2 molecular weight