购物车
  • TargetMol
    您的购物车当前为空

Anti-FUS Antibody (3F162)

Synonyms: Translocated in liposarcoma protein, TLS, RNA-binding protein FUS, POMp75, Oncogene TLS, Oncogene FUS, FUS, 75 kDa DNA-pairing protein
货号 TMAC-01575 一键复制产品信息
Rating icon 还可以

Anti-FUS Antibody (3F162) 是一种 Rabbit 抗体,靶向 FUS。Anti-FUS Antibody (3F162) 可用于 FCM,ICC/IF,IHC,WB。

Anti-FUS Antibody (3F162)

一键复制产品信息
Rating icon 还可以
货号 TMAC-01575

别名 Translocated in liposarcoma protein, TLS, RNA-binding protein FUS, POMp75, Oncogene TLS, Oncogene FUS, FUS, 75 kDa DNA-pairing protein

Anti-FUS Antibody (3F162) 是一种 Rabbit 抗体,靶向 FUS。Anti-FUS Antibody (3F162) 可用于 FCM,ICC/IF,IHC,WB。

Anti-FUS Antibody (3F162)
规格价格库存数量
50 μL
¥ 1,490
5日内发货
100 μL
¥ 2,490
5日内发货
库存状态实时更新,以官网显示为准,现货产品可直接加购物车下单
大包装 & 定制
加入购物车
TargetMol的所有产品仅用作科学研究或药证申报,不能被用于人体,我们不向个人提供产品和服务。请您遵守承诺用途,不得违反法律法规规定用于任何其他用途。
实验操作小课堂
常见问题解答
查看更多

资源下载:产品操作手册

产品介绍


生物活性
产品描述
Anti-FUS Antibody (3F162) is a Rabbit antibody targeting FUS. Anti-FUS Antibody (3F162) can be used in FCM,ICC/IF,IHC,WB.
别名Translocated in liposarcoma protein, TLS, RNA-binding protein FUS, POMp75, Oncogene TLS, Oncogene FUS, FUS, 75 kDa DNA-pairing protein
Ig Type
IgG
克隆号
3F162
反应种属
Human,Mouse,Rat
验证活性
1. Western blot analysis of FUS/TLS on K562 cells lysates using anti-FUS/TLS antibody at 1/1,000 dilution.
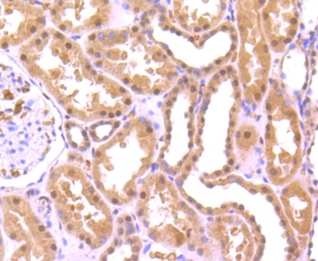
2. Immunohistochemical analysis of paraffin-embedded human kidney tissue using anti-FUS/TLS antibody. Counter stained with hematoxylin.
3. ICC staining FUS/TLS in Hela cells (green). The nuclear counter stain is DAPI (blue). Cells were fixed in paraformaldehyde, permeabilised with 0.25% Triton X100/PBS.
4. ICC staining FUS/TLS in MCF-7 cells (green). The nuclear counter stain is DAPI (blue). Cells were fixed in paraformaldehyde, permeabilised with 0.25% Triton X100/PBS.
5. ICC staining FUS/TLS in SW480 cells (green). The nuclear counter stain is DAPI (blue). Cells were fixed in paraformaldehyde, permeabilised with 0.25% Triton X100/PBS.
6. Flow cytometric analysis of Hela cells with FUS/TLS antibody at 1/50 dilution (red) compared with an unlabelled control (cells without incubation with primary antibody; black). Alexa Fluor 488-conjugated goat anti rabbit IgG was used as the secondary antibody.
verifiedActivityverifiedActivityverifiedActivityverifiedActivityverifiedActivityverifiedActivity
应用FCMICC/IFIHCWB
推荐剂量
WB: 1:1000; IHC: 1:50-200; ICC/IF: 1:50-200; FCM: 1:50-100
抗体种类
Monoclonal
宿主来源Rabbit
构建方式Recombinant Antibody
纯化方式ProA affinity purified
性状Liquid
缓冲液1*TBS (pH7.4), 1%BSA, 40%Glycerol. Preservative: 0.05% Sodium Azide.
研究背景EWS and FUS/TLS are nuclear RNA-binding proteins. As a result of chromosome translocation, the EWS gene is fused to a variety of transcription factors, including ATF-1, in human neoplasias. In the Ewing family of tumors, the N-terminal domain of EWS is fused to the DNA-binding domain of various Ets transcription factors, including Fli-1, ETV1 and FEV. The EWS/Fli-1 chimeric protein acts as a more potent transcriptional activator than Fli-1 and can promote cell transformation. In human myxoid liposarcomas and myeloid leukemias, chromosomal translocation results in the fusion of the N-terminal region of FUS/TLS with the open reading frame of CHOP. In normal cells, FUS/TLS binds to the DNA-binding domains of nuclear steroid receptors and is also present in subpopulations of TFIID complexes, indicating a potential role for FUS/TLS in the processing of primary transcripts that are generated in response to hormone-induced transcription.
偶联与修饰
偶联
Unconjugated
抗原信息
免疫原
Recombinant Protein
Uniprot ID
化学信息
分子量Theoretical: 75 kDa.
储存&溶解度
储存方式Store at -20°C or -80°C for 12 months. Avoid repeated freeze-thaw cycles.
运输方式Shipping with blue ice.

计算器

  • 稀释 计算器
  • 配液 计算器

关键词

Related Tags: buy Anti-FUS Antibody (3F162) | purchase Anti-FUS Antibody (3F162) | Anti-FUS Antibody (3F162) cost | order Anti-FUS Antibody (3F162) | Anti-FUS Antibody (3F162) molecular weight