购物车
  • TargetMol
    您的购物车当前为空

Anti-GAPDH Antibody (4W994)

Synonyms: HEL-S-162eP, glyceraldehyde-3-phosphate dehydrogenase, GAPD, G3PD
货号 TMAC-01618 一键复制产品信息
Rating icon 还可以

Anti-GAPDH Antibody (4W994) 是一种 Rabbit 抗体,靶向 GAPDH。Anti-GAPDH Antibody (4W994) 可用于 FCM,ICC/IF,IHC,IP,WB。

Anti-GAPDH Antibody (4W994)

一键复制产品信息
Rating icon 还可以
货号 TMAC-01618

别名 HEL-S-162eP, glyceraldehyde-3-phosphate dehydrogenase, GAPD, G3PD

Anti-GAPDH Antibody (4W994) 是一种 Rabbit 抗体,靶向 GAPDH。Anti-GAPDH Antibody (4W994) 可用于 FCM,ICC/IF,IHC,IP,WB。

Anti-GAPDH Antibody (4W994)
规格价格库存数量
50 μL
¥ 1,485
5日内发货
100 μL
¥ 2,495
5日内发货
库存状态实时更新,以官网显示为准,现货产品可直接加购物车下单
大包装 & 定制
加入购物车
TargetMol的所有产品仅用作科学研究或药证申报,不能被用于人体,我们不向个人提供产品和服务。请您遵守承诺用途,不得违反法律法规规定用于任何其他用途。
实验操作小课堂
常见问题解答
查看更多

资源下载:产品操作手册

产品介绍


生物活性
产品描述
Anti-GAPDH Antibody (4W994) is a Rabbit antibody targeting GAPDH. Anti-GAPDH Antibody (4W994) can be used in FCM,ICC/IF,IHC,IP,WB.
别名HEL-S-162eP, glyceraldehyde-3-phosphate dehydrogenase, GAPD, G3PD
Ig Type
IgG
克隆号
4W994
反应种属
Human,Mouse,Rat,Monkey,Chicken,zebrafish
验证活性
1. Western blot analysis of GAPDH on different cell lysates using anti-GAPDH antibody at 1/1,000 dilution. Positive control: Lane 1: NCCIT, Lane 2: PC12, Lane 3: F9.
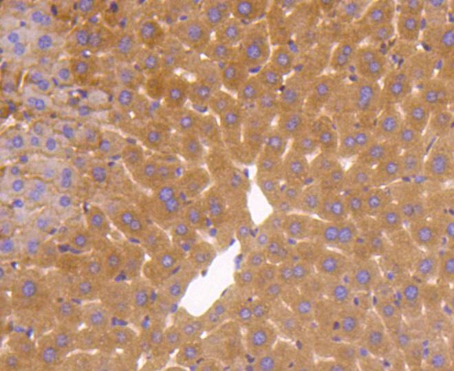
2. Immunohistochemical analysis of paraffin-embedded human liver tissue using anti-GAPDH antibody. Counter stained with hematoxylin.
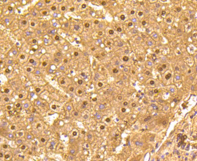
3. Immunohistochemical analysis of paraffin-embedded mouse liver tissue using anti-GAPDH antibody. Counter stained with hematoxylin.
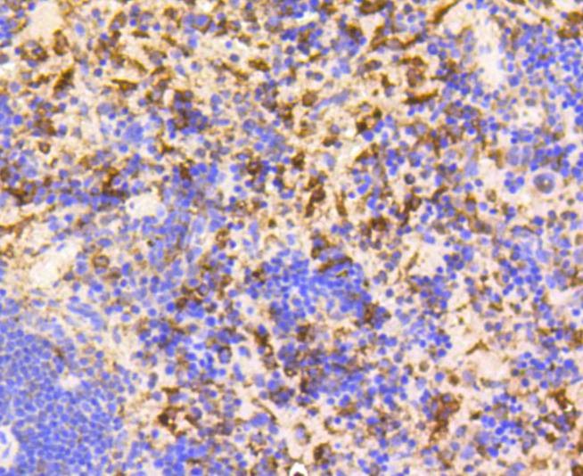
4. Immunohistochemical analysis of paraffin-embedded mouse spleen tissue using anti-GAPDH antibody. Counter stained with hematoxylin.
5. ICC staining GAPDH in A549 cells (green). The nuclear counter stain is DAPI (blue). Cells were fixed in paraformaldehyde, permeabilised with 0.25% Triton X100/PBS.
6. ICC staining GAPDH in HepG2 cells (green). The nuclear counter stain is DAPI (blue). Cells were fixed in paraformaldehyde, permeabilised with 0.25% Triton X100/PBS.
7. Flow cytometric analysis of HepG2 cells with GAPDH antibody at 1/50 dilution (blue) compared with an unlabelled control (cells without incubation with primary antibody; red). Alexa Fluor 488-conjugated goat anti-rabbit IgG was used as the secondary antibody.
verifiedActivityverifiedActivityverifiedActivityverifiedActivityverifiedActivityverifiedActivityverifiedActivity
应用FCMICC/IFIHCIPWB
推荐剂量
WB: 1:1000-5000; IHC: 1:50-200; ICC/IF: 1:50-200; FCM: 1:10-100
抗体种类
Monoclonal
宿主来源Rabbit
构建方式Recombinant Antibody
纯化方式ProA affinity purified
性状Liquid
缓冲液1*TBS (pH7.4), 1%BSA, 40%Glycerol. Preservative: 0.05% Sodium Azide.
研究背景GAPDH (Glyceraldehyde-3-phosphate dehydrogenase) has both glyceraldehyde-3-phosphate dehydrogenase and nitrosylase activities, thereby playing a role in glycolysis and nuclear functions, respectively. It participates in nuclear events including transcription, RNA transport, DNA replication and apoptosis. GAPDH is a key enzyme in glycolysis that catalyzes the first step of the pathway by converting D-glyceraldehyde 3-phosphate (G3P) into 3-phospho-D-glyceroyl phosphate.
偶联与修饰
偶联
Unconjugated
抗原信息
免疫原
Recombinant Protein
Uniprot ID
化学信息
分子量Theoretical: 36 kDa.
储存&溶解度
储存方式Store at -20°C or -80°C for 12 months. Avoid repeated freeze-thaw cycles.
运输方式Shipping with blue ice.

计算器

  • 稀释 计算器
  • 配液 计算器
Related Tags: buy Anti-GAPDH Antibody (4W994) | purchase Anti-GAPDH Antibody (4W994) | Anti-GAPDH Antibody (4W994) cost | order Anti-GAPDH Antibody (4W994) | Anti-GAPDH Antibody (4W994) molecular weight