购物车
  • TargetMol
    您的购物车当前为空

Anti-ERK1/2 Antibody (2U314)

Synonyms: Protein tyrosine kinase ERK 2, Protein kinase mitogen activated 3, Protein kinase mitogen activated 2, Protein kinase mitogen activated 1, PRKM3, PRKM2, PRKM1, PRKM 3, PRKM 2, PRKM 1, p44MAPK, p44ERK1, p44 MAPK, p44 ERK1, p42-MAPK, p42MAPK, p42 MAPK, p41mapk, p41, p40, p38, MK03, MK01, Mitogen activated protein kinase 3, Mitogen activated protein kinase 2, Mitogen activated protein kinase 1, Microtubule associated protein 2 kinase, MGC20180, MAPK3, MAPK2, MAPK1, MAPK 3, MAPK 2, MAPK 1, MAP kinase isoform p44, MAP kinase isoform p42, MAP kinase 2, MAP kinase 1, Insulin stimulated MAP2 kinase, HUMKER1A, HS44KDAP, Extracellular signal-regulated kinase 2, Extracellular signal regulated kinase 2, Extracellular signal regulated kinase 1, ERT2, ERT1, ERK-2, ERK2, ERK1, ERK 2, ERK 1/2, ERK 1
货号 TMAB-00635 一键复制产品信息
Rating icon 还可以

Anti-ERK1/2 Antibody (2U314) 是一种 Mouse 抗体,靶向 ERK1/2。Anti-ERK1/2 Antibody (2U314) 可用于 FCM, IF, IHC-Fr, IHC-P, WB。

Anti-ERK1/2 Antibody (2U314)

一键复制产品信息
Rating icon 还可以
货号 TMAB-00635

别名 Protein tyrosine kinase ERK 2, Protein kinase mitogen activated 3, Protein kinase mitogen activated 2, Protein kinase mitogen activated 1, PRKM3, PRKM2, PRKM1, PRKM 3, PRKM 2, PRKM 1, p44MAPK, p44ERK1, p44 MAPK, p44 ERK1, p42-MAPK, p42MAPK, p42 MAPK, p41mapk, p41, p40, p38, MK03, MK01, Mitogen activated protein kinase 3, Mitogen activated protein kinase 2, Mitogen activated protein kinase 1, Microtubule associated protein 2 kinase, MGC20180, MAPK3, MAPK2, MAPK1, MAPK 3, MAPK 2, MAPK 1, MAP kinase isoform p44, MAP kinase isoform p42, MAP kinase 2, MAP kinase 1, Insulin stimulated MAP2 kinase, HUMKER1A, HS44KDAP, Extracellular signal-regulated kinase 2, Extracellular signal regulated kinase 2, Extracellular signal regulated kinase 1, ERT2, ERT1, ERK-2, ERK2, ERK1, ERK 2, ERK 1/2, ERK 1

Anti-ERK1/2 Antibody (2U314) 是一种 Mouse 抗体,靶向 ERK1/2。Anti-ERK1/2 Antibody (2U314) 可用于 FCM, IF, IHC-Fr, IHC-P, WB。

Anti-ERK1/2 Antibody (2U314)
规格价格库存数量
50 μL
¥ 1,175
5日内发货
100 μL
¥ 1,960
5日内发货
200 μL
¥ 2,795
5日内发货
库存状态实时更新,以官网显示为准,现货产品可直接加购物车下单
大包装 & 定制
加入购物车
TargetMol的所有产品仅用作科学研究或药证申报,不能被用于人体,我们不向个人提供产品和服务。请您遵守承诺用途,不得违反法律法规规定用于任何其他用途。
实验操作小课堂
常见问题解答
查看更多

资源下载:产品操作手册

产品介绍


生物活性
产品描述
Anti-ERK1/2 Antibody (2U314) is a Mouse antibody targeting ERK1/2. Anti-ERK1/2 Antibody (2U314) can be used in FCM, IF, IHC-Fr, IHC-P, WB.
别名Protein tyrosine kinase ERK 2, Protein kinase mitogen activated 3, Protein kinase mitogen activated 2, Protein kinase mitogen activated 1, PRKM3, PRKM2, PRKM1, PRKM 3, PRKM 2, PRKM 1, p44MAPK, p44ERK1, p44 MAPK, p44 ERK1, p42-MAPK, p42MAPK, p42 MAPK, p41mapk, p41, p40, p38, MK03, MK01, Mitogen activated protein kinase 3, Mitogen activated protein kinase 2, Mitogen activated protein kinase 1, Microtubule associated protein 2 kinase, MGC20180, MAPK3, MAPK2, MAPK1, MAPK 3, MAPK 2, MAPK 1, MAP kinase isoform p44, MAP kinase isoform p42, MAP kinase 2, MAP kinase 1, Insulin stimulated MAP2 kinase, HUMKER1A, HS44KDAP, Extracellular signal-regulated kinase 2, Extracellular signal regulated kinase 2, Extracellular signal regulated kinase 1, ERT2, ERT1, ERK-2, ERK2, ERK1, ERK 2, ERK 1/2, ERK 1
Ig Type
IgG
克隆号
2U314
反应种属
Human,Mouse,Rat
验证活性
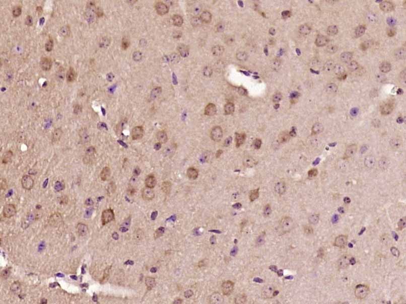
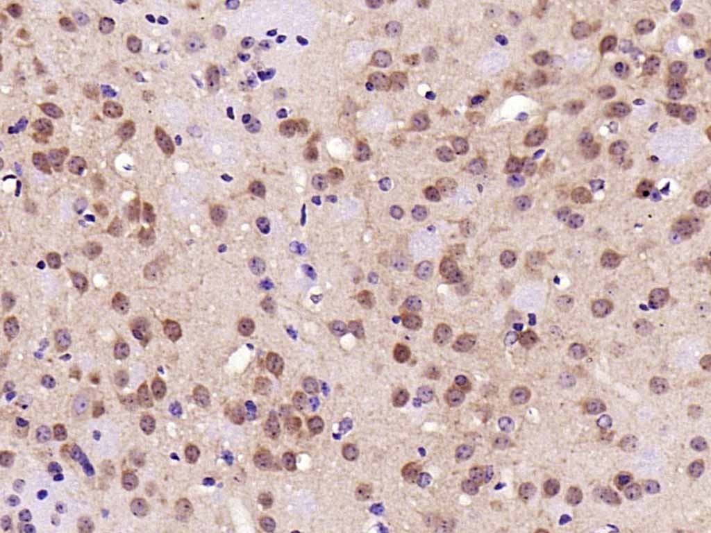
1. Paraformaldehyde-fixed, paraffin embedded (Mouse brain); Antigen retrieval by boiling in sodium citrate buffer (pH6.0) for 15 min; Block endogenous peroxidase by 3% hydrogen peroxide for 20 min; Blocking buffer (normal goat serum) at 37°C for 30 min; Antibody incubation with (ERK1/2) Monoclonal Antibody, Unconjugated (TMAB-00635) at 1:500 overnight at 4°C, followed by a conjugated secondary for 20 min and DAB staining.
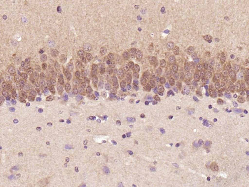
2. Paraformaldehyde-fixed, paraffin embedded (rat brain); Antigen retrieval by boiling in sodium citrate buffer (pH6.0) for 15 min; Block endogenous peroxidase by 3% hydrogen peroxide for 20 min; Blocking buffer (normal goat serum) at 37°C for 30 min; Antibody incubation with (ERK1+2) Polyclonal Antibody, Unconjugated (TMAB-00635) at 1:2000 overnight at 4°C, followed by operating according to SP Kit (Mouse) instructionsand DAB staining.
3. Paraformaldehyde-fixed, paraffin embedded (mouse brain); Antigen retrieval by boiling in sodium citrate buffer (pH6.0) for 15 min; Block endogenous peroxidase by 3% hydrogen peroxide for 20 min; Blocking buffer (normal goat serum) at 37°C for 30 min; Antibody incubation with (ERK1+2) Polyclonal Antibody, Unconjugated (TMAB-00635) at 1:2000 overnight at 4°C, followed by operating according to SP Kit (Mouse) instructionsand DAB staining.
4. Sample:
Lane 1: Mouse Cerebrum tissue lysates
Lane 2: Rat Cerebrum tissue lysates
Primary: Anti-ERK1/2 (TMAB-00635) at 1/1000 dilution
Secondary: Alexa Fluor 790 AffiniPure Goat Anti-Mouse IgG, light chain specific
Predicted band size: 43 kDa
Observed band size: 44,42 kDa
verifiedActivityverifiedActivityverifiedActivityverifiedActivity
应用FCMIFIHC-FrIHC-PWB
推荐剂量
FCM=1 μg/Test; IF=1:500-2000; IHC-Fr=1:500-2000; IHC-P=1:500-2000; WB=1:1000-5000
抗体种类
Monoclonal
宿主来源Mouse
亚细胞定位Cytoplasm, cytoskeleton, spindle. Nucleus. Cytoplasm, cytoskeleton, centrosome. Cytoplasm. Note=Associated with the spindle duringprometaphase and metaphase. PEA15-binding andphosphorylated DAPK1 promote its cytoplasmic retention.Phosphorylation at Ser-244 and Ser-246 as well asautophosphorylation at Thr-188 promote nuclear localization.
组织特异性Widely expressed.
构建方式Hybridoma Monoclonal Antibody
纯化方式Protein G purified
性状Liquid
缓冲液0.01M TBS (pH7.4) with 1% BSA, 0.02% Proclin300 and 50% Glycerol.
浓度1 mg/mL
研究背景The protein encoded by this gene is a member of the MAPkinase family. MAP kinases, also known as extracellularsignal-regulated kinases (ERKs), act in a signaling cascade thatregulates various cellular processes such as proliferation,differentiation, and cell cycle progression in response to avariety of extracellular signals. This kinase is activated byupstream kinases, resulting in its translocation to the nucleuswhere it phosphorylates nuclear targets. Alternatively splicedtranscript variants encoding different protein isoforms have beendescribed. [provided by RefSeq, Jul 2008].
抗原信息
免疫原
KLH conjugated synthetic peptide: human ERK1/2
抗原种属
Human
基因名称
MAPK3
基因ID
蛋白名称
Mitogen-activated protein kinase 3
Uniprot ID
研究领域
Tangles & Tau,MAPK Pathway,Cytoplasmic
功能
Serine/threonine kinase which acts as an essentialcomponent of the MAP kinase signal transduction pathway. MAPK1/ERK2and MAPK3/ERK1 are the 2 MAPKs which play an important role in theMAPK/ERK cascade. They participate also in a signaling cascadeinitiated by activated KIT and KITLG/SCF. Depending on the cellularcontext, the MAPK/ERK cascade mediates diverse biological functionssuch as cell growth, adhesion, survival and differentiation throughthe regulation of transcription, translation, cytoskeletalrearrangements. The MAPK/ERK cascade plays also a role ininitiation and regulation of meiosis, mitosis, and postmitoticfunctions in differentiated cells by phosphorylating a number oftranscription factors. About 160 substrates have already beendiscovered for ERKs. Many of these substrates are localized in thenucleus, and seem to participate in the regulation of transcriptionupon stimulation. However, other substrates are found in thecytosol as well as in other cellular organelles, and those areresponsible for processes such as translation, mitosis andapoptosis. Moreover, the MAPK/ERK cascade is also involved in theregulation of the endosomal dynamics, including lysosome processingand endosome cycling through the perinuclear recycling compartment(PNRC); as well as in the fragmentation of the Golgi apparatusduring mitosis. The substrates include transcription factors (suchas ATF2, BCL6, ELK1, ERF, FOS, HSF4 or SPZ1), cytoskeletal elements(such as CANX, CTTN, GJA1, MAP2, MAPT, PXN, SORBS3 or STMN1),regulators of apoptosis (such as BAD, BTG2, CASP9, DAPK1, IER3,MCL1 or PPARG), regulators of translation (such as EIF4EBP1) and avariety of other signaling-related molecules (like ARHGEF2, DCC,FRS2 or GRB10). Protein kinases (such as RAF1, RPS6KA1/RSK1,RPS6KA3/RSK2, RPS6KA2/RSK3, RPS6KA6/RSK4, SYK, MKNK1/MNK1,MKNK2/MNK2, RPS6KA5/MSK1, RPS6KA4/MSK2, MAPKAPK3 or MAPKAPK5) andphosphatases (such as DUSP1, DUSP4, DUSP6 or DUSP16) are othersubstrates which enable the propagation the MAPK/ERK signal toadditional cytosolic and nuclear targets, thereby extending thespecificity of the cascade. Mediates phosphorylation of TPR inrespons to EGF stimulation. May play a role in the spindle assemblycheckpoint. Phosphorylates PML and promotes its interaction withPIN1, leading to PML degradation (By similarity).
Acts as a transcriptional repressor. Binds to a[GC]AAA[GC] consensus sequence. Repress the expression ofinterferon gamma-induced genes. Seems to bind to the promoter ofCCL5, DMP1, IFIH1, IFITM1, IRF7, IRF9, LAMP3, OAS1, OAS2, OAS3 andSTAT1. Transcriptional activity is independent of kinase activity.
化学信息
分子量Theoretical: 43 kDa. Actual: 44,42 kDa.
储存&溶解度
储存方式Store at -20°C or -80°C for 12 months. Avoid repeated freeze-thaw cycles.
运输方式Shipping with blue ice.

计算器

  • 稀释 计算器
  • 配液 计算器
Related Tags: buy Anti-ERK1/2 Antibody (2U314) | purchase Anti-ERK1/2 Antibody (2U314) | Anti-ERK1/2 Antibody (2U314) cost | order Anti-ERK1/2 Antibody (2U314) | Anti-ERK1/2 Antibody (2U314) molecular weight