购物车
  • TargetMol
    您的购物车当前为空

Anti-GABARAP Antibody (1D418)

Synonyms: HCG1987397 Isoform CRA_b, GABARAP Protein, GABARAP, GABA(A) Receptor-Associated Protein
货号 TMAC-01593Cas号 一键复制产品信息纯度:
Rating icon 还可以

Anti-GABARAP Antibody (1D418) 是一种 Rabbit 抗体,靶向 GABARAP。Anti-GABARAP Antibody (1D418) 可用于 FCM,IHC,WB。

Anti-GABARAP Antibody (1D418)

一键复制产品信息
Rating icon 还可以
货号 TMAC-01593

别名 HCG1987397 Isoform CRA_b, GABARAP Protein, GABARAP, GABA(A) Receptor-Associated Protein

Anti-GABARAP Antibody (1D418) 是一种 Rabbit 抗体,靶向 GABARAP。Anti-GABARAP Antibody (1D418) 可用于 FCM,IHC,WB。

Anti-GABARAP Antibody (1D418)
规格价格库存数量
50 μL
¥ 1,480
5日内发货
100 μL
¥ 2,490
5日内发货
库存状态实时更新,以官网显示为准,现货产品可直接加购物车下单
大包装 & 定制
加入购物车

TargetMol的所有产品仅用作科学研究或药证申报,不能被用于人体,我们不向个人提供产品和服务。请您遵守承诺用途,不得违反法律法规规定用于任何其他用途。

实验操作小课堂
常见问题解答
查看更多

资源下载:产品操作手册

产品介绍


生物活性
产品描述
Anti-GABARAP Antibody (1D418) is a Rabbit antibody targeting GABARAP. Anti-GABARAP Antibody (1D418) can be used in FCM,IHC,WB.
别名
HCG1987397 Isoform CRA_b, GABARAP Protein, GABARAP, GABA(A) Receptor-Associated Protein
Ig Type
IgG
克隆号
1D418
反应种属
Human,Mouse,Rat
验证活性
1. Western blot analysis of GABARAP on mouse kidney (1) and rat liver (2) tissue lysate using anti-GABARAP antibody at 1/1,000 dilution.
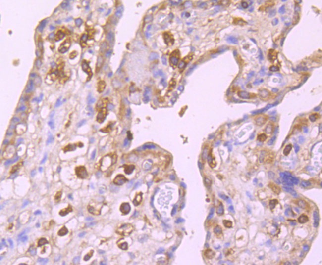
2. Immunohistochemical analysis of paraffin-embedded human placenta tissue using anti-GABARAP antibody. Counter stained with hematoxylin.
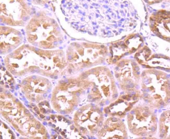
3. Immunohistochemical analysis of paraffin-embedded human kidney tissue using anti-GABARAP antibody. Counter stained with hematoxylin.
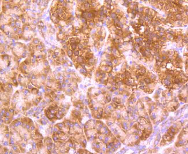
4. Immunohistochemical analysis of paraffin-embedded human pancreas tissue using anti-GABARAP antibody. Counter stained with hematoxylin.
5. Flow cytometric analysis of Hela cells with GABARAP antibody at 1/100 dilution (red) compared with an unlabelled control (cells without incubation with primary antibody; black).
verifiedActivityverifiedActivityverifiedActivityverifiedActivityverifiedActivity
应用FCMIHCWB
推荐剂量
WB: 1:500; IHC: 1:50-200; FCM: 1:50-100
抗体种类
Monoclonal
宿主来源Rabbit
构建方式Recombinant Antibody
纯化方式ProA affinity purified
性状Liquid
缓冲液1*TBS (pH7.4), 1%BSA, 40%Glycerol. Preservative: 0.05% Sodium Azide.
研究背景In the central nervous system GABA functions as the main inhibitory transmitter by increasing a Cl-conductance that inhibits neuronal firing. GABA has been shown to activate both ionotropic (GABAA) and metabotropic (GABAB) receptors as well as a third class of receptors called GABAC. In addition to GABA receptors, several proteins have been identified as regulators of GABA function, including GAD65, GAD67, GABA transporters and GABARAP (GABAA receptor-associated protein). GABARAP associates with GABAA Rg2 to link GABAA receptors to the cytoskeleton. The GABARAP protein sequence is similar to light chain-3 of microtubule-associated proteins (MAPs) suggesting that it may be a type of MAP or a component of a MAP complex.
偶联与修饰
偶联
Unconjugated
抗原信息
免疫原
Recombinant Protein
Uniprot ID
化学信息
分子量Theoretical: 14 kDa.
储存&溶解度
储存方式Store at -20°C or -80°C for 12 months. Avoid repeated freeze-thaw cycles.
运输方式Shipping with blue ice.

计算器

  • 稀释 计算器
  • 配液 计算器
Related Tags: buy Anti-GABARAP Antibody (1D418) | purchase Anti-GABARAP Antibody (1D418) | Anti-GABARAP Antibody (1D418) cost | order Anti-GABARAP Antibody (1D418) | Anti-GABARAP Antibody (1D418) molecular weight