购物车
  • TargetMol
    您的购物车当前为空

Anti-GAB1 Antibody (4I330)

Synonyms: Growth factor receptor bound protein 2-associated protein 1, GRB2-associated-binding protein 1, GRB2-associated binder 1, GRB2 associated binding protein 1 isoform b, GRB2 associated binding protein 1 isoform a, GRB 2 associated binding protein 1, GRB 2 associated binder 1, GAB1_HUMAN, GAB1, Gab 1
货号 TMAC-01582 一键复制产品信息
Rating icon 还可以

Anti-GAB1 Antibody (4I330) 是一种 Rabbit 抗体,靶向 GAB1。Anti-GAB1 Antibody (4I330) 可用于 FCM,ICC,IF,IHC,WB。

Anti-GAB1 Antibody (4I330)

一键复制产品信息
Rating icon 还可以
货号 TMAC-01582

别名 Growth factor receptor bound protein 2-associated protein 1, GRB2-associated-binding protein 1, GRB2-associated binder 1, GRB2 associated binding protein 1 isoform b, GRB2 associated binding protein 1 isoform a, GRB 2 associated binding protein 1, GRB 2 associated binder 1, GAB1_HUMAN, GAB1, Gab 1

Anti-GAB1 Antibody (4I330) 是一种 Rabbit 抗体,靶向 GAB1。Anti-GAB1 Antibody (4I330) 可用于 FCM,ICC,IF,IHC,WB。

Anti-GAB1 Antibody (4I330)
规格价格库存数量
50 μL
¥ 1,480
5日内发货
100 μL
¥ 2,490
5日内发货
库存状态实时更新,以官网显示为准,现货产品可直接加购物车下单
大包装 & 定制
加入购物车
TargetMol的所有产品仅用作科学研究或药证申报,不能被用于人体,我们不向个人提供产品和服务。请您遵守承诺用途,不得违反法律法规规定用于任何其他用途。
实验操作小课堂
常见问题解答
查看更多

资源下载:产品操作手册

产品介绍


生物活性
产品描述
Anti-GAB1 Antibody (4I330) is a Rabbit antibody targeting GAB1. Anti-GAB1 Antibody (4I330) can be used in FCM,ICC,IF,IHC,WB.
别名Growth factor receptor bound protein 2-associated protein 1, GRB2-associated-binding protein 1, GRB2-associated binder 1, GRB2 associated binding protein 1 isoform b, GRB2 associated binding protein 1 isoform a, GRB 2 associated binding protein 1, GRB 2 associated binder 1, GAB1_HUMAN, GAB1, Gab 1
Ig Type
IgG
克隆号
4I330
反应种属
Human,Mouse,Rat
验证活性
1. Western blot analysis of GAB1 on human small intestine tissue lysate using anti-GAB1 antibody at 1/500 dilution.
2. Immunohistochemical analysis of paraffin-embedded human skin tissue using anti-GAB1 antibody. Counter stained with hematoxylin.
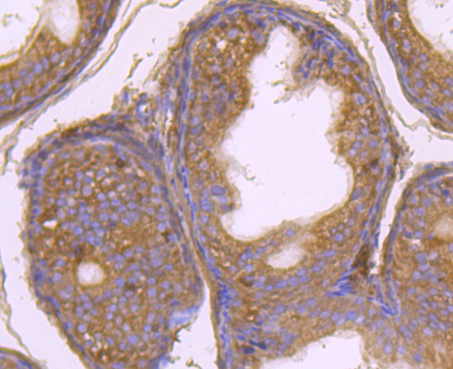
3. Immunohistochemical analysis of paraffin-embedded rat epididymis tissue using anti-GAB1 antibody. Counter stained with hematoxylin.
4. ICC staining GAB1 in LOVO cells (green). The nuclear counter stain is DAPI (blue). Cells were fixed in paraformaldehyde, permeabilised with 0.25% Triton X100/PBS.
5. ICC staining GAB1 in MCF-7 cells (green). The nuclear counter stain is DAPI (blue). Cells were fixed in paraformaldehyde, permeabilised with 0.25% Triton X100/PBS.
6. ICC staining GAB1 in SH-SY5Y cells (green). The nuclear counter stain is DAPI (blue). Cells were fixed in paraformaldehyde, permeabilised with 0.25% Triton X100/PBS.
7. Flow cytometric analysis of Hela cells with GAB1 antibody at 1/100 dilution (red) compared with an unlabelled control (cells without incubation with primary antibody; black). Alexa Fluor 488-conjugated goat anti-rabbit IgG was used as the secondary antibody.
verifiedActivityverifiedActivityverifiedActivityverifiedActivityverifiedActivityverifiedActivityverifiedActivity
应用FCMICCIFIHCWB
推荐剂量
WB: 1:500-2000; IHC: 1:50-200; ICC: 1:100-500; FCM: 1:50-100
抗体种类
Monoclonal
宿主来源Rabbit
构建方式Recombinant Antibody
纯化方式ProA affinity purified
性状Liquid
缓冲液1*TBS (pH7.4), 1%BSA, 40%Glycerol. Preservative: 0.05% Sodium Azide.
研究背景Growth factor triggering of protein tyrosine kinase receptors induces signals that cascade to the nucleus, activating mitogenic as well as other responses. Critical components of this process include adapter proteins such as Shc, IRS-1 and Gab 1 (GRB-associated binder-1) that lack detectable catalytic activity. These are immediate substrates of receptor tyrosine kinase activity and serve to link activated receptors to downstream signaling components. Whereas Shc has been implicated in signaling by diverse receptor families, IRS-1 serves primarily as the major insulin receptor substrate. Shc and Gab 1 also participate in insulin signaling by linking the insulin receptor to Ras by forming complexes with GRB2 (another adapter protein) and Sos independently of IRS-1. Gab 1 is also thought to be involved in the EGF receptor signaling pathway.
偶联与修饰
偶联
Unconjugated
抗原信息
免疫原
Recombinant Protein
Uniprot ID
化学信息
分子量Theoretical: 77 kDa.
储存&溶解度
储存方式Store at -20°C or -80°C for 12 months. Avoid repeated freeze-thaw cycles.
运输方式Shipping with blue ice.

计算器

  • 稀释 计算器
  • 配液 计算器
Related Tags: buy Anti-GAB1 Antibody (4I330) | purchase Anti-GAB1 Antibody (4I330) | Anti-GAB1 Antibody (4I330) cost | order Anti-GAB1 Antibody (4I330) | Anti-GAB1 Antibody (4I330) molecular weight