购物车
  • TargetMol
    您的购物车当前为空

Anti-ELMO1 Antibody (8W516)

Synonyms: Protein ced-12 homolog, MGC126406, KIAA0281, Engulfment and cell motility protein 1, Engulfment and cell motility 1, ELMO1_HUMAN, ELMO-1, Elmo1, ELMO 1, Ced12 homolog 1, Ced12 homolog, CED-12, CED12, Ced 12 homolog 1, Ced 12 homolog, CED 12
货号 TMAC-01287 一键复制产品信息
Rating icon 还可以

Anti-ELMO1 Antibody (8W516) 是一种 Rabbit 抗体,靶向 ELMO1。Anti-ELMO1 Antibody (8W516) 可用于 FCM,IHC,IP,WB。

Anti-ELMO1 Antibody (8W516)

一键复制产品信息
Rating icon 还可以
货号 TMAC-01287

别名 Protein ced-12 homolog, MGC126406, KIAA0281, Engulfment and cell motility protein 1, Engulfment and cell motility 1, ELMO1_HUMAN, ELMO-1, Elmo1, ELMO 1, Ced12 homolog 1, Ced12 homolog, CED-12, CED12, Ced 12 homolog 1, Ced 12 homolog, CED 12

Anti-ELMO1 Antibody (8W516) 是一种 Rabbit 抗体,靶向 ELMO1。Anti-ELMO1 Antibody (8W516) 可用于 FCM,IHC,IP,WB。

Anti-ELMO1 Antibody (8W516)
规格价格库存数量
50 μL
¥ 1,490
5日内发货
100 μL
¥ 2,490
5日内发货
库存状态实时更新,以官网显示为准,现货产品可直接加购物车下单
大包装 & 定制
加入购物车
TargetMol的所有产品仅用作科学研究或药证申报,不能被用于人体,我们不向个人提供产品和服务。请您遵守承诺用途,不得违反法律法规规定用于任何其他用途。
实验操作小课堂
常见问题解答
查看更多

资源下载:产品操作手册

产品介绍


生物活性
产品描述
Anti-ELMO1 Antibody (8W516) is a Rabbit antibody targeting ELMO1. Anti-ELMO1 Antibody (8W516) can be used in FCM,IHC,IP,WB.
别名Protein ced-12 homolog, MGC126406, KIAA0281, Engulfment and cell motility protein 1, Engulfment and cell motility 1, ELMO1_HUMAN, ELMO-1, Elmo1, ELMO 1, Ced12 homolog 1, Ced12 homolog, CED-12, CED12, Ced 12 homolog 1, Ced 12 homolog, CED 12
Ig Type
IgG
克隆号
8W516
反应种属
Human,Mouse,Rat
验证活性
1. Western blot analysis of ELMO1 on mouse spleen tissue and Jurkat cell lysates using anti-ELMO1 antibody at 1/1,000 dilution.
2. Immunohistochemical analysis of paraffin-embedded rat spleen tissue using anti-ELMO1 antibody. Counter stained with hematoxylin. The section was pre-treated using heat mediated antigen retrieval with sodium citrate buffer (pH6) for 20 mins.
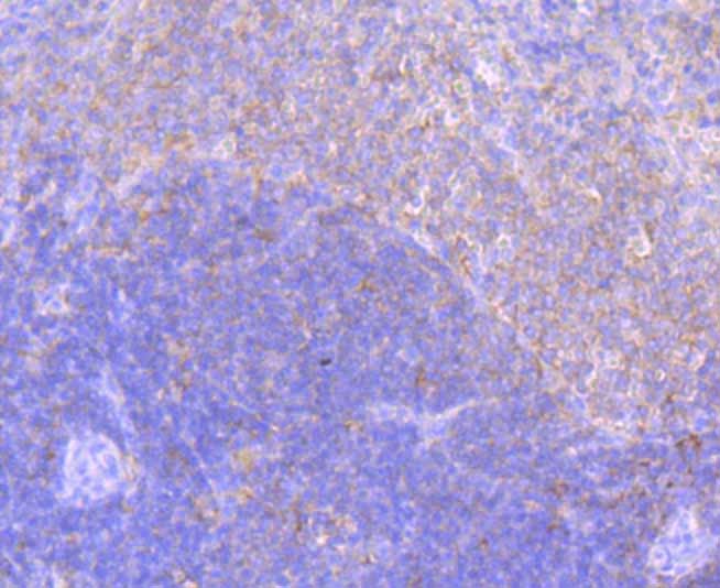
3. Immunohistochemical analysis of paraffin-embedded mouse spleen tissue using anti-ELMO1 antibody. Counter stained with hematoxylin. The section was pre-treated using heat mediated antigen retrieval with sodium citrate buffer (pH6) for 20 mins.
4. Flow cytometric analysis of SH-SY-5Y cells with ELMO1 antibody at 1/50 dilution (purple) compared with an unlabelled control (cells without incubation with primary antibody; yellow). Alexa Fluor 488-conjugated goat anti-rabbit IgG was used as the secondary antibody.
verifiedActivityverifiedActivityverifiedActivityverifiedActivity
应用FCMIHCIPWB
推荐剂量
WB: 1:500-2000; IHC: 1:50-200; IP: 1:50-100; FCM: 1:50-100
抗体种类
Monoclonal
宿主来源Rabbit
构建方式Recombinant Antibody
纯化方式ProA affinity purified
性状Liquid
缓冲液1*TBS (pH7.4), 1%BSA, 40%Glycerol. Preservative: 0.05% Sodium Azide.
研究背景Elmo (engulfment and cell motility) proteins share similarity to C. elegans CED-12. The C. elegans genes ced-2, ced-5, ced-10 and ced-12, and their mammalian homologs, CRKII, DOCK1, RAC1 and ELMO, mediate cytoskeletal rear-rangements during phagocytosis of apoptotic cells as well as cell motility. Elmo1 associates with DOCK 180 and may influence phagocytosis and effect cell shape changes. Src family kinase-mediated tyrosine phosphorylation of Elmo1 influences signaling through Elmo1/Crk/DOCK 180 pathways. Elmo2 interacts directly with Rho G in a GTP-dependent manner and forms a ternary complex with DOCK 180 to induce activation of Rac 1. The Rho G-Elmo2-DOCK 180 pathway is required for activation of Rac 1 and cell spreading mediated by integrin, as well as for neurite outgrowth induced by nerve growth factor. Elmo3 acts in assocation with DOCK 180 and Crk II and may be required in complex with DOCK 180 to activate Rac/Rho small GTPases.
偶联与修饰
偶联
Unconjugated
抗原信息
免疫原
Recombinant Protein: human ELMO1 aa 500 to 700
抗原种属
human
Uniprot ID
化学信息
分子量Theoretical: 84 kDa.
储存&溶解度
储存方式Store at -20°C or -80°C for 12 months. Avoid repeated freeze-thaw cycles.
运输方式Shipping with blue ice.

计算器

  • 稀释 计算器
  • 配液 计算器
Related Tags: buy Anti-ELMO1 Antibody (8W516) | purchase Anti-ELMO1 Antibody (8W516) | Anti-ELMO1 Antibody (8W516) cost | order Anti-ELMO1 Antibody (8W516) | Anti-ELMO1 Antibody (8W516) molecular weight