购物车
  • TargetMol
    您的购物车当前为空

Anti-Fc epsilon RI Antibody (5H603)

Synonyms: α polypeptide, FcERI, FCE1A, Fc ε RI, Fc fragment of IgE, high affinity I, receptor for, alpha polypeptide
货号 TMAC-01453 一键复制产品信息
Rating icon 还可以
202603开学季活动

Anti-FCM epsilon RI Antibody (5H603) 是一种 Mouse 抗体,靶向 FCM epsilon RI。Anti-FCM epsilon RI Antibody (5H603) 可用于 IHC,WB。

Anti-Fc epsilon RI Antibody (5H603)

一键复制产品信息
Rating icon 还可以
202603开学季活动
货号 TMAC-01453

别名 α polypeptide, FcERI, FCE1A, Fc ε RI, Fc fragment of IgE, high affinity I, receptor for, alpha polypeptide

Anti-FCM epsilon RI Antibody (5H603) 是一种 Mouse 抗体,靶向 FCM epsilon RI。Anti-FCM epsilon RI Antibody (5H603) 可用于 IHC,WB。

Anti-Fc epsilon RI Antibody (5H603)
规格价格库存数量
50 μL
¥ 1,985
5日内发货
100 μL
¥ 2,985
5日内发货
库存状态实时更新,以官网显示为准,现货产品可直接加购物车下单
大包装 & 定制
加入购物车

TargetMol的所有产品仅用作科学研究或药证申报,不能被用于人体,我们不向个人提供产品和服务。请您遵守承诺用途,不得违反法律法规规定用于任何其他用途。

实验操作小课堂
常见问题解答
查看更多

资源下载:产品操作手册

产品介绍


生物活性
产品描述
Anti-FCM epsilon RI Antibody (5H603) is a Mouse antibody targeting FCM epsilon RI. Anti-FCM epsilon RI Antibody (5H603) can be used in IHC,WB.
别名
α polypeptide, FcERI, FCE1A, Fc ε RI, Fc fragment of IgE, high affinity I, receptor for, alpha polypeptide
克隆号
5H603
验证活性
1. Western blot analysis of FC on human plasma lysates using anti-FC antibody at 1/500 dilution.
2. Immunohistochemical analysis of paraffin-embedded human tonsil tissue using anti-FC antibody. Counter stained with hematoxylin.
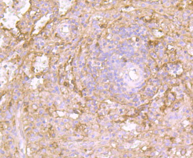
3. Immunohistochemical analysis of paraffin-embedded human spleen tissue using anti-FC antibody. Counter stained with hematoxylin.
verifiedActivityverifiedActivityverifiedActivity
应用IHCWB
推荐剂量
WB: 1:1000-5000; IHC: 1:50-200
抗体种类
Monoclonal
宿主来源Mouse
构建方式Hybridoma Monoclonal Antibody
性状Liquid
缓冲液1*TBS (pH7.4), 1%BSA, 40%Glycerol. Preservative: 0.16% Sodium Azide.
研究背景The fundamental structure of IgG contains two identical heavy chains of about 50 kDa and two identical light chains of about 25 kDa, thus tetrameric quaternary structure. Light chain, which is usually same in a natural IgG molecule, includesκchain andλchain, but κorλantibody can exist in one body simultaneously. A heavy chain includes Fab- and Fc-Fragments. This antibody can recognize human IgG Fc fragments of heavy chains,
偶联与修饰
偶联
Unconjugated
抗原信息
免疫原
Recombinant Protein
Uniprot ID
化学信息
分子量Theoretical: 50 kDa.
储存&溶解度
储存方式Store at -20°C or -80°C for 12 months. Avoid repeated freeze-thaw cycles.
运输方式Shipping with blue ice.

计算器

  • 稀释 计算器
  • 配液 计算器

关键词

Related Tags: buy Anti-Fc epsilon RI Antibody (5H603) | purchase Anti-Fc epsilon RI Antibody (5H603) | Anti-Fc epsilon RI Antibody (5H603) cost | order Anti-Fc epsilon RI Antibody (5H603) | Anti-Fc epsilon RI Antibody (5H603) molecular weight