购物车
  • 全部删除
  • TargetMol
    您的购物车当前为空

Anti-Fas/CD95 Antibody (4A58)

Rating icon 还可以
产品编号 TMAC-01446
别名 TNFRSF6, FASTM, FAS1, Fas cell surface death receptor, CD95, APT1, APO-1, ALPS1A

Anti-Fas/CD95 Antibody (4A58) 是一种 Rabbit 抗体,靶向 Fas/CD95。Anti-Fas/CD95 Antibody (4A58) 可用于 FCM,ICC/IF,IHC,WB。

Anti-Fas/CD95 Antibody (4A58)

Anti-Fas/CD95 Antibody (4A58)

一键复制产品信息
Rating icon 还可以
产品编号 TMAC-01446 别名 TNFRSF6, FASTM, FAS1, Fas cell surface death receptor, CD95, APT1, APO-1, ALPS1A

Anti-Fas/CD95 Antibody (4A58) 是一种 Rabbit 抗体,靶向 Fas/CD95。Anti-Fas/CD95 Antibody (4A58) 可用于 FCM,ICC/IF,IHC,WB。

规格价格库存数量
50 μL
¥ 1,495
5日内发货
100 μL
¥ 2,495
5日内发货
大包装 & 定制
加入购物车
TargetMol 的所有产品仅用作科学研究或药证申报,不能被用于人体,我们不向个人提供产品和服务。请您遵守承诺用途,不得违反法律法规规定用于任何其他用途。
实验操作小课堂
常见问题解答
查看更多
联系我们获取更多批次信息
资源下载

产品介绍

生物活性
产品描述
Anti-Fas/CD95 Antibody (4A58) is a Rabbit antibody targeting Fas/CD95. Anti-Fas/CD95 Antibody (4A58) can be used in FCM,ICC/IF,IHC,WB.
别名TNFRSF6, FASTM, FAS1, Fas cell surface death receptor, CD95, APT1, APO-1, ALPS1A
Ig Type
IgG
克隆号
4A58
交叉反应
Human
验证活性
1. Immunohistochemical analysis of paraffin-embedded human tonsil tissue using anti-Fas antibody. Counter stained with hematoxylin.
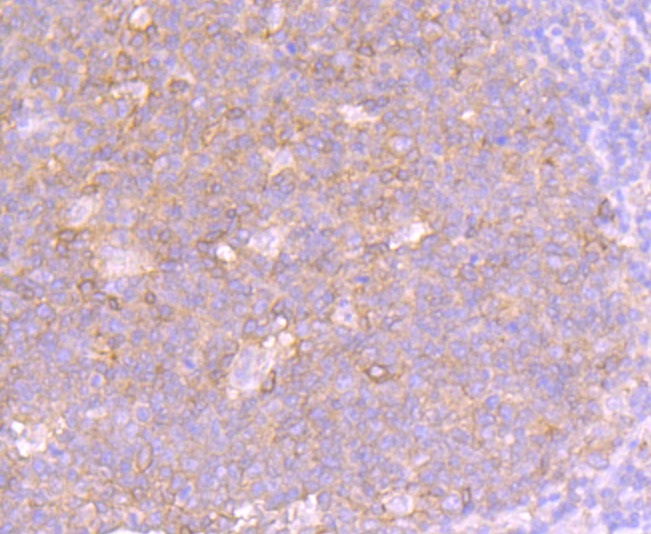
2. Immunohistochemical analysis of paraffin-embedded human liver cancer tissue using anti-Fas antibody. Counter stained with hematoxylin.
3. ICC staining Fas in HepG2 cells (green). The nuclear counter stain is DAPI (blue). Cells were fixed in paraformaldehyde, permeabilised with 0.25% Triton X100/PBS.
4. ICC staining Fas in Hela cells (green). The nuclear counter stain is DAPI (blue). Cells were fixed in paraformaldehyde, permeabilised with 0.25% Triton X100/PBS.
5. Flow cytometric analysis of Raji cells with Fas antibody at 1/50 dilution (red) compared with an unlabelled control (cells without incubation with primary antibody; black). Alexa Fluor 488-conjugated goat anti rabbit IgG was used as the secondary antibody.
verifiedActivityverifiedActivityverifiedActivityverifiedActivityverifiedActivity
应用FCMICC/IFIHCWB
推荐剂量
WB: 1:500-1000; IHC: 1:50-200; ICC/IF: 1:50-200; FCM: 1:50-100
抗体种类
Monoclonal
宿主来源Rabbit
构建方式Recombinant Antibody
纯化方式ProA affinity purified
性状Liquid
缓冲液1*TBS (pH7.4), 1%BSA, 40%Glycerol. Preservative: 0.05% Sodium Azide.
研究背景Cytotoxic T lymphocyte (CTL)-mediated cytotoxicity constitutes an important component of specific effector mechanisms in immuno-surveillance against virus-infected or transformed cells. Two mechanisms appear to account for this activity, one of which is the perforin-based process. Independently, a FAS-based mechanism involves the transducing molecule FAS (also designated APO-1) and its ligand (FAS-L). The human FAS protein is a cell surface glycoprotein that belongs to a family of receptors that includes CD40, nerve growth factor receptors and tumor necrosis factor receptors. The FAS antigen is expressed on a broad range of lymphoid cell lines, certain of which undergo apoptosis in response to treatment with antibody to FAS. These findings strongly imply that targeted cell death is potentially mediated by the intercellular interactions of FAS with its ligand or effectors, and that FAS may be critically involved in CTL-mediated cytotoxicity.
偶联与修饰
偶联
Unconjugated
抗原信息
免疫原
Recombinant Protein
Uniprot ID
化学信息
分子量Theoretical: 45 kDa.
存储&运输
储存方式Store at -20°C or -80°C for 12 months. Avoid repeated freeze-thaw cycles.
运输方式Shipping with blue ice.

计算器

  • 稀释 计算器

关键词

评论列表

4个月前
5.0
Rating icon 很棒

评论内容

Related Tags: buy Anti-Fas/CD95 Antibody (4A58) | purchase Anti-Fas/CD95 Antibody (4A58) | Anti-Fas/CD95 Antibody (4A58) cost | order Anti-Fas/CD95 Antibody (4A58) | Anti-Fas/CD95 Antibody (4A58) molecular weight