购物车
  • TargetMol
    您的购物车当前为空

Anti-FOXP1 Antibody (1G20)

Synonyms: QRF1, QRF 1, MGC99551, MGC88572, MGC12942, HSPC215, hFKH1B, Glutamine rich factor 1, FOXP1_HUMAN, foxp1, FOXP 1, FOX P1, Forkhead box protein P1, Forkhead box P1, Fork head related protein like B, FLJ23741, 12CC4
货号 TMAC-01559 一键复制产品信息
Rating icon 还可以

Anti-FOXP1 Antibody (1G20) 是一种 Rabbit 抗体,靶向 FOXP1。Anti-FOXP1 Antibody (1G20) 可用于 FCM,IHC,WB。

Anti-FOXP1 Antibody (1G20)

一键复制产品信息
Rating icon 还可以
货号 TMAC-01559

别名 QRF1, QRF 1, MGC99551, MGC88572, MGC12942, HSPC215, hFKH1B, Glutamine rich factor 1, FOXP1_HUMAN, foxp1, FOXP 1, FOX P1, Forkhead box protein P1, Forkhead box P1, Fork head related protein like B, FLJ23741, 12CC4

Anti-FOXP1 Antibody (1G20) 是一种 Rabbit 抗体,靶向 FOXP1。Anti-FOXP1 Antibody (1G20) 可用于 FCM,IHC,WB。

Anti-FOXP1 Antibody (1G20)
规格价格库存数量
50 μL
¥ 1,485
5日内发货
100 μL
¥ 2,485
5日内发货
库存状态实时更新,以官网显示为准,现货产品可直接加购物车下单
大包装 & 定制
加入购物车
TargetMol的所有产品仅用作科学研究或药证申报,不能被用于人体,我们不向个人提供产品和服务。请您遵守承诺用途,不得违反法律法规规定用于任何其他用途。
实验操作小课堂
常见问题解答
查看更多

资源下载:产品操作手册

产品介绍


生物活性
产品描述
Anti-FOXP1 Antibody (1G20) is a Rabbit antibody targeting FOXP1. Anti-FOXP1 Antibody (1G20) can be used in FCM,IHC,WB.
别名QRF1, QRF 1, MGC99551, MGC88572, MGC12942, HSPC215, hFKH1B, Glutamine rich factor 1, FOXP1_HUMAN, foxp1, FOXP 1, FOX P1, Forkhead box protein P1, Forkhead box P1, Fork head related protein like B, FLJ23741, 12CC4
Ig Type
IgG
克隆号
1G20
反应种属
Human,Mouse,Rat
验证活性
1. Western blot analysis of FOXP1 on different lysates using anti-FOXP1 antibody at 1/1,000 dilution. Positive control: Lane 1: Hela, Lane 2: Jurkat, Lane 3: MCF-7.
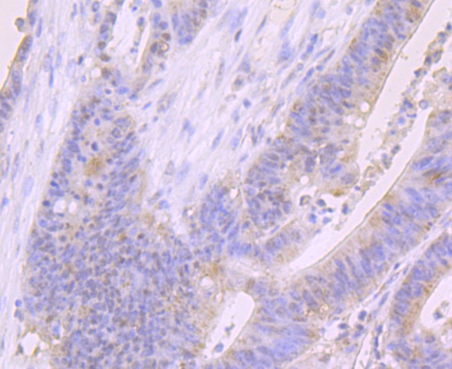
2. Immunohistochemical analysis of paraffin-embedded human colon cancer tissue using anti-FOXP1 antibody. Counter stained with hematoxylin.
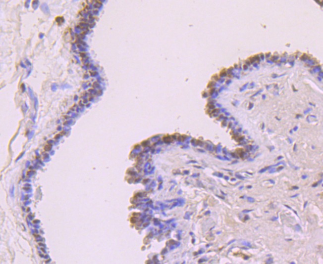
3. Immunohistochemical analysis of paraffin-embedded human breast carcinoma tissue using anti-FOXP1 antibody. Counter stained with hematoxylin.
4. Flow cytometric analysis of MCF-7 cells with FOXP1 antibody at 1/50 dilution (red) compared with an unlabelled control (cells without incubation with primary antibody; black). Alexa Fluor 488-conjugated goat anti rabbit IgG was used as the secondary antibody.
verifiedActivityverifiedActivityverifiedActivityverifiedActivity
应用FCMIHCWB
推荐剂量
WB: 1:1000-5000; IHC: 1:50-200; FCM: 1:50-100
抗体种类
Monoclonal
宿主来源Rabbit
构建方式Recombinant Antibody
纯化方式ProA affinity purified
性状Liquid
缓冲液1*TBS (pH7.4), 1%BSA, 40%Glycerol. Preservative: 0.05% Sodium Azide.
研究背景The FOX family of transcription factors is a large group of proteins that share a common DNA binding domain termed a winged-helix or forkhead domain. During early development, FOXP1 and FOXP2 are expressed abundantly in the lung with lower levels of expression in neural, intestinal and cardiovascular tissues, where they act as transcription repressors. FOXP1 is widely expressed in adult tissues, while neoplastic cells often exhibit a dramatic change in expression level or localization of FOXP1. The gene encoding human FOXP1 maps to chromosome 3p14.1. The gene encoding human FOXP2 maps to chromosome 7q31. The gene encoding FOXP3, a third member of this family, maps to chromosome Xp11.23-Xq13.3. Mutations in this gene cause IPEX, a fatal, X-linked inherited disorder characterized by immune dysregulation. The FOXP3 protein, also known as scurfin, is essential for normal immune homeostasis. Specifically, FOXP3 represses transcription through a DNA binding forkhead domain, thereby regulating T-cell activation.
偶联与修饰
偶联
Unconjugated
抗原信息
免疫原
Recombinant Protein
Uniprot ID
化学信息
分子量Theoretical: 77/75 kDa.
储存&溶解度
储存方式Store at -20°C or -80°C for 12 months. Avoid repeated freeze-thaw cycles.
运输方式Shipping with blue ice.

计算器

  • 稀释 计算器
  • 配液 计算器
Related Tags: buy Anti-FOXP1 Antibody (1G20) | purchase Anti-FOXP1 Antibody (1G20) | Anti-FOXP1 Antibody (1G20) cost | order Anti-FOXP1 Antibody (1G20) | Anti-FOXP1 Antibody (1G20) molecular weight