购物车
  • TargetMol
    您的购物车当前为空

Anti-FGFR2 Polyclonal Antibody

Synonyms: TK25, TK14, K-SAM, KGFR, JWS, fibroblast growth factor receptor 2, FGFR2 α(IIIb), ECT1, CFD1, CEK3, CD332, BFR-1, BEK, BBDS
货号 TMAB-00675 一键复制产品信息
Rating icon 还可以
202603开学季活动

Anti-FGFR2 Polyclonal Antibody 是一种 Rabbit 抗体,靶向 FGFR2。Anti-FGFR2 Polyclonal Antibody 可用于 FCM,ICC/IF,IF,IHC-Fr,IHC-P,WB。

Anti-FGFR2 Polyclonal Antibody

一键复制产品信息
Rating icon 还可以
202603开学季活动
货号 TMAB-00675

别名 TK25, TK14, K-SAM, KGFR, JWS, fibroblast growth factor receptor 2, FGFR2 α(IIIb), ECT1, CFD1, CEK3, CD332, BFR-1, BEK, BBDS

Anti-FGFR2 Polyclonal Antibody 是一种 Rabbit 抗体,靶向 FGFR2。Anti-FGFR2 Polyclonal Antibody 可用于 FCM,ICC/IF,IF,IHC-Fr,IHC-P,WB。

Anti-FGFR2 Polyclonal Antibody
规格价格库存数量
50 μL
¥ 1,160
5日内发货
100 μL
¥ 1,960
5日内发货
200 μL
¥ 2,785
5日内发货
库存状态实时更新,以官网显示为准,现货产品可直接加购物车下单
大包装 & 定制
加入购物车

TargetMol的所有产品仅用作科学研究或药证申报,不能被用于人体,我们不向个人提供产品和服务。请您遵守承诺用途,不得违反法律法规规定用于任何其他用途。

实验操作小课堂
常见问题解答
查看更多

资源下载:产品操作手册

产品介绍


生物活性
产品描述
Anti-FGFR2 Polyclonal Antibody is a Rabbit antibody targeting FGFR2. Anti-FGFR2 Polyclonal Antibody can be used in FCM,ICC/IF,IF,IHC-Fr,IHC-P,WB.
别名
TK25, TK14, K-SAM, KGFR, JWS, fibroblast growth factor receptor 2, FGFR2 α(IIIb), ECT1, CFD1, CEK3, CD332, BFR-1, BEK, BBDS
Ig Type
IgG
反应种属
Human,Mouse (predicted:Rat)
验证活性
1. Image was kindly submitted by Dr. Uthaman from Yale University. L6 cells were transfected with FGFR2, and stained with RABBIT ANTI-FGFR2 POLYCLONAL ANTIBODY, conjugated (TMAB-00675-FITC) at 1:100 dilution
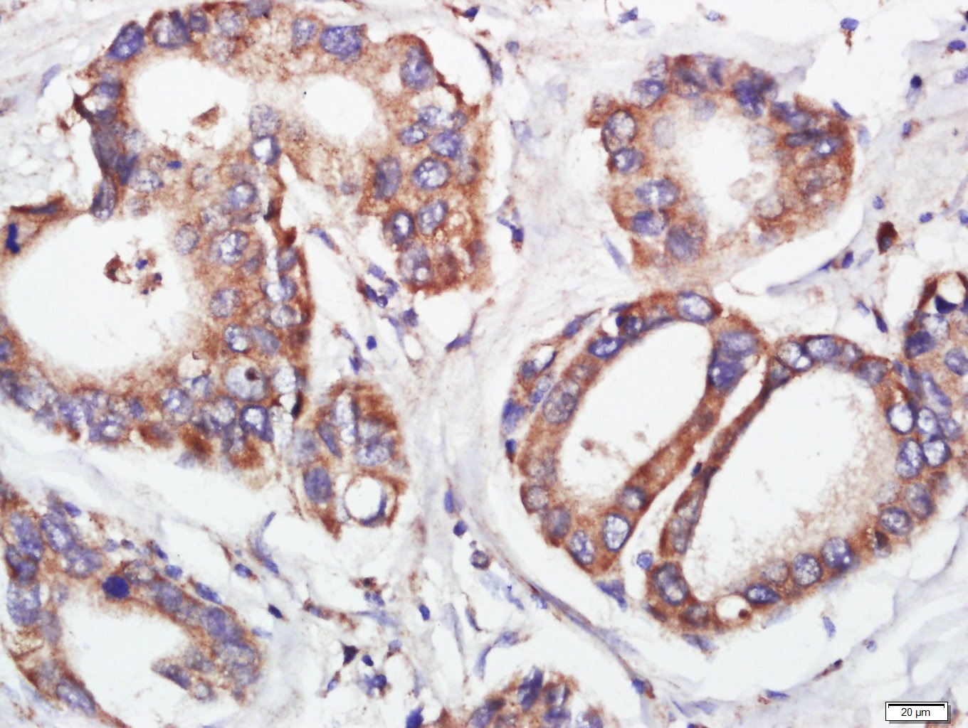
2. Paraformaldehyde-fixed, paraffin embedded (human stomach cancer); Antigen retrieval by boiling in sodium citrate buffer (pH6.0) for 15 min; Block endogenous peroxidase by 3% hydrogen peroxide for 20 min; Blocking buffer (normal goat serum) at 37°C for 30 min; Antibody incubation with (FGFR2) Polyclonal Antibody, Unconjugated (TMAB-00675) at 1:400 overnight at 4°C, followed by a conjugated secondary for 20 min and DAB staining.
3. Paraformaldehyde-fixed, paraffin embedded (human stomach cancer); Antigen retrieval by boiling in sodium citrate buffer (pH6.0) for 15 min; Block endogenous peroxidase by 3% hydrogen peroxide for 20 min; Blocking buffer (normal goat serum) at 37°C for 30 min; Antibody incubation with (FGFR2) Polyclonal Antibody, Unconjugated (TMAB-00675) at 1:400 overnight at 4°C, followed by a conjugated secondary for 20 min and DAB staining.
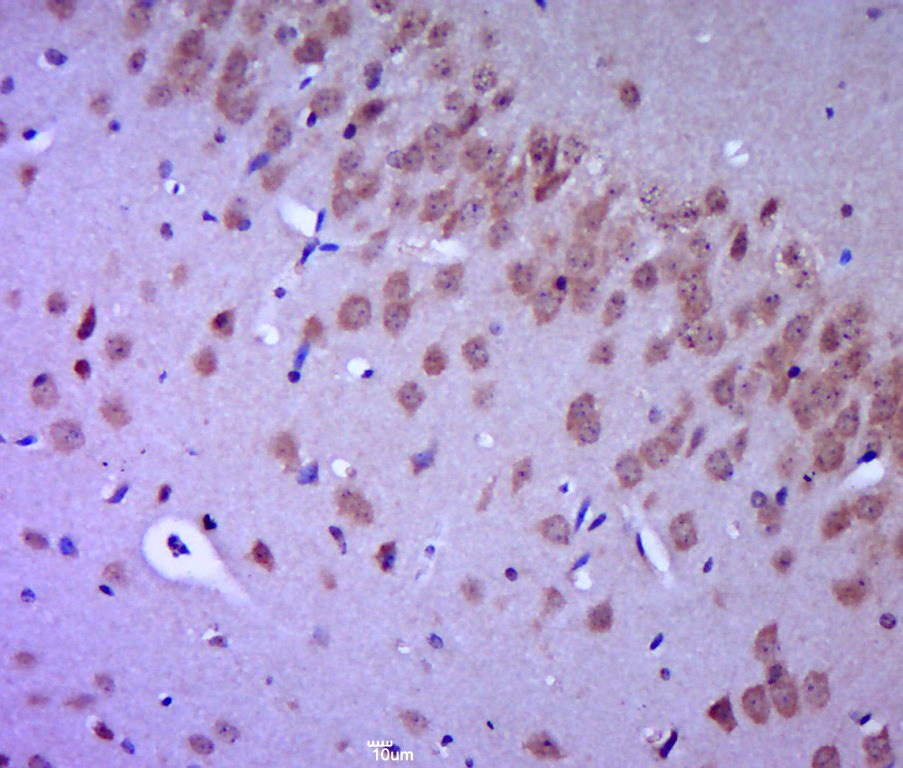
4. Paraformaldehyde-fixed, paraffin embedded (mouse brain tissue); Antigen retrieval by boiling in sodium citrate buffer (pH6.0) for 15 min; Block endogenous peroxidase by 3% hydrogen peroxide for 20 min; Blocking buffer (normal goat serum) at 37°C for 30 min; Antibody incubation with (FGFR2) Polyclonal Antibody, Unconjugated (TMAB-00675) at 1:400 overnight at 4°C, followed by a conjugated secondary for 20 min and DAB staining.
5. Tissue/cell: MCF7; 4% Paraformaldehyde-fixed; Triton X-100 at room temperature for 20 min; Blocking buffer (normal goat serum) at 37°C for 20 min; Antibody incubation with (FGFR2) Polyclonal Antibody, Unconjugated (TMAB-00675) 1:200, 90 minutes at 37°C; followed by a conjugated Goat Anti-Rabbit IgG antibody at 37°C for 90 minutes, DAPI (blue) was used to stain the cell nucleus.
6. Sample:
Lane 1: Mouse Spinal cord tissue lysates
Lane 2: Mouse NIH/3T3 cell lysates
Lane 3: Human 293T cell lysates
Lane 4: Human A431 cell lysates
Lane 5: Human HeLa cell lysates
Primary: Anti-FGFR2 (TMAB-00675) at 1/1000 dilution
Secondary: IRDye800CW Goat Anti-Rabbit IgG at 1/20000 dilution
Predicted band size: 89 kDa
Observed band size: 142 kDa
verifiedActivityverifiedActivityverifiedActivityverifiedActivityverifiedActivityverifiedActivity
应用FCMICC/IFIFIHC-FrIHC-PWB
推荐剂量
WB: 1:500-2000; IHC-P: 1:100-500; IHC-Fr: 1:100-500; ICC/IF: 1:100-500; IF: 1:100-500; FCM: 1μg/Test
抗体种类
Polyclonal
宿主来源Rabbit
亚细胞定位Cell membrane; Single-pass type I membrane protein. Golgi apparatus. Cytoplasmic vesicle. Note=Detected on osteoblast plasma membrane lipid rafts. After ligand binding, the activated receptor is rapidly internalized and degraded.Isoform 1: Cell membrane; Single-pass type I membrane protein. Note=After ligand binding, the activated receptor is rapidly internalized and degraded.Isoform 3: Cell membrane; Single-pass type I membrane protein. Note=After ligand binding, the activated receptor is rapidly internalized and degraded.
构建方式Polyclonal Antibody
纯化方式Protein A purified
性状Liquid
缓冲液0.01M TBS (pH7.4) with 1% BSA, 0.02% Proclin300 and 50% Glycerol.
浓度1 mg/mL
研究背景bs-0675P is one synthetic peptide derived from human FGFR2. Fibroblast growth factors (FGFs) are members of a large family of structurally related polypeptides that are potent physiological regulators of growth and differentiation for a wide variety of cells of mesodermal, ectodermal and endodermal origin. Four genes encoding for high affinity cell surface FGF receptors (FGFRs) have been identified: FGFR1, FGFR2, FGFR3 and FGFR4. FGFRs are members of the tyrosine kinase family of growth factor receptors. FGFR2 is highly expressed in developing human tissues including the brain, choroids plexus, lung etc. Alternative names: Bacteria expressed kinase; BEK; BFR 1; BFR1; CD 332; CD332; CD332 antigen; CEK 3; CEK3; CFD 1; CFD1; Craniofacial dysostosis 1; Crouzon syndrome; ECT 1; ECT1; FGFR 2; Fibroblast growth factor receptor 2; Hydroxyaryl protein kinase; Jackson Weiss syndrome; JWS; K SAM; K sam protein; Keratinocyte growth factor receptor 2; Keratinocyte growth factor receptor; KGFR; KSAM; Pfeiffer syndrome; Protein tyrosine kinase receptor like 14; TK14; TK25; Tyrosylprotein kinase.
抗原信息
免疫原
KLH conjugated synthetic peptide: human FGFR2
抗原种属
Human
基因名称
FGFR2
基因ID
蛋白名称
Fibroblast growth factor receptor 2
Uniprot ID
研究领域
FGF,Receptor tyrosine kinases,FGF Receptors,Ectoderm,Neurogenesis,FGF,Receptor Tyrosine Kinases,Ectoderm
功能
Tyrosine-protein kinase that acts as cell-surface receptor for fibroblast growth factors and plays an essential role in the regulation of cell proliferation, differentiation, migration and apoptosis, and in the regulation of embryonic development. Required for normal embryonic patterning, trophoblast function, limb bud development, lung morphogenesis, osteogenesis and skin development. Plays an essential role in the regulation of osteoblast differentiation, proliferation and apoptosis, and is required for normal skeleton development. Promotes cell proliferation in keratinocytes and immature osteoblasts, but promotes apoptosis in differentiated osteoblasts. Phosphorylates PLCG1, FRS2 and PAK4. Ligand binding leads to the activation of several signaling cascades. Activation of PLCG1 leads to the production of the cellular signaling molecules diacylglycerol and inositol 1,4,5-trisphosphate. Phosphorylation of FRS2 triggers recruitment of GRB2, GAB1, PIK3R1 and SOS1, and mediates activation of RAS, MAPK1/ERK2, MAPK3/ERK1 and the MAP kinase signaling pathway, as well as of the AKT1 signaling pathway. FGFR2 signaling is down-regulated by ubiquitination, internalization and degradation. Mutations that lead to constitutive kinase activation or impair normal FGFR2 maturation, internalization and degradation lead to aberrant signaling. Over-expressed FGFR2 promotes activation of STAT1.
化学信息
分子量Theoretical: 89 kDa. Actual: 142 kDa.
储存&溶解度
储存方式Store at -20°C or -80°C for 12 months. Avoid repeated freeze-thaw cycles.
运输方式Shipping with blue ice.

计算器

  • 稀释 计算器
  • 配液 计算器
Related Tags: buy Anti-FGFR2 Polyclonal Antibody | purchase Anti-FGFR2 Polyclonal Antibody | Anti-FGFR2 Polyclonal Antibody cost | order Anti-FGFR2 Polyclonal Antibody | Anti-FGFR2 Polyclonal Antibody molecular weight