购物车
  • TargetMol
    您的购物车当前为空

Anti-Ferritin heavy chain 1/FTH1 Polyclonal Antibody

Synonyms: FTHL6, FTH1, FTH, Ferritin heavy chain, Ferritin H subunit, Cell proliferation-inducing gene 15 protein
货号 TMAB-00666 一键复制产品信息
Rating icon 还可以

Anti-Ferritin heavy chain 1/FTH1 Polyclonal Antibody 是一种 Rabbit 抗体,靶向 Ferritin heavy chain 1/FTH1。Anti-Ferritin heavy chain 1/FTH1 Polyclonal Antibody 可用于 FCM, ICC/IF, IF, IHC-Fr, IHC-P。

Anti-Ferritin heavy chain 1/FTH1 Polyclonal Antibody

一键复制产品信息
Rating icon 还可以
货号 TMAB-00666

别名 FTHL6, FTH1, FTH, Ferritin heavy chain, Ferritin H subunit, Cell proliferation-inducing gene 15 protein

Anti-Ferritin heavy chain 1/FTH1 Polyclonal Antibody 是一种 Rabbit 抗体,靶向 Ferritin heavy chain 1/FTH1。Anti-Ferritin heavy chain 1/FTH1 Polyclonal Antibody 可用于 FCM, ICC/IF, IF, IHC-Fr, IHC-P。

Anti-Ferritin heavy chain 1/FTH1 Polyclonal Antibody
规格价格库存数量
50 μL
¥ 1,160
5日内发货
100 μL
¥ 1,965
5日内发货
200 μL
¥ 2,780
5日内发货
库存状态实时更新,以官网显示为准,现货产品可直接加购物车下单
大包装 & 定制
加入购物车
TargetMol的所有产品仅用作科学研究或药证申报,不能被用于人体,我们不向个人提供产品和服务。请您遵守承诺用途,不得违反法律法规规定用于任何其他用途。
实验操作小课堂
常见问题解答
查看更多

资源下载:产品操作手册

产品介绍


生物活性
产品描述
Anti-Ferritin heavy chain 1/FTH1 Polyclonal Antibody is a Rabbit antibody targeting Ferritin heavy chain 1/FTH1. Anti-Ferritin heavy chain 1/FTH1 Polyclonal Antibody can be used in FCM, ICC/IF, IF, IHC-Fr, IHC-P.
别名FTHL6, FTH1, FTH, Ferritin heavy chain, Ferritin H subunit, Cell proliferation-inducing gene 15 protein
Ig Type
IgG
反应种属
Human,Mouse,Rat (predicted:Dog,Pig,Cow,Horse,Rabbit,Sheep)
验证活性
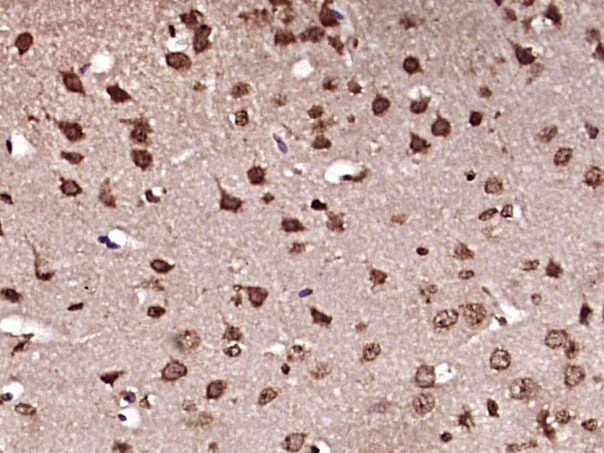
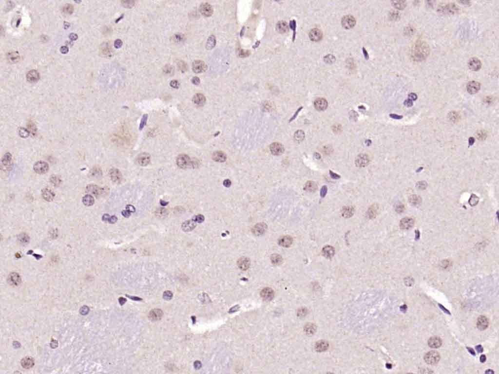
1. Paraformaldehyde-fixed, paraffin embedded (mouse brain tissue); Antigen retrieval by boiling in sodium citrate buffer (pH6.0) for 15 min; Block endogenous peroxidase by 3% hydrogen peroxide for 20 min; Blocking buffer (normal goat serum) at 37°C for 30 min; Antibody incubation with (FTH1) Polyclonal Antibody, Unconjugated (TMAB-00666) at 1:400 overnight at 4°C, followed by operating according to SP Kit (Rabbit) instructionsand DAB staining.
2. Paraformaldehyde-fixed, paraffin embedded (mouse lung); Antigen retrieval by boiling in sodium citrate buffer (pH6.0) for 15 min; Block endogenous peroxidase by 3% hydrogen peroxide for 20 min; Blocking buffer (normal goat serum) at 37°C for 30 min; Antibody incubation with (FTH1) Polyclonal Antibody, Unconjugated (TMAB-00666) at 1:200 overnight at 4°C, followed by operating according to SP Kit (Rabbit) instructionsand DAB staining.
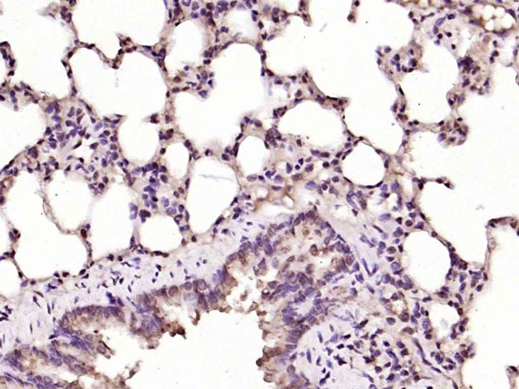
3. Paraformaldehyde-fixed, paraffin embedded (rat lung); Antigen retrieval by boiling in sodium citrate buffer (pH6.0) for 15 min; Block endogenous peroxidase by 3% hydrogen peroxide for 20 min; Blocking buffer (normal goat serum) at 37°C for 30 min; Antibody incubation with (FTH1) Polyclonal Antibody, Unconjugated (TMAB-00666) at 1:200 overnight at 4°C, followed by operating according to SP Kit (Rabbit) instructionsand DAB staining.
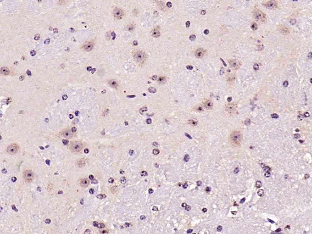
4. Paraformaldehyde-fixed, paraffin embedded (rat brain); Antigen retrieval by boiling in sodium citrate buffer (pH6.0) for 15 min; Block endogenous peroxidase by 3% hydrogen peroxide for 20 min; Blocking buffer (normal goat serum) at 37°C for 30 min; Antibody incubation with (FTH1) Polyclonal Antibody, Unconjugated (TMAB-00666) at 1:200 overnight at 4°C, followed by operating according to SP Kit (Rabbit) instructionsand DAB staining.
5. Paraformaldehyde-fixed, paraffin embedded (mouse brain); Antigen retrieval by boiling in sodium citrate buffer (pH6.0) for 15 min; Block endogenous peroxidase by 3% hydrogen peroxide for 20 min; Blocking buffer (normal goat serum) at 37°C for 30 min; Antibody incubation with (FTH1) Polyclonal Antibody, Unconjugated (TMAB-00666) at 1:200 overnight at 4°C, followed by operating according to SP Kit (Rabbit) instructionsand DAB staining.
6. A549 cell; 4% Paraformaldehyde-fixed; Ice-cold methanol at-20°C for 20 min; Blocking buffer (normal goat serum) at 37°C for 20 min; Antibody incubation with (Ferritin Heavy Chain) polyclonal Antibody, Unconjugated (TMAB-00666) 1:100, 90 minutes at 37°C; followed by a FITC conjugated Goat Anti-Rabbit IgG antibody at 37°C for 90 minutes, DAPI (blue) was used to stain the cell nucleus.
7. Blank control (Black line): Hela (Black).
Primary Antibody (green line): Rabbit Anti-Ferritin Heavy Chain/FTH1 antibody (TMAB-00666)
Dilution: 1 μg/10^6 cells;
Isotype Control Antibody (orange line): Rabbit IgG.
Secondary Antibody (white blue line): Goat anti-rabbit IgG-AF647
Dilution: 1 μg/test.
Protocol
The cells were fixed with 4% PFA (10 min at room temperature) and then permeabilized with 90% ice-cold methanol for 20 min at room temperature. The cells were then incubated in 5% BSA to block non-specific protein-protein interactions for 30 min at room temperature. Cells stained with Primary Antibody for 30 min at room temperature. The secondary antibody used for 40 min at room temperature.
8. Blank control: Hela.
Primary Antibody (green line): Rabbit Anti-Ferritin Heavy Chain antibody (TMAB-00666)
Dilution: 1 μg/10^6 cells;
Isotype Control Antibody (orange line): Rabbit IgG.
Secondary Antibody: Goat anti-rabbit IgG-AF647
Dilution: 1 μg/test.
Protocol
The cells were fixed with 4% PFA (10 min at room temperature) and then permeabilized with 90% ice-cold methanol for 20 min at room temperature. The cells were then incubated in 5% BSA to block non-specific protein-protein interactions for 30 min at-20°C. Cells stained with Primary Antibody for 30 min at room temperature. The secondary antibody used for 40 min at room temperature.
verifiedActivityverifiedActivityverifiedActivityverifiedActivityverifiedActivityverifiedActivityverifiedActivityverifiedActivity
应用FCMICC/IFIFIHC-FrIHC-P
推荐剂量
FCM=1 μg/Test; ICC/IF=1:100-500; IF=1:100-500; IHC-Fr=1:100-500; IHC-P=1:100-500
抗体种类
Polyclonal
宿主来源Rabbit
亚细胞定位Cytoplasmic.
组织特异性In human liver the heavy chain is the major chain.
构建方式Polyclonal Antibody
纯化方式Protein A purified
性状Liquid
缓冲液0.01M TBS (pH7.4) with 1% BSA, 0.02% Proclin300 and 50% Glycerol.
浓度1 mg/mL
研究背景Mammalian ferritins consist of 24 subunits made up of two types of poly-peptide chains, ferritin heavy chain and ferritin light chain, which each have unique functions. Ferritin heavy chains catalyze the first step in iron storage, the oxidation of FeII, whereas ferritin light chains promote the nucleation of ferrihydrite, enabling storage of FeIII. The most prominent role of mamma-lian ferritins is to provide iron-buffering capacity to cells. In addition to iron buffering, heavy chain ferritin is also involved in the regulation of thymidine biosynthesis via increased expression of cytoplasmic serine hydroxymethyltransferase, which is a limiting factor in thymidylate synthesis in MCF-7 cells. Light chain ferritin is involved in cataracts by at least two mechanisms: hereditary hyperferritinemia cataract syndrome, in which light chain ferritin is overexpressed; and oxidative stress, an important factor in the development of aging-related cataracts.
抗原信息
免疫原
KLH conjugated synthetic peptide: human Ferritin Heavy Chain
抗原种属
Human
基因名称
FTH1
基因ID
蛋白名称
Ferritin heavy chain
Uniprot ID
研究领域
Serum Proteins,Vitamins / minerals,Neurodegenerative disease,Alzheimer's disease,Vitamins / Minerals
功能
Stores iron in a soluble, non-toxic, readily available form. Important for iron homeostasis. Has ferroxidase activity. Iron is taken up in the ferrous form and deposited as ferric hydroxides after oxidation. Also plays a role in delivery of iron to cells. Mediates iron uptake in capsule cells of the developing kidney.
化学信息
分子量Theoretical: 20 kDa.
储存&溶解度
储存方式Store at -20°C or -80°C for 12 months. Avoid repeated freeze-thaw cycles.
运输方式Shipping with blue ice.

计算器

  • 稀释 计算器
  • 配液 计算器
Related Tags: buy Anti-Ferritin heavy chain 1/FTH1 Polyclonal Antibody | purchase Anti-Ferritin heavy chain 1/FTH1 Polyclonal Antibody | Anti-Ferritin heavy chain 1/FTH1 Polyclonal Antibody cost | order Anti-Ferritin heavy chain 1/FTH1 Polyclonal Antibody | Anti-Ferritin heavy chain 1/FTH1 Polyclonal Antibody molecular weight