购物车
  • TargetMol
    您的购物车当前为空

Anti-GJA1 Polyclonal Antibody

Synonyms: GJAL, GJA1, Gap junction alpha-1 protein, Gap junction 43 kDa heart protein, Connexin-43 (Cx43)
货号 TMAB-00772 一键复制产品信息
Rating icon 还可以
202603开学季活动

Anti-GJA1 Polyclonal Antibody 是一种 Rabbit 抗体,靶向 GJA1。Anti-GJA1 Polyclonal Antibody 可用于 FCM, ICC/IF, IF, IHC-Fr, IHC-P, WB。

Anti-GJA1 Polyclonal Antibody

一键复制产品信息
Rating icon 还可以
202603开学季活动
货号 TMAB-00772

别名 GJAL, GJA1, Gap junction alpha-1 protein, Gap junction 43 kDa heart protein, Connexin-43 (Cx43)

Anti-GJA1 Polyclonal Antibody 是一种 Rabbit 抗体,靶向 GJA1。Anti-GJA1 Polyclonal Antibody 可用于 FCM, ICC/IF, IF, IHC-Fr, IHC-P, WB。

Anti-GJA1 Polyclonal Antibody
规格价格库存数量
50 μL
¥ 1,165
5日内发货
100 μL
¥ 1,965
5日内发货
200 μL
¥ 2,795
5日内发货
库存状态实时更新,以官网显示为准,现货产品可直接加购物车下单
大包装 & 定制
加入购物车

TargetMol的所有产品仅用作科学研究或药证申报,不能被用于人体,我们不向个人提供产品和服务。请您遵守承诺用途,不得违反法律法规规定用于任何其他用途。

实验操作小课堂
常见问题解答
查看更多

资源下载:产品操作手册

产品介绍


生物活性
产品描述
Anti-GJA1 Polyclonal Antibody is a Rabbit antibody targeting GJA1. Anti-GJA1 Polyclonal Antibody can be used in FCM, ICC/IF, IF, IHC-Fr, IHC-P, WB.
别名
GJAL, GJA1, Gap junction alpha-1 protein, Gap junction 43 kDa heart protein, Connexin-43 (Cx43)
Ig Type
IgG
反应种属
Human,Mouse,Rat (predicted:Chicken,Dog,Cow)
验证活性
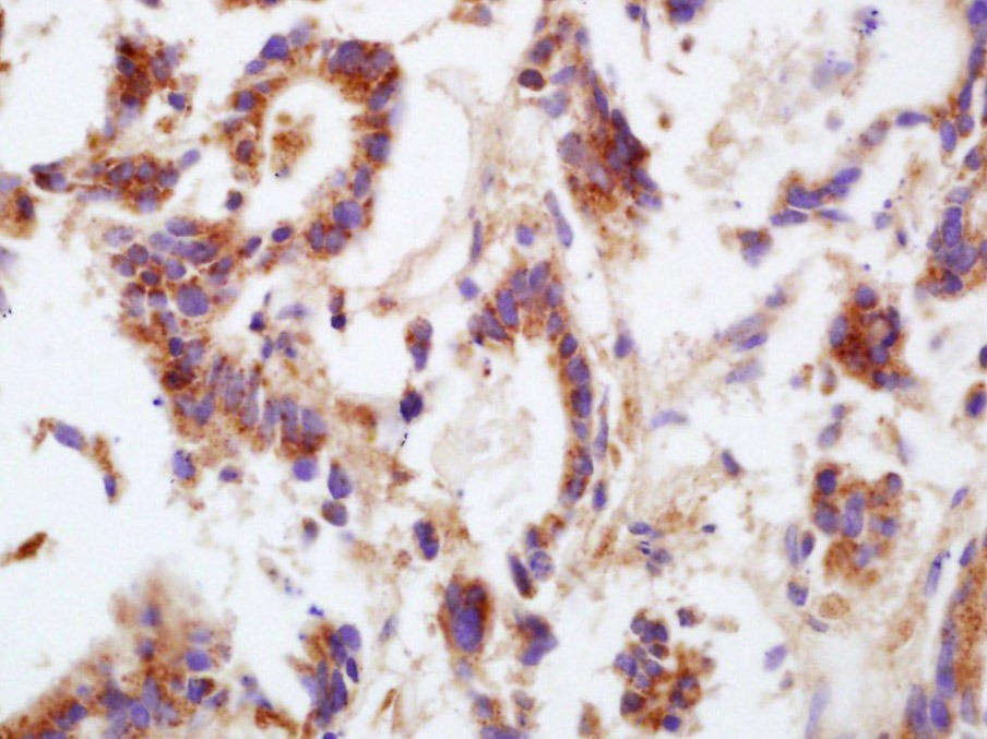
1. Paraformaldehyde-fixed, paraffin embedded (Human stomach cancer); Antigen retrieval by boiling in sodium citrate buffer (pH6.0) for 15 min; Block endogenous peroxidase by 3% hydrogen peroxide for 20 min; Blocking buffer (normal goat serum) at 37°C for 30 min; Antibody incubation with (Connexin 43) Polyclonal Antibody, Unconjugated (TMAB-00772) at 1:200 overnight at 4°C, followed by operating according to SP Kit (Rabbit) instructions and DAB staining.
2. Sample: Mcf-7 Cell Lysate at 40 μg
Primary: Anti-Connexin (TMAB-00772) at 1/300 dilution
Secondary: IRDye800CW Goat Anti-Rabbit IgG at 1/10000 dilution
Predicted band size: 42 kDa
Observed band size: 43 kDa
3. Tissue/cell: MCF7 cell; 4% Paraformaldehyde-fixed; Triton X-100 at room temperature for 20 min; Blocking buffer (normal goat serum) at 37°C for 20 min; Antibody incubation with (Connexin 43) polyclonal Antibody, Unconjugated (TMAB-00772) 1:100, 90 minutes at 37°C; followed by a FITC conjugated Goat Anti-Rabbit IgG antibody at 37°C for 90 minutes, DAPI (blue) was used to stain the cell nucleus.
4. Tissue/cell: U-251 cell; 4% Paraformaldehyde-fixed; Triton X-100 at room temperature for 20 min; Blocking buffer (normal goat serum) at 37°C for 20 min; Antibody incubation with (Connexin 43) polyclonal Antibody, Unconjugated (TMAB-00772) 1:100, 90 minutes at 37°C; followed by a FITC conjugated Goat Anti-Rabbit IgG antibody at 37°C for 90 minutes, DAPI (blue) was used to stain the cell nucleus.
5. Sample:
Lane 1: Heart (Mouse) Lysate at 40 μg
Lane 2: Heart (Rat) Lysate at 40 μg
Lane 3: Cerebrum (Mouse) Lysate at 40 μg
Lane 4: Cerebrum (Rat) Lysate at 40 μg
Primary: Anti-Connexin 43 (TMAB-00772) at 1/1000 dilution
Secondary: IRDye800CW Goat Anti-Rabbit IgG at 1/20000 dilution
Predicted band size: 42 kDa
Observed band size: 45 kDa
6. Blank control (blue line): Hela (blue).
Primary Antibody (green line): Rabbit Anti-Connexin 43 antibody (TMAB-00772)
Dilution: 1 μg/10^6 cells;
Isotype Control Antibody (orange line): Rabbit IgG.
Secondary Antibody (white blue line): f (ab/)2 fragment goat anti-rabbit IgG-FITC.
Dilution: 1 μg/test.
Protocol
The cells were fixed with 2% paraformaldehyde (10 min), then permeabilized with 90% ice-cold methanol for 30 min on ice. Cells stained with Primary Antibody for 30 min at room temperature. The cells were then incubated in 1 X PBS/2% BSA/10% goat serum to block non-specific protein-protein interactions followed by the antibody for 15 min at room temperature. The secondary antibody used for 40 min at room temperature.
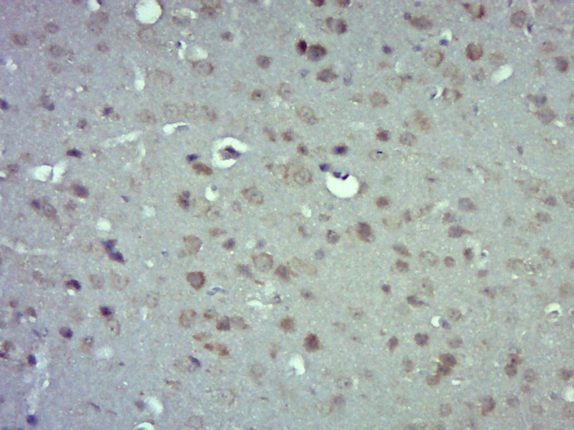
7. Paraformaldehyde-fixed, paraffin embedded (Mouse brain); Antigen retrieval by boiling in sodium citrate buffer (pH6.0) for 15 min; Block endogenous peroxidase by 3% hydrogen peroxide for 20 min; Blocking buffer (normal goat serum) at 37°C for 30 min; Antibody incubation with (Connexin 43) Polyclonal Antibody, Unconjugated (TMAB-00772) at 1:400 overnight at 4°C, followed by operating according to SP Kit (Rabbit) instructionsand DAB staining.
verifiedActivityverifiedActivityverifiedActivityverifiedActivityverifiedActivityverifiedActivityverifiedActivity
应用FCMICC/IFIFIHC-FrIHC-PWB
推荐剂量
FCM=1 μg/Test; ICC/IF=1:100-500; IF=1:100-500; IHC-Fr=1:100-500; IHC-P=1:100-500; WB=1:500-2000
抗体种类
Polyclonal
宿主来源Rabbit
亚细胞定位Cell membrane; Multi-pass membrane protein. Cell junction, gap junction.
组织特异性Expressed in the heart and fetal cochlea.
构建方式Polyclonal Antibody
纯化方式Protein A purified
性状Liquid
缓冲液0.01M TBS (pH7.4) with 1% BSA, 0.02% Proclin300 and 50% Glycerol.
浓度1 mg/mL
研究背景This gene is a member of the connexin gene family. The encoded protein is a component of gap junctions, which are composed of arrays of intercellular channels that provide a route for the diffusion of low molecular weight materials from cell to cell. The encoded protein is the major protein of gap junctions in the heart that are thought to have a crucial role in the synchronized contraction of the heart and in embryonic development. A related intronless pseudogene has been mapped to chromosome 5. Mutations in this gene have been associated with oculodentodigital dysplasia and heart malformations. [provided by RefSeq].
抗原信息
免疫原
KLH conjugated synthetic peptide: human Connexin-43
抗原种属
Human
基因名称
GJA1
基因ID
蛋白名称
Gap junction alpha-1 protein
Uniprot ID
研究领域
Cell junction molecules,Cardiac arrhythmias,Gap Junctions
功能
Gap junction protein that acts as a regulator of bladder capacity. A gap junction consists of a cluster of closely packed pairs of transmembrane channels, the connexons, through which materials of low MW diffuse from one cell to a neighboring cell. May play a critical role in the physiology of hearing by participating in the recycling of potassium to the cochlear endolymph. Negative regulator of bladder functional capacity: acts by enhancing intercellular electrical and chemical transmission, thus sensitizing bladder muscles to cholinergic neural stimuli and causing them to contract.
化学信息
分子量Theoretical: 42 kDa. Actual: 45 kDa.
储存&溶解度
储存方式Store at -20°C or -80°C for 12 months. Avoid repeated freeze-thaw cycles.
运输方式Shipping with blue ice.

计算器

  • 稀释 计算器
  • 配液 计算器
Related Tags: buy Anti-GJA1 Polyclonal Antibody | purchase Anti-GJA1 Polyclonal Antibody | Anti-GJA1 Polyclonal Antibody cost | order Anti-GJA1 Polyclonal Antibody | Anti-GJA1 Polyclonal Antibody molecular weight