购物车
  • 全部删除
  • TargetMol
    您的购物车当前为空

Anti-Elastin Polyclonal Antibody 2

Rating icon 还可以
产品编号 TMAB-00605
别名 Tropoelastin, Eln, Elastin

Anti-Elastin Polyclonal Antibody 2 是一种 Rabbit 抗体,靶向 Elastin。Anti-Elastin Polyclonal Antibody 2 可用于 FCM,IF,IHC-Fr,IHC-P,WB。

Anti-Elastin Polyclonal Antibody 2

Anti-Elastin Polyclonal Antibody 2

一键复制产品信息
Rating icon 还可以
产品编号 TMAB-00605 别名 Tropoelastin, Eln, Elastin

Anti-Elastin Polyclonal Antibody 2 是一种 Rabbit 抗体,靶向 Elastin。Anti-Elastin Polyclonal Antibody 2 可用于 FCM,IF,IHC-Fr,IHC-P,WB。

规格价格库存数量
50 μL
¥ 1,165
5日内发货
100 μL
¥ 1,970
5日内发货
200 μL
¥ 2,795
5日内发货
大包装 & 定制
加入购物车
TargetMol 的所有产品仅用作科学研究或药证申报,不能被用于人体,我们不向个人提供产品和服务。请您遵守承诺用途,不得违反法律法规规定用于任何其他用途。
实验操作小课堂
常见问题解答
查看更多
联系我们获取更多批次信息
资源下载

产品介绍

生物活性
产品描述
Anti-Elastin Polyclonal Antibody 2 is a Rabbit antibody targeting Elastin. Anti-Elastin Polyclonal Antibody 2 can be used in FCM,IF,IHC-Fr,IHC-P,WB.
别名Tropoelastin, Eln, Elastin
Ig Type
IgG
交叉反应
Human,Mouse,Rat
验证活性
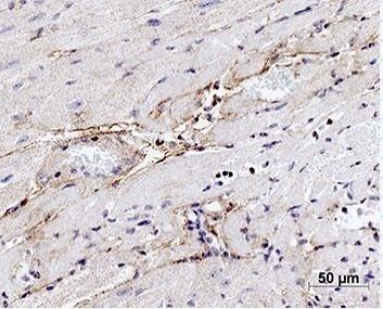
1. Images provided the Independent Validation Program (badge number 28751): Formalin-fixed and paraffin embedded mouse heart labeled with Rabbit Anti-alpha Elastin Polyclonal Antibody (TMAB-00605) at 1:1000 4℃ temperature overnight 4℃followed by conjugation to secondary antibody.
2. Sample: Lung (Mouse) Lysate at 30 μg
Primary: Anti-alpha Elastin/Tropoelastin (TMAB-00605) at 1/300 dilution
Secondary: IRDye800CW Goat Anti-Mouse IgG at 1/10000 dilution
Predicted band size: 70 kDa
Observed band size: 68 kDa
3. Sample:
Lane 1: Uterus (Mouse) Lysate at 40 μg
Lane 2: Lung (Mouse) Lysate at 40 μg
Lane 3: Liver (Mouse) Lysate at 40 μg
Lane 4: NIH/3T3 (Mouse) Cell Lysate at 30 μg
Lane 5: Lung (Rat) Lysate at 40 μg
Lane 6: Liver (Rat) Lysate at 40 μg
Lane 7: Testis (Rat) Lysate at 40 μg
Lane 8: SH-SY5Y (Human) Cell Lysate at 30 μg
Lane 9: A549 (Human) Cell Lysate at 30 μg
Primary: Anti-Elastin (TMAB-00605) at 1/1000 dilution
Secondary: IRDye800CW Goat Anti-Rabbit IgG at 1/20000 dilution
Predicted band size: 66 kDa
Observed band size: 68 kDa
verifiedActivityverifiedActivityverifiedActivity
应用FCMIFIHC-FrIHC-PWB
推荐剂量
WB: 1:500-2000; IHC-P: 1:100-500; IHC-Fr: 1:100-500; IF: 1:100-500; FCM: 1μg /test
抗体种类
Polyclonal
宿主来源Rabbit
亚细胞定位Secreted, extracellular space, extracellular matrix. Note=Extracellular matrix of elastic fibers.
组织特异性Expressed within the outer myometrial smooth muscle and throughout the arteriolar tree of uterus (at protein level). Also expressed in the large arteries, lung and skin.
构建方式Polyclonal Antibody
纯化方式Protein A purified
性状Liquid
缓冲液0.01M TBS (pH7.4) with 1% BSA, 0.02% Proclin300 and 50% Glycerol.
浓度1 mg/mL
研究背景This gene encodes a protein that is one of the two components of elastic fibers. Elastic fibers comprise part of the extracellular matrix and confer elasticity to organs and tissues including the heart, skin, lungs, ligaments, and blood vessels. The encoded protein is rich in hydrophobic amino acids such as glycine and proline, which form mobile hydrophobic regions bounded by crosslinks between lysine residues. Degradation products of the encoded protein, known as elastin-derived peptides or elastokines, bind the elastin receptor complex and other receptors and stimulate migration and proliferation of monocytes and skin fibroblasts. Elastokines can also contribute to cancer progression. Deletions and mutations in this gene are associated with supravalvular aortic stenosis (SVAS) and autosomal dominant cutis laxa. [provided by RefSeq, Aug 2017].
抗原信息
免疫原
KLH conjugated synthetic peptide: human Elastin
抗原种属
Human
基因名称
ELN
基因ID
蛋白名称
Elastin
Uniprot ID
功能
Major structural protein of tissues such as aorta and nuchal ligament, which must expand rapidly and recover completely. Molecular determinant of the late arterial morphogenesis, stabilizing arterial structure by regulating proliferation and organization of vascular smooth muscle.
化学信息
分子量Theoretical: 68 kDa.
存储&运输
储存方式Store at -20°C or -80°C for 12 months. Avoid repeated freeze-thaw cycles.
运输方式Shipping with blue ice.

计算器

  • 稀释 计算器

评论列表

4个月前
5.0
Rating icon 很棒

评论内容

Related Tags: buy Anti-Elastin Polyclonal Antibody 2 | purchase Anti-Elastin Polyclonal Antibody 2 | Anti-Elastin Polyclonal Antibody 2 cost | order Anti-Elastin Polyclonal Antibody 2 | Anti-Elastin Polyclonal Antibody 2 molecular weight