购物车
  • TargetMol
    您的购物车当前为空

Anti-Exportin-5 Antibody (6J749)

Synonyms: XPO5_HUMAN, xpo5, Xpo 5, Ranbp21, Ranbp 21, Ran-binding protein 21, Ran binding protein 21, OTTHUMP00000016472, KIAA1291, FLJ45606, FLJ32057, FLJ14239, Exportin-5, Exportin5, Exportin 5, Exp5, Exp 5
货号 TMAC-01403 一键复制产品信息
Rating icon 还可以

Anti-Exportin-5 Antibody (6J749) 是一种 Rabbit 抗体,靶向 Exportin-5。Anti-Exportin-5 Antibody (6J749) 可用于 FCM,ICC/IF,IHC,WB。

Anti-Exportin-5 Antibody (6J749)

一键复制产品信息
Rating icon 还可以
货号 TMAC-01403

别名 XPO5_HUMAN, xpo5, Xpo 5, Ranbp21, Ranbp 21, Ran-binding protein 21, Ran binding protein 21, OTTHUMP00000016472, KIAA1291, FLJ45606, FLJ32057, FLJ14239, Exportin-5, Exportin5, Exportin 5, Exp5, Exp 5

Anti-Exportin-5 Antibody (6J749) 是一种 Rabbit 抗体,靶向 Exportin-5。Anti-Exportin-5 Antibody (6J749) 可用于 FCM,ICC/IF,IHC,WB。

Anti-Exportin-5 Antibody (6J749)
规格价格库存数量
50 μL
¥ 1,495
5日内发货
100 μL
¥ 2,485
5日内发货
库存状态实时更新,以官网显示为准,现货产品可直接加购物车下单
大包装 & 定制
加入购物车

TargetMol的所有产品仅用作科学研究或药证申报,不能被用于人体,我们不向个人提供产品和服务。请您遵守承诺用途,不得违反法律法规规定用于任何其他用途。

实验操作小课堂
常见问题解答
查看更多

资源下载:产品操作手册

产品介绍


生物活性
产品描述
Anti-Exportin-5 Antibody (6J749) is a Rabbit antibody targeting Exportin-5. Anti-Exportin-5 Antibody (6J749) can be used in FCM,ICC/IF,IHC,WB.
别名
XPO5_HUMAN, xpo5, Xpo 5, Ranbp21, Ranbp 21, Ran-binding protein 21, Ran binding protein 21, OTTHUMP00000016472, KIAA1291, FLJ45606, FLJ32057, FLJ14239, Exportin-5, Exportin5, Exportin 5, Exp5, Exp 5
Ig Type
IgG
克隆号
6J749
反应种属
Human,Mouse,Rat
验证活性
1. Western blot analysis of Exportin-5 on 293 cell using anti-Exportin-5 antibody at 1/2,000 dilution.
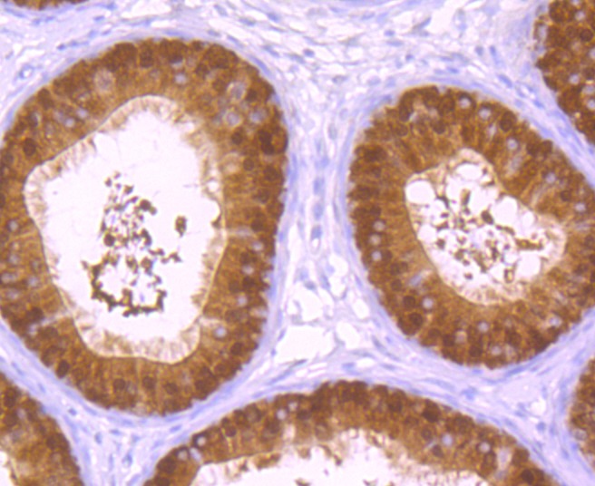
2. Immunohistochemical analysis of paraffin-embedded rat epididymis tissue using anti-Exportin-5 antibody. Counter stained with hematoxylin.
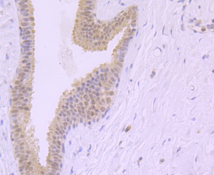
3. Immunohistochemical analysis of paraffin-embedded human lung cancer tissue using anti-Exportin-5 antibody. Counter stained with hematoxylin.
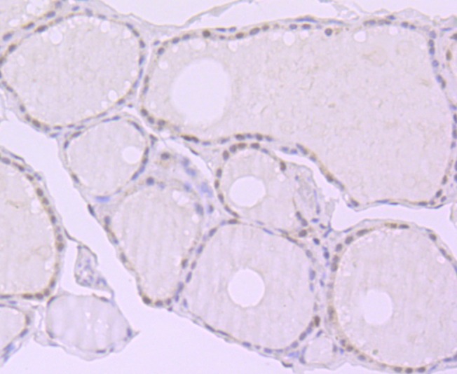
4. Immunohistochemical analysis of paraffin-embedded human thyroid gland tissue using anti-Exportin-5 antibody. Counter stained with hematoxylin.
5. Immunohistochemical analysis of paraffin-embedded human breast tissue using anti-Exportin-5 antibody. Counter stained with hematoxylin.
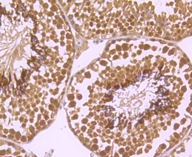
6. Immunohistochemical analysis of paraffin-embedded mouse testis tissue using anti-Exportin-5 antibody. Counter stained with hematoxylin.
7. Flow cytometric analysis of K562 cells with Exportin-5 antibody at 1/100 dilution (purple) compared with an unlabelled control (cells without incubation with primary antibody; yellow). Alexa Fluor 488-conjugated goat anti-rabbit IgG was used as the secondary antibody.
verifiedActivityverifiedActivityverifiedActivityverifiedActivityverifiedActivityverifiedActivityverifiedActivity
应用FCMICC/IFIHCWB
推荐剂量
WB: 1:500-2000; IHC: 1:100-400; ICC/IF: 1:100; FCM: 1:50-100
抗体种类
Monoclonal
宿主来源Rabbit
构建方式Recombinant Antibody
纯化方式ProA affinity purified
性状Liquid
缓冲液1*TBS (pH7.4), 1%BSA, 40%Glycerol. Preservative: 0.05% Sodium Azide.
研究背景The karyopherin-related nuclear transport factor Exportin 5, also known as Exp5, preferentially recognizes and transports RNAs containing minihelix motifs, structural cis-acting export elements that comprise a double-stranded stem (14 nucleotides) with a base-paired 5' end and a 3-8-nucleotide protruding 3' end. Exportin 5 also mediates protein transport between the nuclear and cytoplasmic compartment. Exportin 5 belongs to a large family of karyopherins and stimulates nuclear export of dsRNA binding proteins eEF1A and tRNA.
偶联与修饰
偶联
Unconjugated
抗原信息
免疫原
Recombinant Protein: human Exportin-5 aa 1-200
抗原种属
human
Uniprot ID
化学信息
分子量Theoretical: 136 kDa.
储存&溶解度
储存方式Store at -20°C or -80°C for 12 months. Avoid repeated freeze-thaw cycles.
运输方式Shipping with blue ice.

计算器

  • 稀释 计算器
  • 配液 计算器
Related Tags: buy Anti-Exportin-5 Antibody (6J749) | purchase Anti-Exportin-5 Antibody (6J749) | Anti-Exportin-5 Antibody (6J749) cost | order Anti-Exportin-5 Antibody (6J749) | Anti-Exportin-5 Antibody (6J749) molecular weight