购物车
  • TargetMol
    您的购物车当前为空

Anti-FASN Antibody (5Z147)

Synonyms: SDR27X1, OA-519, fatty acid synthase, FAS
货号 TMAC-01449 一键复制产品信息
Rating icon 还可以

Anti-FASN Antibody (5Z147) 是一种 Rabbit 抗体,靶向 FASN。Anti-FASN Antibody (5Z147) 可用于 FCM,ICC/IF,IHC,IP,WB。

Anti-FASN Antibody (5Z147)

一键复制产品信息
Rating icon 还可以
货号 TMAC-01449

别名 SDR27X1, OA-519, fatty acid synthase, FAS

Anti-FASN Antibody (5Z147) 是一种 Rabbit 抗体,靶向 FASN。Anti-FASN Antibody (5Z147) 可用于 FCM,ICC/IF,IHC,IP,WB。

Anti-FASN Antibody (5Z147)
规格价格库存数量
50 μL
¥ 1,490
5日内发货
100 μL
¥ 2,490
5日内发货
库存状态实时更新,以官网显示为准,现货产品可直接加购物车下单
大包装 & 定制
加入购物车
TargetMol的所有产品仅用作科学研究或药证申报,不能被用于人体,我们不向个人提供产品和服务。请您遵守承诺用途,不得违反法律法规规定用于任何其他用途。
实验操作小课堂
常见问题解答
查看更多

资源下载:产品操作手册

产品介绍


生物活性
产品描述
Anti-FASN Antibody (5Z147) is a Rabbit antibody targeting FASN. Anti-FASN Antibody (5Z147) can be used in FCM,ICC/IF,IHC,IP,WB.
别名SDR27X1, OA-519, fatty acid synthase, FAS
Ig Type
IgG
克隆号
5Z147
反应种属
Human,Mouse,Rat
验证活性
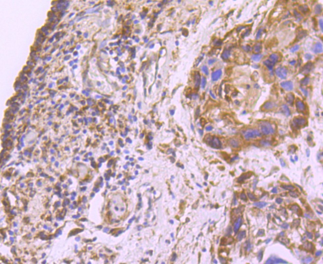
1. Immunohistochemical analysis of paraffin-embedded human breast carcinoma tissue using anti-Fatty Acid Synthase antibody. Counter stained with hematoxylin.
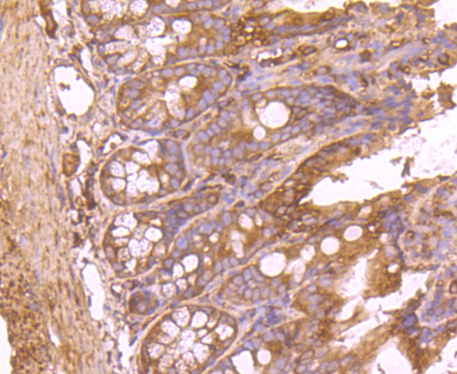
2. Immunohistochemical analysis of paraffin-embedded mouse colon tissue using anti-Fatty Acid Synthase antibody. Counter stained with hematoxylin.
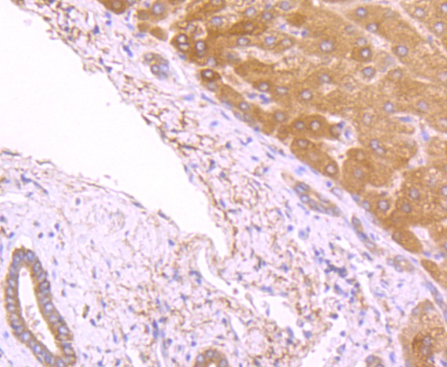
3. Immunohistochemical analysis of paraffin-embedded human liver tissue using anti-Fatty Acid Synthase antibody. Counter stained with hematoxylin.
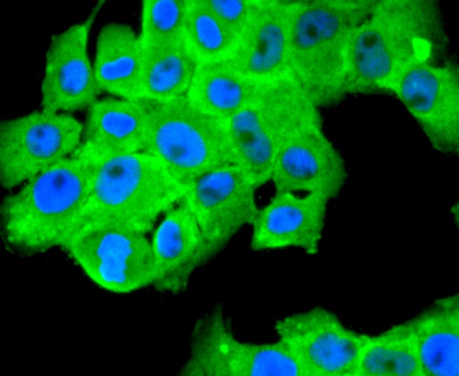
4. ICC staining Fatty Acid Synthase in A549 cells (green). The nuclear counter stain is DAPI (blue). Cells were fixed in paraformaldehyde, permeabilised with 0.25% Triton X100/PBS.
5. ICC staining Fatty Acid Synthase in RH-35 cells (green). The nuclear counter stain is DAPI (blue). Cells were fixed in paraformaldehyde, permeabilised with 0.25% Triton X100/PBS.
6. ICC staining Fatty Acid Synthase in MCF-7 cells (green). The nuclear counter stain is DAPI (blue). Cells were fixed in paraformaldehyde, permeabilised with 0.25% Triton X100/PBS.
7. ICC staining Fatty Acid Synthase in SW480 cells (green). The nuclear counter stain is DAPI (blue). Cells were fixed in paraformaldehyde, permeabilised with 0.25% Triton X100/PBS.
8. Flow cytometric analysis of A549 cells with Fatty Acid Synthase antibody at 1/50 dilution (red) compared with an unlabelled control (cells without incubation with primary antibody; black). Alexa Fluor 488-conjugated goat anti rabbit IgG was used as the secondary antibody.
verifiedActivityverifiedActivityverifiedActivityverifiedActivityverifiedActivityverifiedActivityverifiedActivityverifiedActivity
应用FCMICC/IFIHCIPWB
推荐剂量
WB: 1:1000; IHC: 1:50-200; ICC/IF: 1:100-500; FCM: 1:50-100
抗体种类
Monoclonal
宿主来源Rabbit
构建方式Recombinant Antibody
纯化方式ProA affinity purified
性状Liquid
缓冲液1*TBS (pH7.4), 1%BSA, 40%Glycerol. Preservative: 0.05% Sodium Azide.
研究背景Fatty acid biosynthesis is mediated by seven catalytic enzymes and an acyl carrier protein (ACP), to which various acyl intermediates are covalently attached. Fatty Acid Synthase (FAS) is the anabolic enzyme that contains the seven unique catalytic sites and mediates the conversion of acetyl-CoA and malonyl-CoA, in the presence of the cofactor NADPH, into long-chain saturated fatty acids, such as palmitate. Human Fatty Acid Synthase cDNA encodes a 2,504 amino acid protein. Catalytically active Fatty Acid Synthase is a homodimer. Human Fatty Acid Synthase mRNA is variably expressed with abundant levels present in brain, lung and liver. Fatty acid synthetic metabolism is abnormally elevated in tumor cells and may support cell growth or survival of malignant cancers.
偶联与修饰
偶联
Unconjugated
抗原信息
免疫原
Recombinant Protein
Uniprot ID
化学信息
分子量Theoretical: 273 kDa.
储存&溶解度
储存方式Store at -20°C or -80°C for 12 months. Avoid repeated freeze-thaw cycles.
运输方式Shipping with blue ice.

计算器

  • 稀释 计算器
  • 配液 计算器

关键词

Related Tags: buy Anti-FASN Antibody (5Z147) | purchase Anti-FASN Antibody (5Z147) | Anti-FASN Antibody (5Z147) cost | order Anti-FASN Antibody (5Z147) | Anti-FASN Antibody (5Z147) molecular weight