购物车
  • TargetMol
    您的购物车当前为空

Anti-GEF H1 Antibody (3H958)

Synonyms: rho/rac guanine nucleotide exchange factor 2, rho/rac guanine nucleotide exchange factor (GEF) 2, rho/rac guanine nucleotide exchange factor, Rho guanine nucleotide exchange factor 2, Protein GEF-H1, Proliferating cell nucleolar antigen p40, P40, mKIAA0651, Microtubule-regulated Rho-GEF, MGC95068, LFP40, Lfc, Lbcl1, KIAA0651, Guanine nucleotide exchange factor H1, GEF-H1, GEFH1, GEF H1, GEF, ARHGEF-2, ARHGEF2, ARHGEF 2, ARHG2_HUMAN, ARHG2, AA408978
货号 TMAC-01640Cas号 一键复制产品信息纯度:
Rating icon 还可以

Anti-GEF H1 Antibody (3H958) 是一种 Rabbit 抗体,靶向 GEF H1。Anti-GEF H1 Antibody (3H958) 可用于 FCM,ICC,IF,IHC,WB。

Anti-GEF H1 Antibody (3H958)

一键复制产品信息
Rating icon 还可以
货号 TMAC-01640

别名 rho/rac guanine nucleotide exchange factor 2, rho/rac guanine nucleotide exchange factor (GEF) 2, rho/rac guanine nucleotide exchange factor, Rho guanine nucleotide exchange factor 2, Protein GEF-H1, Proliferating cell nucleolar antigen p40, P40, mKIAA0651, Microtubule-regulated Rho-GEF, MGC95068, LFP40, Lfc, Lbcl1, KIAA0651, Guanine nucleotide exchange factor H1, GEF-H1, GEFH1, GEF H1, GEF, ARHGEF-2, ARHGEF2, ARHGEF 2, ARHG2_HUMAN, ARHG2, AA408978

Anti-GEF H1 Antibody (3H958) 是一种 Rabbit 抗体,靶向 GEF H1。Anti-GEF H1 Antibody (3H958) 可用于 FCM,ICC,IF,IHC,WB。

Anti-GEF H1 Antibody (3H958)
规格价格库存数量
50 μL
¥ 1,495
5日内发货
100 μL
¥ 2,490
5日内发货
库存状态实时更新,以官网显示为准,现货产品可直接加购物车下单
大包装 & 定制
加入购物车

TargetMol的所有产品仅用作科学研究或药证申报,不能被用于人体,我们不向个人提供产品和服务。请您遵守承诺用途,不得违反法律法规规定用于任何其他用途。

实验操作小课堂
常见问题解答
查看更多

资源下载:产品操作手册

产品介绍


生物活性
产品描述
Anti-GEF H1 Antibody (3H958) is a Rabbit antibody targeting GEF H1. Anti-GEF H1 Antibody (3H958) can be used in FCM,ICC,IF,IHC,WB.
别名
rho/rac guanine nucleotide exchange factor 2, rho/rac guanine nucleotide exchange factor (GEF) 2, rho/rac guanine nucleotide exchange factor, Rho guanine nucleotide exchange factor 2, Protein GEF-H1, Proliferating cell nucleolar antigen p40, P40, mKIAA0651, Microtubule-regulated Rho-GEF, MGC95068, LFP40, Lfc, Lbcl1, KIAA0651, Guanine nucleotide exchange factor H1, GEF-H1, GEFH1, GEF H1, GEF, ARHGEF-2, ARHGEF2, ARHGEF 2, ARHG2_HUMAN, ARHG2, AA408978
Ig Type
IgG
克隆号
3H958
反应种属
Human,Mouse,Rat
验证活性
1. Western blot analysis of GEF H1 on 293T and A431 cells lysates using anti-GEF H1 antibody at 1/500 dilution.
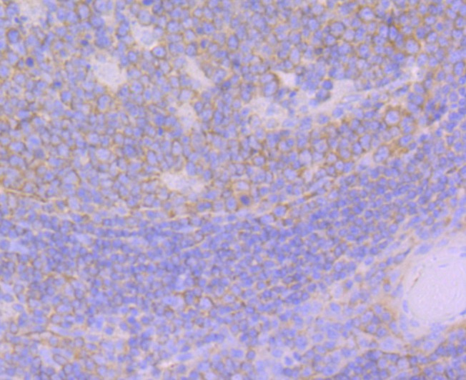
2. Immunohistochemical analysis of paraffin-embedded human tonsil tissue using anti-GEF H1 antibody. Counter stained with hematoxylin.
3. Immunohistochemical analysis of paraffin-embedded mouse testis tissue using anti-GEF H1 antibody. Counter stained with hematoxylin.
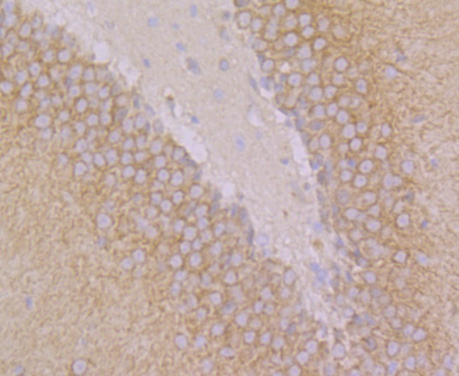
4. Immunohistochemical analysis of paraffin-embedded rat brain tissue using anti-GEF H1 antibody. Counter stained with hematoxylin.
5. ICC staining GEF H1 in SH-SY-5Y cells (green). The nuclear counter stain is DAPI (blue). Cells were fixed in paraformaldehyde, permeabilised with 0.25% Triton X100/PBS.
6. ICC staining GEF H1 in HUVEC cells (green). The nuclear counter stain is DAPI (blue). Cells were fixed in paraformaldehyde, permeabilised with 0.25% Triton X100/PBS.
7. Flow cytometric analysis of HL-60 cells with GEF H1 antibody at 1/100 dilution (yellow) compared with an unlabelled control (cells without incubation with primary antibody; purple).Alexa Fluor 488-conjugated goat anti-rabbit IgG was used as the secondary antibody.
verifiedActivityverifiedActivityverifiedActivityverifiedActivityverifiedActivityverifiedActivityverifiedActivity
应用FCMICCIFIHCWB
推荐剂量
WB: 1:500; IHC: 1:50-200; ICC: 1:50-200; FCM: 1:50-100
抗体种类
Monoclonal
宿主来源Rabbit
构建方式Recombinant Antibody
纯化方式ProA affinity purified
性状Liquid
缓冲液1*TBS (pH7.4), 1%BSA, 40%Glycerol. Preservative: 0.05% Sodium Azide.
研究背景Activates Rho-GTPases by promoting the exchange of GDP for GTP. May be involved in epithelial barrier permeability, cell motility and polarization, dendritic spine morphology, antigen presentation, leukemic cell differentiation, cell cycle regulation, innate immune response, and cancer. May stimulate instead the cortical activity of Rac. Inactive toward CDC42, TC10, or Ras-GTPases. Forms an intracellular sensing system along with NOD1 for the detection of microbial effectors during cell invasion by pathogens. Required for RHOA and RIP2 dependent NF-kappaB signaling pathways activation upon S.flexneri cell invasion. Involved not only in sensing peptidoglycan (PGN)-derived muropeptides through NOD1 that is independent of its GEF activity, but also in the activation of NF-kappaB by Shigella effector proteins (IpgB2 and OspB) which requires its GEF activity and the activation of RhoA.
偶联与修饰
偶联
Unconjugated
抗原信息
免疫原
Recombinant Protein: C-terminal human GEF H1
抗原种属
human
Uniprot ID
化学信息
分子量Theoretical: 111 kDa.
储存&溶解度
储存方式Store at -20°C or -80°C for 12 months. Avoid repeated freeze-thaw cycles.
运输方式Shipping with blue ice.

计算器

  • 稀释 计算器
  • 配液 计算器
Related Tags: buy Anti-GEF H1 Antibody (3H958) | purchase Anti-GEF H1 Antibody (3H958) | Anti-GEF H1 Antibody (3H958) cost | order Anti-GEF H1 Antibody (3H958) | Anti-GEF H1 Antibody (3H958) molecular weight