购物车
  • TargetMol
    您的购物车当前为空

Anti-GJB2 Antibody (8X956)

Synonyms: PPK, NSRD1, KID, HID, GJB 2, Gap junction beta-2 protein, DFNB1, DFNA3, CXB2, Cx26, Connexin-26, connexin 26
货号 TMAC-02313Cas号 一键复制产品信息纯度:
Rating icon 还可以

Anti-GJB2 Antibody (8X956) 是一种 Mouse 抗体,靶向 GJB2。Anti-GJB2 Antibody (8X956) 可用于 FCM,IHC,WB。

Anti-GJB2 Antibody (8X956)

一键复制产品信息
Rating icon 还可以
货号 TMAC-02313

别名 PPK, NSRD1, KID, HID, GJB 2, Gap junction beta-2 protein, DFNB1, DFNA3, CXB2, Cx26, Connexin-26, connexin 26

Anti-GJB2 Antibody (8X956) 是一种 Mouse 抗体,靶向 GJB2。Anti-GJB2 Antibody (8X956) 可用于 FCM,IHC,WB。

Anti-GJB2 Antibody (8X956)
规格价格库存数量
50 μL
¥ 1,995
5日内发货
100 μL
¥ 2,990
5日内发货
库存状态实时更新,以官网显示为准,现货产品可直接加购物车下单
大包装 & 定制
加入购物车

TargetMol的所有产品仅用作科学研究或药证申报,不能被用于人体,我们不向个人提供产品和服务。请您遵守承诺用途,不得违反法律法规规定用于任何其他用途。

实验操作小课堂
常见问题解答
查看更多

资源下载:产品操作手册

产品介绍


生物活性
产品描述
Anti-GJB2 Antibody (8X956) is a Mouse antibody targeting GJB2. Anti-GJB2 Antibody (8X956) can be used in FCM,IHC,WB.
别名
PPK, NSRD1, KID, HID, GJB 2, Gap junction beta-2 protein, DFNB1, DFNA3, CXB2, Cx26, Connexin-26, connexin 26
克隆号
8X956
反应种属
Human
验证活性
1. Western blot analysis of KIF22 on human KIF22 recombinant protein using anti- KIF22 antibody at 1/1,000 dilution.
2. Western blot analysis of KIF22 on HEK293 (1) and KIF22-hIgGFc transfected HEK293 (2) cell lysate using anti- KIF22 antibody at 1/1,000 dilution.
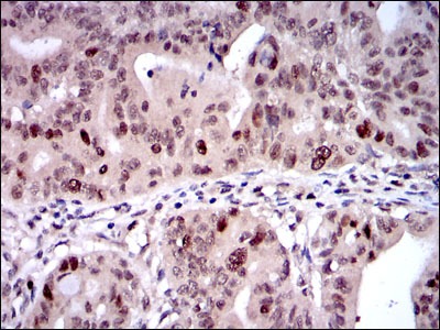
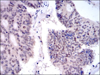
3. Immunohistochemical analysis of paraffin-embedded human rectum cancer tissue using anti- KIF22 antibody. Counter stained with hematoxylin.
4. Immunohistochemical analysis of paraffin-embedded human colon cancer tissue using anti- KIF22 antibody. Counter stained with hematoxylin.
5. Flow cytometric analysis of NIH/3T3 cells with KIF22 antibody at 1/100 dilution (blue) compared with an unlabelled control (cells without incubation with primary antibody; red).
verifiedActivityverifiedActivityverifiedActivityverifiedActivityverifiedActivity
应用FCMIHCWB
推荐剂量
WB: 1:500-1000; IHC: 1:100-500; FCM: 1:100-200
抗体种类
Monoclonal
宿主来源Mouse
构建方式Hybridoma Monoclonal Antibody
纯化方式ProA affinity purified
性状Liquid
缓冲液1*TBS (pH7.4), 1%BSA, Preservative: 0.05% Sodium Azide.
偶联与修饰
偶联
Unconjugated
抗原信息
免疫原
Recombinant Protein
Uniprot ID
化学信息
分子量Theoretical: 73 kDa.
储存&溶解度
储存方式Store at -20°C or -80°C for 12 months. Avoid repeated freeze-thaw cycles.
运输方式Shipping with blue ice.

计算器

  • 稀释 计算器
  • 配液 计算器
Related Tags: buy Anti-GJB2 Antibody (8X956) | purchase Anti-GJB2 Antibody (8X956) | Anti-GJB2 Antibody (8X956) cost | order Anti-GJB2 Antibody (8X956) | Anti-GJB2 Antibody (8X956) molecular weight