购物车
  • 全部删除
  • TargetMol
    您的购物车当前为空

Anti-ELAVL1 Antibody (3D917)

Rating icon 还可以
产品编号 TMAC-02077
别名 HUR, Hu-antigen R (HuR), ELAV-like protein 1, ELAVL1

Anti-ELAVL1 Antibody (3D917) 是一种 Rabbit 抗体,靶向 ELAVL1。Anti-ELAVL1 Antibody (3D917) 可用于 FCM,IHC,IP,WB。

Anti-ELAVL1 Antibody (3D917)

Anti-ELAVL1 Antibody (3D917)

一键复制产品信息
Rating icon 还可以
产品编号 TMAC-02077 别名 HUR, Hu-antigen R (HuR), ELAV-like protein 1, ELAVL1

Anti-ELAVL1 Antibody (3D917) 是一种 Rabbit 抗体,靶向 ELAVL1。Anti-ELAVL1 Antibody (3D917) 可用于 FCM,IHC,IP,WB。

规格价格库存数量
50 μL
¥ 1,490
5日内发货
100 μL
¥ 2,490
5日内发货
大包装 & 定制
加入购物车
TargetMol 的所有产品仅用作科学研究或药证申报,不能被用于人体,我们不向个人提供产品和服务。请您遵守承诺用途,不得违反法律法规规定用于任何其他用途。
实验操作小课堂
常见问题解答
查看更多
联系我们获取更多批次信息
资源下载

产品介绍

生物活性
产品描述
Anti-ELAVL1 Antibody (3D917) is a Rabbit antibody targeting ELAVL1. Anti-ELAVL1 Antibody (3D917) can be used in FCM,IHC,IP,WB.
别名HUR, Hu-antigen R (HuR), ELAV-like protein 1, ELAVL1
Ig Type
IgG
克隆号
3D917
交叉反应
Human,Mouse,Rat
验证活性
1. Western blot analysis of HuR/ELAVL1 on different lysates using anti-HuR/ELAVL1 antibody at 1/1,000 dilution. POSITIVE CONTROL: Lane 1: Rat spleen tissue, Lane 2: Rat heart tisse, Lane 3: PC-12, Lane 4: Mouse heart tissue, Lane 5: Hela.
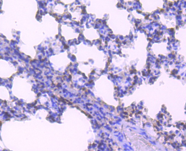
2. Immunohistochemical analysis of paraffin-embedded rat lung tissue using anti-HuR/ELAVL1 antibody. Counter stained with hematoxylin.
3. Immunohistochemical analysis of paraffin-embedded human colon cancer tissue using anti-HuR/ELAVL1 antibody. Counter stained with hematoxylin.
4. Immunohistochemical analysis of paraffin-embedded human breast tissue using anti-HuR/ELAVL1 antibody. Counter stained with hematoxylin.
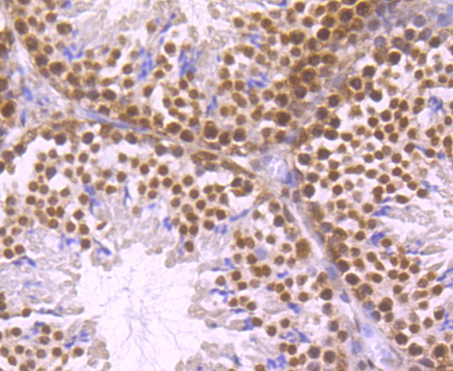
5. Immunohistochemical analysis of paraffin-embedded mouse testis tissue using anti-HuR/ELAVL1 antibody. Counter stained with hematoxylin.
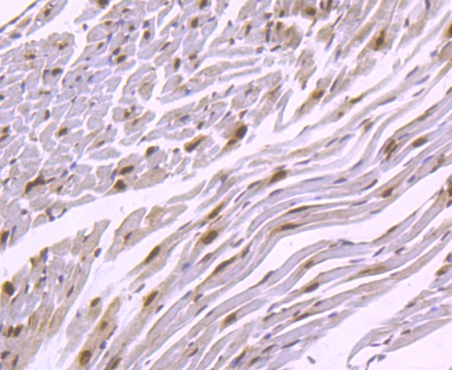
6. Immunohistochemical analysis of paraffin-embedded mouse heart tissue using anti-HuR/ELAVL1 antibody. Counter stained with hematoxylin.
7. Flow cytometric analysis of Jurkat cells with HuR/ELAVL1 antibody at 1/100 dilution (red) compared with an unlabelled control (cells without incubation with primary antibody; black).
verifiedActivityverifiedActivityverifiedActivityverifiedActivityverifiedActivityverifiedActivityverifiedActivity
应用FCMIHCIPWB
推荐剂量
WB: 1:500-2000; IHC: 1:100-500; IP: 1:10-50; FCM: 1:50-100
抗体种类
Monoclonal
宿主来源Rabbit
构建方式Recombinant Antibody
纯化方式ProA affinity purified
性状Liquid
缓冲液1*TBS (pH7.4), 1%BSA, 40%Glycerol. Preservative: 0.05% Sodium Azide.
研究背景RNA-binding protein that binds to the 3'-UTR region of mRNAs and increases their stability. Involved in embryonic stem cells (ESCs) differentiation: preferentially binds mRNAs that are not methylated by N6-methyladenosine (m6A), stabilizing them, promoting ESCs differentiation. Binds to poly-U elements and AU-rich elements (AREs) in the 3'-UTR of target mRNAs. Binds avidly to the AU-rich element in FOS and IL3/interleukin-3 mRNAs. In the case of the FOS AU-rich element, binds to a core element of 27 nucleotides that contain AUUUA, AUUUUA, and AUUUUUA motifs. Binds preferentially to the 5'-UUUU[AG]UUU-3' motif in vitro. With ZNF385A, binds the 3'-UTR of p53/TP53 mRNA to control their nuclear export induced by CDKN2A. Hence, may regulate p53/TP53 expression and mediate in part the CDKN2A proliferative activity. May also bind with ZNF385A the CCNB1 mRNA.
偶联与修饰
偶联
Unconjugated
抗原信息
免疫原
Recombinant Protein
Uniprot ID
存储&运输
储存方式Store at -20°C or -80°C for 12 months. Avoid repeated freeze-thaw cycles.
运输方式Shipping with blue ice.

计算器

  • 稀释 计算器

关键词

评论列表

4个月前
5.0
Rating icon 很棒

评论内容

Related Tags: buy Anti-ELAVL1 Antibody (3D917) | purchase Anti-ELAVL1 Antibody (3D917) | Anti-ELAVL1 Antibody (3D917) cost | order Anti-ELAVL1 Antibody (3D917)