购物车
  • TargetMol
    您的购物车当前为空

Anti-G6PD Antibody (4T578)

Synonyms: Glucose-6-Phosphate 1-Dehydrogenase, G6PD
货号 TMAC-01672 一键复制产品信息
Rating icon 还可以

Anti-G6PD Antibody (4T578) 是一种 Rabbit 抗体,靶向 G6PD。Anti-G6PD Antibody (4T578) 可用于 FCM,ICC,IHC,WB。

Anti-G6PD Antibody (4T578)

一键复制产品信息
Rating icon 还可以
货号 TMAC-01672

别名 Glucose-6-Phosphate 1-Dehydrogenase, G6PD

Anti-G6PD Antibody (4T578) 是一种 Rabbit 抗体,靶向 G6PD。Anti-G6PD Antibody (4T578) 可用于 FCM,ICC,IHC,WB。

Anti-G6PD Antibody (4T578)
规格价格库存数量
50 μL
¥ 1,480
5日内发货
100 μL
¥ 2,485
5日内发货
库存状态实时更新,以官网显示为准,现货产品可直接加购物车下单
大包装 & 定制
加入购物车
TargetMol的所有产品仅用作科学研究或药证申报,不能被用于人体,我们不向个人提供产品和服务。请您遵守承诺用途,不得违反法律法规规定用于任何其他用途。
实验操作小课堂
常见问题解答
查看更多

资源下载:产品操作手册

产品介绍


生物活性
产品描述
Anti-G6PD Antibody (4T578) is a Rabbit antibody targeting G6PD. Anti-G6PD Antibody (4T578) can be used in FCM,ICC,IHC,WB.
别名Glucose-6-Phosphate 1-Dehydrogenase, G6PD
Ig Type
IgG
克隆号
4T578
反应种属
Human
验证活性
1. Western blot analysis of Glucose 6 Phosphate Dehydrogenase on A549 cell lysate using anti-Glucose 6 Phosphate Dehydrogenase antibody at 1/1,000 dilution.
2. Immunohistochemical analysis of paraffin-embedded mouse testes tissue using anti-Glucose 6 Phosphate Dehydrogenase antibody. Counter stained with hematoxylin.
3. Immunohistochemical analysis of paraffin-embedded human liver tissue using anti-Glucose 6 Phosphate Dehydrogenase antibody. Counter stained with hematoxylin.
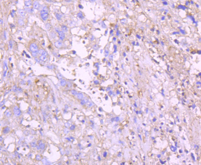
4. Immunohistochemical analysis of paraffin-embedded human stomach cancer tissue using anti-Glucose 6 Phosphate Dehydrogenase antibody. Counter stained with hematoxylin.
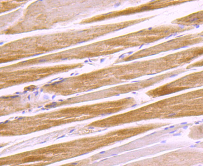
5. Immunohistochemical analysis of paraffin-embedded mouse skeletal muscle tissue using anti-Glucose 6 Phosphate Dehydrogenase antibody. Counter stained with hematoxylin.
6. ICC staining Glucose 6 Phosphate Dehydrogenase in MCF-7 cells (green). The nuclear counter stain is DAPI (blue). Cells were fixed in paraformaldehyde, permeabilised with 0.25% Triton X100/PBS.
7. Flow cytometric analysis of Hela cells with Glucose 6 Phosphate Dehydrogenase antibody at 1/100 dilution (red) compared with an unlabelled control (cells without incubation with primary antibody; black).
verifiedActivityverifiedActivityverifiedActivityverifiedActivityverifiedActivityverifiedActivityverifiedActivity
应用FCMICCIHCWB
推荐剂量
WB: 1:500-2000; IHC: 1:50-200; ICC: 1:50-200; FCM: 1:50-100
抗体种类
Monoclonal
宿主来源Rabbit
构建方式Recombinant Antibody
纯化方式ProA affinity purified
性状Liquid
缓冲液1*TBS (pH7.4), 1%BSA, 40%Glycerol. Preservative: 0.05% Sodium Azide.
研究背景Glucose-6-phosphate 1-dehydrogenase (G6PD) plays an important role in the pentose phosphate pathway. It is a member of the glucose-6-phosphate dehydrogenase family of proteins. G6PD is a ubiquitous enzyme that produces pentose sugars for nucleic acid synthesis, but is also involved in carbohydrate degradation, as it is one of the main producers of NADPH reducing power. G6PD has NADP as a co-factor and structural element. It can be found as a homodimer or homotetramer, and is primarily detected in lymphoblasts, granulocytes and sperm. Defects in G6PD can cause chronic non-spherocytic hemolytic anemia (CNSHA), especially in areas in which malaria is an epidemic. Individuals with a high level of G6PD-deficiency are at higher risk of acute hemolytic attacks.
偶联与修饰
偶联
Unconjugated
抗原信息
免疫原
Recombinant Protein
Uniprot ID
化学信息
分子量Theoretical: 59 kDa.
储存&溶解度
储存方式Store at -20°C or -80°C for 12 months. Avoid repeated freeze-thaw cycles.
运输方式Shipping with blue ice.

计算器

  • 稀释 计算器
  • 配液 计算器
Related Tags: buy Anti-G6PD Antibody (4T578) | purchase Anti-G6PD Antibody (4T578) | Anti-G6PD Antibody (4T578) cost | order Anti-G6PD Antibody (4T578) | Anti-G6PD Antibody (4T578) molecular weight