购物车
  • TargetMol
    您的购物车当前为空

Anti-ELANE Antibody (2I484)

Synonyms: PMN elastase, Neutrophil elastase, Medullasin, Human leukocyte elastase (HLE), Elastase-2, ELANE, ELA2, Bone marrow serine protease
货号 TMAC-02790 一键复制产品信息
Rating icon 还可以
202603开学季活动

Anti-ELANE Antibody (2I484) 是一种 Rabbit 抗体,靶向 ELANE。Anti-ELANE Antibody (2I484) 可用于 FCM,ICC/IF,IHC,WB。

Anti-ELANE Antibody (2I484)

一键复制产品信息
Rating icon 还可以
202603开学季活动
货号 TMAC-02790

别名 PMN elastase, Neutrophil elastase, Medullasin, Human leukocyte elastase (HLE), Elastase-2, ELANE, ELA2, Bone marrow serine protease

Anti-ELANE Antibody (2I484) 是一种 Rabbit 抗体,靶向 ELANE。Anti-ELANE Antibody (2I484) 可用于 FCM,ICC/IF,IHC,WB。

Anti-ELANE Antibody (2I484)
规格价格库存数量
50 μL
¥ 1,490
5日内发货
100 μL
¥ 2,495
5日内发货
库存状态实时更新,以官网显示为准,现货产品可直接加购物车下单
大包装 & 定制
加入购物车

TargetMol的所有产品仅用作科学研究或药证申报,不能被用于人体,我们不向个人提供产品和服务。请您遵守承诺用途,不得违反法律法规规定用于任何其他用途。

实验操作小课堂
常见问题解答
查看更多

资源下载:产品操作手册

产品介绍


生物活性
产品描述
Anti-ELANE Antibody (2I484) is a Rabbit antibody targeting ELANE. Anti-ELANE Antibody (2I484) can be used in FCM,ICC/IF,IHC,WB.
别名
PMN elastase, Neutrophil elastase, Medullasin, Human leukocyte elastase (HLE), Elastase-2, ELANE, ELA2, Bone marrow serine protease
Ig Type
IgG
克隆号
2I484
反应种属
Human
验证活性
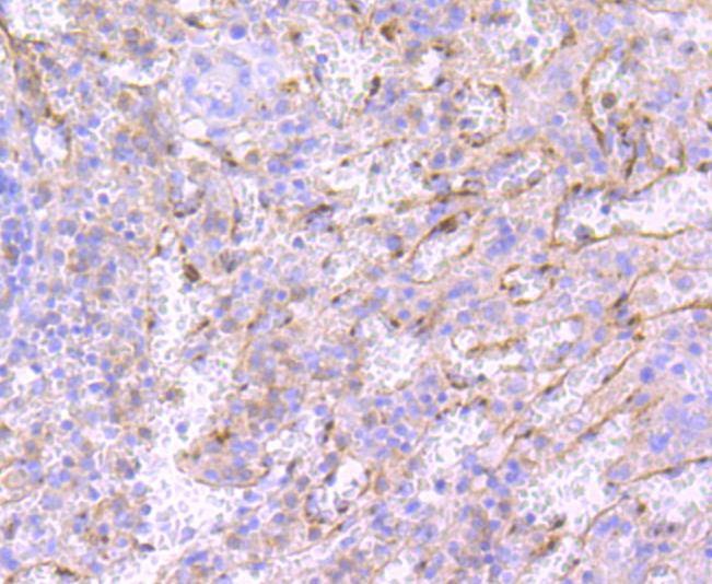
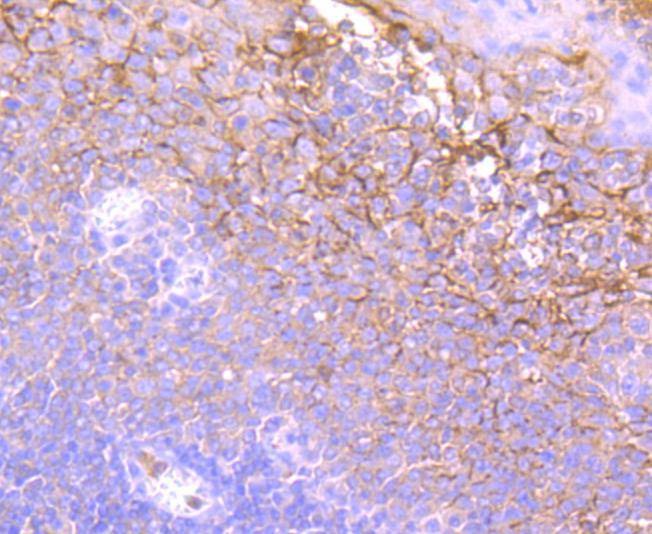
1. Immunohistochemical analysis of paraffin-embedded human tonsil tissue using anti-Neutrophil Elastase antibody. Counter stained with hematoxylin.
2. Immunohistochemical analysis of paraffin-embedded human spleen tissue using anti-Neutrophil Elastase antibody. Counter stained with hematoxylin.
3. ICC staining Neutrophil Elastase in A549 cells (red). The nuclear counter stain is DAPI (blue). Cells were fixed in paraformaldehyde, permeabilised with 0.25% Triton X100/PBS.
4. ICC staining Neutrophil Elastase in Hela cells (red). The nuclear counter stain is DAPI (blue). Cells were fixed in paraformaldehyde, permeabilised with 0.25% Triton X100/PBS.
5. ICC staining Neutrophil Elastase in HepG2 cells (red). The nuclear counter stain is DAPI (blue). Cells were fixed in paraformaldehyde, permeabilised with 0.25% Triton X100/PBS.
6. Flow cytometric analysis of HepG2 cells with Neutrophil Elastase antibody at 1/50 dilution (red) compared with an unlabelled control (cells without incubation with primary antibody; black). Alexa Fluor 488-conjugated goat anti rabbit IgG was used as the secondary antibody.
verifiedActivityverifiedActivityverifiedActivityverifiedActivityverifiedActivityverifiedActivity
应用FCMICC/IFIHCWB
推荐剂量
WB: 1:1000; IHC: 1:50-200; ICC/IF: 1:50; FCM: 1:10-50
抗体种类
Monoclonal
宿主来源Rabbit
构建方式Recombinant Antibody
纯化方式ProA affinity purified
性状Liquid
缓冲液1*TBS (pH7.4), 1%BSA, 40%Glycerol. Preservative: 0.05% Sodium Azide.
研究背景Neutrophil Elastase (NE) is a serine protease that is expressed in bone marrow precursor cells, stored in peripheral blood granulocytes, and implicated in the progression of a variety of inflammatory diseases, including idiopathic pulmonary fibrosis, rheumatoid arthritis, adult respiratory distress syndrome and cystic fibrosis. In neutrophils, Neutrophil Elastase contributes largely to the proteolysis of phagocytosed proteins, the migration of neutrophils and the remodeling of tissues following injury. Neutrophil Elastase, which is also designated medullasin, is secreted into the extracellular matrix, where it is then capable of destroying connective tissue proteins, including elastin, proteoglycans and Type IV Collagens. Neutrophil Elastase also mediates proteolysis by cleaving proteins that are associated with the complement system, such as antithrombin and Fibrinogen. Additionally, Neutrophil Elastase functions as a potent platelet agonist, where it potentiates the aggregation, secretion and mobilization of calcium in response to cathepsin G binding to platelet surface receptors.
偶联与修饰
偶联
Unconjugated
抗原信息
免疫原
Recombinant Protein
Uniprot ID
化学信息
分子量Theoretical: 29 kDa.
储存&溶解度
储存方式Store at -20°C or -80°C for 12 months. Avoid repeated freeze-thaw cycles.
运输方式Shipping with blue ice.

计算器

  • 稀释 计算器
  • 配液 计算器
Related Tags: buy Anti-ELANE Antibody (2I484) | purchase Anti-ELANE Antibody (2I484) | Anti-ELANE Antibody (2I484) cost | order Anti-ELANE Antibody (2I484) | Anti-ELANE Antibody (2I484) molecular weight