购物车
  • 全部删除
  • TargetMol
    您的购物车当前为空

Anti-Fas Ligand Polyclonal Antibody

Rating icon 还可以
产品编号 TMAB-00655
别名 TNLG1A, TNFSF6, FASLG, FASL, Fas ligand, CD95-L, CD95L, CD178, APTL, APT1LG1, ALPS1B

Anti-Fas Ligand Polyclonal Antibody 是一种 Rabbit 抗体,靶向 Fas Ligand。Anti-Fas Ligand Polyclonal Antibody 可用于 FCM,IF,IHC-Fr,IHC-P,WB。

Anti-Fas Ligand Polyclonal Antibody

Anti-Fas Ligand Polyclonal Antibody

一键复制产品信息
Rating icon 还可以
产品编号 TMAB-00655 别名 TNLG1A, TNFSF6, FASLG, FASL, Fas ligand, CD95-L, CD95L, CD178, APTL, APT1LG1, ALPS1B

Anti-Fas Ligand Polyclonal Antibody 是一种 Rabbit 抗体,靶向 Fas Ligand。Anti-Fas Ligand Polyclonal Antibody 可用于 FCM,IF,IHC-Fr,IHC-P,WB。

规格价格库存数量
50 μL
¥ 1,170
5日内发货
100 μL
¥ 1,975
5日内发货
200 μL
¥ 2,790
5日内发货
大包装 & 定制
加入购物车
TargetMol 的所有产品仅用作科学研究或药证申报,不能被用于人体,我们不向个人提供产品和服务。请您遵守承诺用途,不得违反法律法规规定用于任何其他用途。
实验操作小课堂
常见问题解答
查看更多
联系我们获取更多批次信息
资源下载

产品介绍

生物活性
产品描述
Anti-Fas Ligand Polyclonal Antibody is a Rabbit antibody targeting Fas Ligand. Anti-Fas Ligand Polyclonal Antibody can be used in FCM,IF,IHC-Fr,IHC-P,WB.
别名TNLG1A, TNFSF6, FASLG, FASL, Fas ligand, CD95-L, CD95L, CD178, APTL, APT1LG1, ALPS1B
Ig Type
IgG
交叉反应
Human,Mouse,Rat (predicted:Cow)
验证活性
1. Sample:
Jurkat (Human) Cell Lysate at 30 μg
Primary: Anti-Fas Ligand (TMAB-00655) at 1/1000 dilution
Secondary: IRDye800CW Goat Anti-Rabbit IgG at 1/20000 dilution
Predicted band size: 31 kDa
Observed band size: 40 kDa
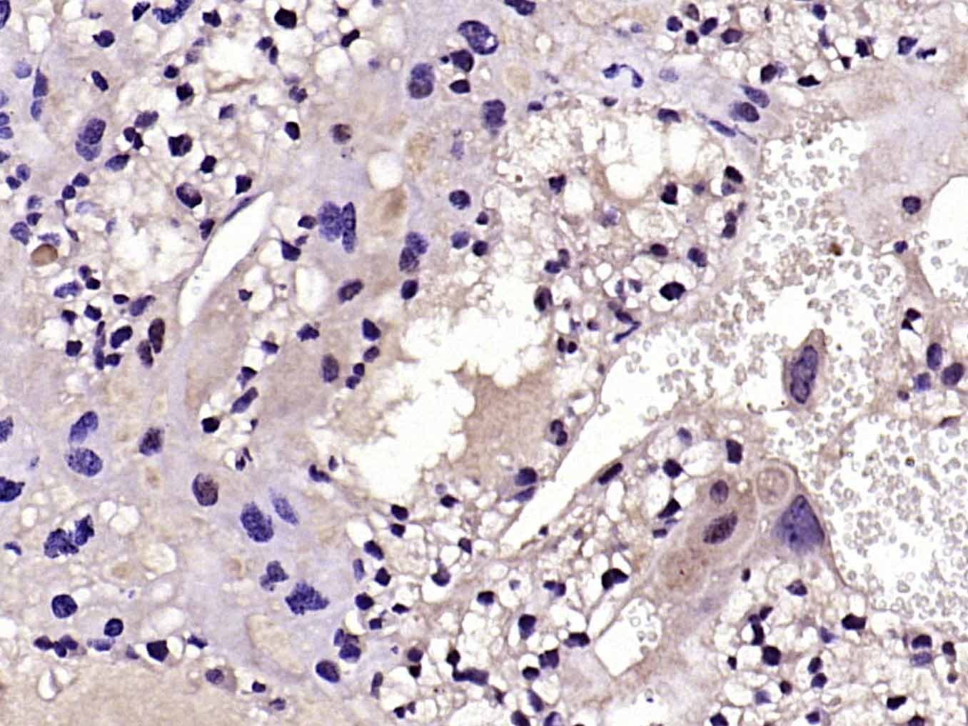
2. Tissue/cell: human rectal carcinoma;4% Paraformaldehyde-fixed and paraffin-embedded;
Antigen retrieval: citrate buffer (0.01M, pH6.0), Boiling bathing for 15 min; Blocking buffer (normal goat serum) at 37°C for 20 min;
Incubation: Anti-FasL Polyclonal Antibody, Unconjugated (TMAB-00655) 1:200, overnight at 4°C; The secondary antibody was Goat Anti-Rabbit IgG, Cy3 conjugated used at 1:200 dilution for 40 minutes at 37°C. DAPI (5 μg/ml,blue) was used to stain the cell nucleus.
3. Blank control: mouse thymouses (blue)
Isotype Control Antibody: Rabbit Igg (orange);
Secondary Antibody: Goat anti-rabbit IgG-FITC (white blue),
Dilution: 1:100 in 1 X PBS containing 0.5% BSA;
Primary Antibody Dilution: 1 μL in 100 μL 1X PBS containing 0.5% BSA (green).
4. Blank control: Mouse Kidney (blue). Primary Antibody: Rabbit Anti-phospho-Fas Ligand antibody (TMAB-00655,Green); Dilution: 1 μg in 100 μL 1X PBS containing 0.5% BSA; Isotype Control Antibody: Rabbit Igg (orange),used under the same conditions; Secondary Antibody: Goat anti-rabbit IgG-FITC (white blue), Dilution: 1:200 in 1 X PBS containing 0.5% BSA.
Protocol
The cells were fixed with 2% paraformaldehyde for 10 min at 37°C. Primary antibody (TMAB-00655, 1 μg/1x10^6 cells) were incubated for 30 min at room temperature, followed by 1 X PBS containing 0.5% BSA + 10% goat serum (15 min) to block non-specific protein-protein interactions. Then the Goat Anti-rabbit IgG/FITC antibody was added into the blocking buffer mentioned above to react with the primary antibody at 1/200 dilution for 40 min on ice.
5. Sample: Bone (mouse) Lysate at 40 μg
Primary: Anti-Fas ligand (TMAB-00655) at 1/300 dilution
Secondary: IRDye800CW Goat Anti-Rabbit IgG at 1/20000 dilution
Predicted band size: 31 kDa
Observed band size: 46 kDa
6. Sample:
Lane 1: Bone (Mouse) Lysate at 40 μg
Lane 2: Bone (Rat) Lysate at 40 μg
Primary: Anti-Fas Ligand (TMAB-00655) at 1/1000 dilution
Secondary: IRDye800CW Goat Anti-Rabbit IgG at 1/20000 dilution
Predicted band size: 40 kDa
Observed band size: 40 kDa
7. Paraformaldehyde-fixed, paraffin embedded (mouse placenta); Antigen retrieval by boiling in sodium citrate buffer (pH6.0) for 15 min; Block endogenous peroxidase by 3% hydrogen peroxide for 20 min; Blocking buffer (normal goat serum) at 37°C for 30 min; Antibody incubation with (Fas Ligand) Polyclonal Antibody, Unconjugated (TMAB-00655) at 1:200 overnight at 4°C, followed by operating according to SP Kit (Rabbit) instructionsand DAB staining.
verifiedActivityverifiedActivityverifiedActivityverifiedActivityverifiedActivityverifiedActivityverifiedActivity
应用FCMIFIHC-FrIHC-PWB
推荐剂量
WB: 1:500-2000; IHC-P: 1:100-500; IHC-Fr: 1:100-500; IF: 1:100-500; FCM: 1μg/Test
抗体种类
Polyclonal
宿主来源Rabbit
亚细胞定位Cell membrane; Single-pass type II membrane protein. Secreted. Cytoplasmic vesicle lumen. Lysosome lumen. Note=May be released into the extracellular fluid, probably by cleavage form the cell surface. Is internalized into multivesicular bodies of secretory lysosomes after phosphorylation by FGR and monoubiquitination.
构建方式Polyclonal Antibody
纯化方式Protein A purified
性状Liquid
缓冲液0.01M TBS (pH7.4) with 1% BSA, 0.02% Proclin300 and 50% Glycerol.
浓度1 mg/mL
研究背景This gene is a member of the tumor necrosis factor superfamily. The primary function of the encoded transmembrane protein is the induction of apoptosis triggered by binding to FAS. The FAS/FASLG signaling pathway is essential for immune system regulation, including activation-induced cell death (AICD) of T cells and cytotoxic T lymphocyte induced cell death. It has also been implicated in the progression of several cancers. Defects in this gene may be related to some cases of systemic lupus erythematosus (SLE). Alternatively spliced transcript variants have been described. [provided by RefSeq, Nov 2014]
抗原信息
免疫原
KLH conjugated synthetic peptide: human Fas Ligand
抗原种属
Human
基因名称
FASLG
基因ID
蛋白名称
Tumor necrosis factor ligand superfamily member 6
Uniprot ID
功能
Cytokine that binds to TNFRSF6/FAS, a receptor that transduces the apoptotic signal into cells. May be involved in cytotoxic T-cell mediated apoptosis and in T-cell development. TNFRSF6/FAS-mediated apoptosis may have a role in the induction of peripheral tolerance, in the antigen-stimulated suicide of mature T-cells, or both. Binding to the decoy receptor TNFRSF6B/DcR3 modulates its effects.
化学信息
分子量Theoretical: 31 kDa. Actual: 38-42 kDa.
存储&运输
储存方式Store at -20°C or -80°C for 12 months. Avoid repeated freeze-thaw cycles.
运输方式Shipping with blue ice.

计算器

  • 稀释 计算器

关键词

评论列表

4个月前
5.0
Rating icon 很棒

评论内容

Related Tags: buy Anti-Fas Ligand Polyclonal Antibody | purchase Anti-Fas Ligand Polyclonal Antibody | Anti-Fas Ligand Polyclonal Antibody cost | order Anti-Fas Ligand Polyclonal Antibody | Anti-Fas Ligand Polyclonal Antibody molecular weight