购物车
  • TargetMol
    您的购物车当前为空

Anti-GATA1 Antibody (4D22)

Synonyms: XLTT, XLTDA, XLANP, Transcription factor GATA1, Nuclear factor erythroid 1, NF-E1 DNA-binding protein, NFE1, NFE 1, NF E1 DNA binding protein, NF E1, Globin transcription factor 1, GF-1, GF1, GF 1, GATA-binding factor 1, GATA1_HUMAN, GATA-1, GATA1, GATA binding protein 1 (globin transcription factor 1), GATA binding protein 1, GATA binding factor 1, GATA 1, Erythrold transcription factor 1, Erythroid transcription factor, Eryf1, ERYF 1, Anemia, X-linked, without thrombocytopenia, included
货号 TMAC-01626 一键复制产品信息
Rating icon 还可以
202603开学季活动

Anti-GATA1 Antibody (4D22) 是一种 Rabbit 抗体,靶向 GATA1。Anti-GATA1 Antibody (4D22) 可用于 FCM,IHC,IP,WB。

Anti-GATA1 Antibody (4D22)

一键复制产品信息
Rating icon 还可以
202603开学季活动
货号 TMAC-01626

别名 XLTT, XLTDA, XLANP, Transcription factor GATA1, Nuclear factor erythroid 1, NF-E1 DNA-binding protein, NFE1, NFE 1, NF E1 DNA binding protein, NF E1, Globin transcription factor 1, GF-1, GF1, GF 1, GATA-binding factor 1, GATA1_HUMAN, GATA-1, GATA1, GATA binding protein 1 (globin transcription factor 1), GATA binding protein 1, GATA binding factor 1, GATA 1, Erythrold transcription factor 1, Erythroid transcription factor, Eryf1, ERYF 1, Anemia, X-linked, without thrombocytopenia, included

Anti-GATA1 Antibody (4D22) 是一种 Rabbit 抗体,靶向 GATA1。Anti-GATA1 Antibody (4D22) 可用于 FCM,IHC,IP,WB。

Anti-GATA1 Antibody (4D22)
规格价格库存数量
50 μL
¥ 1,485
5日内发货
100 μL
¥ 2,480
5日内发货
库存状态实时更新,以官网显示为准,现货产品可直接加购物车下单
大包装 & 定制
加入购物车

TargetMol的所有产品仅用作科学研究或药证申报,不能被用于人体,我们不向个人提供产品和服务。请您遵守承诺用途,不得违反法律法规规定用于任何其他用途。

实验操作小课堂
常见问题解答
查看更多

资源下载:产品操作手册

产品介绍


生物活性
产品描述
Anti-GATA1 Antibody (4D22) is a Rabbit antibody targeting GATA1. Anti-GATA1 Antibody (4D22) can be used in FCM,IHC,IP,WB.
别名
XLTT, XLTDA, XLANP, Transcription factor GATA1, Nuclear factor erythroid 1, NF-E1 DNA-binding protein, NFE1, NFE 1, NF E1 DNA binding protein, NF E1, Globin transcription factor 1, GF-1, GF1, GF 1, GATA-binding factor 1, GATA1_HUMAN, GATA-1, GATA1, GATA binding protein 1 (globin transcription factor 1), GATA binding protein 1, GATA binding factor 1, GATA 1, Erythrold transcription factor 1, Erythroid transcription factor, Eryf1, ERYF 1, Anemia, X-linked, without thrombocytopenia, included
Ig Type
IgG
克隆号
4D22
反应种属
Human
验证活性
1. Western blot analysis of GATA1 on K562 cell using anti-GATA1 antibody at 1/1,000 dilution.
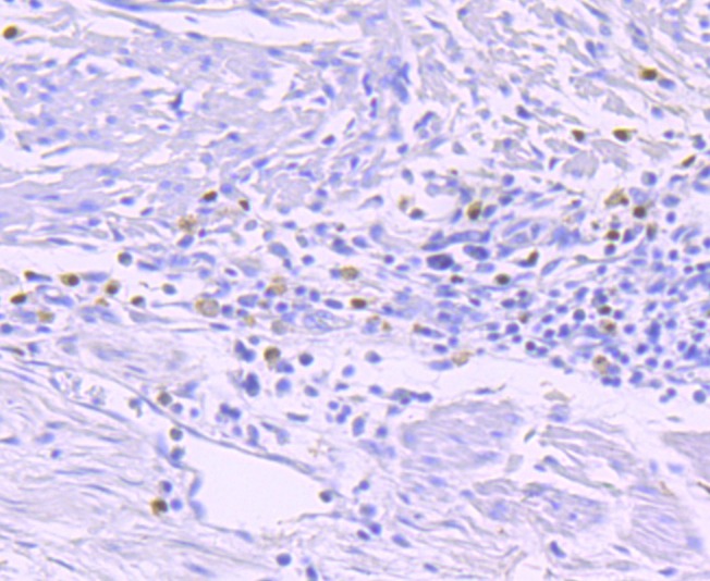
2. Immunohistochemical analysis of paraffin-embedded human breast cancer tissue using anti-GATA1 antibody. Counter stained with hematoxylin.
3. Immunohistochemical analysis of paraffin-embedded human liver tissue using anti-GATA1 antibody. Counter stained with hematoxylin.
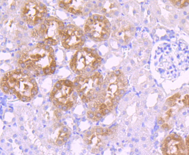
4. Immunohistochemical analysis of paraffin-embedded human kidney tissue using anti-GATA1 antibody. Counter stained with hematoxylin.
verifiedActivityverifiedActivityverifiedActivityverifiedActivity
应用FCMIHCIPWB
推荐剂量
WB: 1:500-1000; IHC: 1:50-200; ICC: 1:50-200; FCM: 1:50-100
抗体种类
Monoclonal
宿主来源Rabbit
构建方式Recombinant Antibody
纯化方式ProA affinity purified
性状Liquid
缓冲液1*TBS (pH7.4), 1%BSA, 40%Glycerol. Preservative: 0.05% Sodium Azide.
研究背景Transcriptional activator which probably serves as a general switch factor for erythroid development. It binds to DNA sites with the consensus sequence [AT]GATA[AG] within regulatory regions of globin genes and of other genes expressed in erythroid cells.
偶联与修饰
偶联
Unconjugated
抗原信息
免疫原
Recombinant Protein
Uniprot ID
化学信息
分子量Theoretical: 43 kDa.
储存&溶解度
储存方式Store at -20°C or -80°C for 12 months. Avoid repeated freeze-thaw cycles.
运输方式Shipping with blue ice.

计算器

  • 稀释 计算器
  • 配液 计算器
Related Tags: buy Anti-GATA1 Antibody (4D22) | purchase Anti-GATA1 Antibody (4D22) | Anti-GATA1 Antibody (4D22) cost | order Anti-GATA1 Antibody (4D22) | Anti-GATA1 Antibody (4D22) molecular weight