购物车
  • TargetMol
    您的购物车当前为空

Anti-EPAS1 Antibody (7C2)

Synonyms: PASD2, PAS domain-containing protein 2, MOP2, Member of PAS protein 2, Hypoxia-inducible factor 2-alpha, HLF, HIF2-alpha, HIF-2-alpha, HIF2A, HIF-1-alpha-like factor, EPAS-1, Endothelial PAS domain-containing protein 1, Class E basic helix-loop-helix protein 73, bHLHe73, Basic-helix-loop-helix-PAS protein MOP2
货号 TMAC-01821 一键复制产品信息
Rating icon 还可以

Anti-EPAS1 Antibody (7C2) 是一种 Rabbit 抗体,靶向 EPAS1。Anti-EPAS1 Antibody (7C2) 可用于 FCM,IHC,WB。

Anti-EPAS1 Antibody (7C2)

一键复制产品信息
Rating icon 还可以
货号 TMAC-01821

别名 PASD2, PAS domain-containing protein 2, MOP2, Member of PAS protein 2, Hypoxia-inducible factor 2-alpha, HLF, HIF2-alpha, HIF-2-alpha, HIF2A, HIF-1-alpha-like factor, EPAS-1, Endothelial PAS domain-containing protein 1, Class E basic helix-loop-helix protein 73, bHLHe73, Basic-helix-loop-helix-PAS protein MOP2

Anti-EPAS1 Antibody (7C2) 是一种 Rabbit 抗体,靶向 EPAS1。Anti-EPAS1 Antibody (7C2) 可用于 FCM,IHC,WB。

Anti-EPAS1 Antibody (7C2)
规格价格库存数量
50 μL
¥ 1,485
5日内发货
100 μL
¥ 2,490
5日内发货
库存状态实时更新,以官网显示为准,现货产品可直接加购物车下单
大包装 & 定制
加入购物车
TargetMol的所有产品仅用作科学研究或药证申报,不能被用于人体,我们不向个人提供产品和服务。请您遵守承诺用途,不得违反法律法规规定用于任何其他用途。
实验操作小课堂
常见问题解答
查看更多

资源下载:产品操作手册

产品介绍


生物活性
产品描述
Anti-EPAS1 Antibody (7C2) is a Rabbit antibody targeting EPAS1. Anti-EPAS1 Antibody (7C2) can be used in FCM,IHC,WB.
别名PASD2, PAS domain-containing protein 2, MOP2, Member of PAS protein 2, Hypoxia-inducible factor 2-alpha, HLF, HIF2-alpha, HIF-2-alpha, HIF2A, HIF-1-alpha-like factor, EPAS-1, Endothelial PAS domain-containing protein 1, Class E basic helix-loop-helix protein 73, bHLHe73, Basic-helix-loop-helix-PAS protein MOP2
Ig Type
IgG
克隆号
7C2
反应种属
Human,Mouse,Rat
验证活性
1. Western blot analysis of HIF-2 alpha on SiHa cell lysate using anti-HIF-2 alpha antibody at 1/500 dilution.
2. Immunohistochemical analysis of paraffin-embedded rat lung tissue using anti-HIF-2 alpha antibody. Counter stained with hematoxylin.
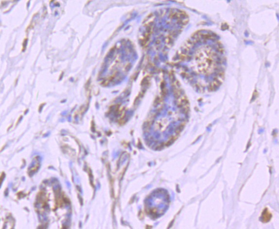
3. Immunohistochemical analysis of paraffin-embedded human breast cancer tissue using anti-HIF-2 alpha antibody. Counter stained with hematoxylin.
4. Immunohistochemical analysis of paraffin-embedded human placenta tissue using anti-HIF-2 alpha antibody. Counter stained with hematoxylin.
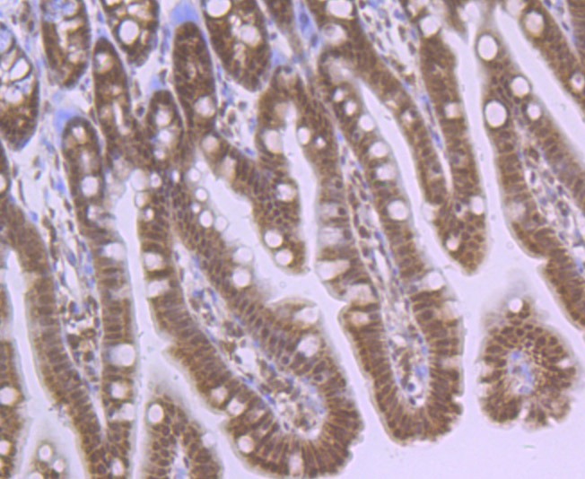
5. Immunohistochemical analysis of paraffin-embedded mouse colon tissue using anti-HIF-2 alpha antibody. Counter stained with hematoxylin.
6. Flow cytometric analysis of HUVEC cells with HIF-2 antibody at 1/100 dilution (red) compared with an unlabelled control (cells without incubation with primary antibody; black). Alexa Fluor 488-conjugated goat anti rabbit IgG was used as the secondary antibody.
verifiedActivityverifiedActivityverifiedActivityverifiedActivityverifiedActivityverifiedActivity
应用FCMIHCWB
推荐剂量
WB: 1:500-2000; IHC: 1:50-200; FCM: 1:50-100
抗体种类
Monoclonal
宿主来源Rabbit
构建方式Recombinant Antibody
纯化方式ProA affinity purified
性状Liquid
缓冲液1*TBS (pH7.4), 1%BSA, 40%Glycerol. Preservative: 0.05% Sodium Azide.
研究背景Cell growth and viability is compromised by oxygen deprivation (hypoxia). Hypoxia-inducible factors, including HIF-1α, HIF-1β (also designated Arnt 1), EPAS-1 (also designated HIF-2α) and HIF-3α, induce glycolysis, erythropoiesis and angiogenesis in order to restore oxygen homeostasis. Hypoxia-inducible factors are members of the Per-Arnt-Sim (PAS) domain transcription factor family. In response to hypoxia, HIF-1α is upregulated and forms a heterodimer with Arnt 1 to form the HIF-1 complex. The HIF-1 complex recognizes and binds to the hypoxia responsive element (HRE) of hypoxia-inducible genes, thereby activating transcription. Hypoxia-inducible expression of some genes such as Glut-1, p53, p21 or Bcl-2, is HIF-1α dependent, whereas expression of others, such as p27, GADD 153 or HO-1, is HIF-1α independent. EPAS-1 and HIF-3α have also been shown to form heterodimeric complexes with Arnt 1 in response to hypoxia.
偶联与修饰
偶联
Unconjugated
抗原信息
免疫原
Recombinant Protein
Uniprot ID
化学信息
分子量Theoretical: 96 kDa.
储存&溶解度
储存方式Store at -20°C or -80°C for 12 months. Avoid repeated freeze-thaw cycles.
运输方式Shipping with blue ice.

计算器

  • 稀释 计算器
  • 配液 计算器
Related Tags: buy Anti-EPAS1 Antibody (7C2) | purchase Anti-EPAS1 Antibody (7C2) | Anti-EPAS1 Antibody (7C2) cost | order Anti-EPAS1 Antibody (7C2) | Anti-EPAS1 Antibody (7C2) molecular weight