购物车
  • TargetMol
    您的购物车当前为空

Anti-EGFR Polyclonal Antibody

Synonyms: PIG61, NISBD2, mENA, HER1, ERBB1, ERBB, epidermal growth factor receptor
货号 TMAB-00595 一键复制产品信息
Rating icon 还可以

Anti-EGFR Polyclonal Antibody 是一种 Rabbit 抗体,靶向 EGFR。Anti-EGFR Polyclonal Antibody 可用于 FCM,IF,IHC-Fr,IHC-P,WB。

Anti-EGFR Polyclonal Antibody

一键复制产品信息
Rating icon 还可以
货号 TMAB-00595

别名 PIG61, NISBD2, mENA, HER1, ERBB1, ERBB, epidermal growth factor receptor

Anti-EGFR Polyclonal Antibody 是一种 Rabbit 抗体,靶向 EGFR。Anti-EGFR Polyclonal Antibody 可用于 FCM,IF,IHC-Fr,IHC-P,WB。

Anti-EGFR Polyclonal Antibody
规格价格库存数量
50 μL
¥ 1,175
5日内发货
100 μL
¥ 1,975
5日内发货
200 μL
¥ 2,795
5日内发货
库存状态实时更新,以官网显示为准,现货产品可直接加购物车下单
大包装 & 定制
加入购物车
TargetMol的所有产品仅用作科学研究或药证申报,不能被用于人体,我们不向个人提供产品和服务。请您遵守承诺用途,不得违反法律法规规定用于任何其他用途。
实验操作小课堂
常见问题解答
查看更多

资源下载:产品操作手册

产品介绍


生物活性
产品描述
Anti-EGFR Polyclonal Antibody is a Rabbit antibody targeting EGFR. Anti-EGFR Polyclonal Antibody can be used in FCM,IF,IHC-Fr,IHC-P,WB.
别名PIG61, NISBD2, mENA, HER1, ERBB1, ERBB, epidermal growth factor receptor
Ig Type
IgG
反应种属
Human,Rat (predicted:Mouse,Dog,Pig)
验证活性
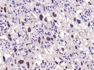
1. Paraformaldehyde-fixed, paraffin embedded (human gastric carcinoma); Antigen retrieval by boiling in sodium citrate buffer (pH6.0) for 15 min; Block endogenous peroxidase by 3% hydrogen peroxide for 20 min; Blocking buffer (normal goat serum) at 37°C for 30 min; Antibody incubation with (EGFR) Polyclonal Antibody, Unconjugated (TMAB-00595) at 1:200 overnight at 4°C, followed by operating according to SP Kit (Rabbit) instructionsand DAB staining.
2. Sample:
Lane 1: Hela (Human) Cell Lysate at 30 μg
Lane 2: A549 (Human) Cell Lysate at 30 μg
Lane 3: U251 (Human) Cell Lysate at 30 μg
Lane 4: U87MG (Human) Cell Lysate at 30 μg
Primary: Anti-EGFR at 1/1000 dilution
Secondary: IRDye800CW Goat Anti-Rabbit IgG at 1/20000 dilution
Predicted band size: 170 kDa
Observed band size: 170 kDa
3. Paraformaldehyde-fixed, paraffin embedded (rat placenta); Antigen retrieval by boiling in sodium citrate buffer (pH6.0) for 15 min; Block endogenous peroxidase by 3% hydrogen peroxide for 20 min; Blocking buffer (normal goat serum) at 37°C for 30 min; Antibody incubation with (EGFR) Polyclonal Antibody, Unconjugated (TMAB-00595) at 1:200 overnight at 4°C, followed by operating according to SP Kit (Rabbit) instructionsand DAB staining.
4. Tissue/cell: human rectal carcinoma;4% Paraformaldehyde-fixed and paraffin-embedded;
Antigen retrieval: citrate buffer (0.01M, pH6.0), Boiling bathing for 15 min; Blocking buffer (normal goat serum) at 37°C for 20 min;
Incubation: Anti-EGFR Polyclonal Antibody, Unconjugated (TMAB-00595) 1:200, overnight at 4°C; The secondary antibody was Goat Anti-Rabbit IgG, Cy3 conjugated used at 1:200 dilution for 40 minutes at 37°C. DAPI (5 μg/ml,blue) was used to stain the cell nucleus.
5. Blank control: HUVEC cells (blue). Primary Antibody: Rabbit Anti-EGFR antibody (TMAB-00595), Dilution: 1 μg in 100 μL 1X PBS containing 0.5% BSA; Isotype Control Antibody: Rabbit Igg (orange),used under the same conditions); Secondary Antibody: Goat anti-rabbit IgG-Pe (white blue), Dilution: 1:200 in 1 X PBS containing 0.5% BSA.
Protocol
The cells were fixed with 2% paraformaldehyde (10 min), then permeabilized with 90% ice-cold methanol for 30 min on ice. Primary antibody (TMAB-00595,1 μg/1x10^6 cells) were incubated for 30 min on the ice, followed by 1 X PBS containing 0.5% BSA + 10% goat serum (15 min) to block non-specific protein-protein interactions. Then the Goat Anti-rabbit IgG/PE antibody was added into the blocking buffer mentioned above to react with the primary antibody at 1/200 dilution for 30 min on ice.
6. Blank control (blue line): A431 (blue).
Primary Antibody (green line): Rabbit Anti-EGFRantibody (TMAB-00595)
Dilution: 3 μg/10^6 cells;
Isotype Control Antibody (orange line): Rabbit IgG.
Secondary Antibody (white blue line): Goat anti-rabbit IgG-FITC
Dilution: 1 μg/test.
Protocol
The cells were fixed with 2% paraformaldehyde (10 min), then permeabilized with 90% ice-cold methanol for 30 min on ice. Cells stained with Primary Antibody for 30 min at room temperature. The cells were then incubated in 1 X PBS/2% BSA/10% goat serum to block non-specific protein-protein interactions followed by the antibody for 15 min at room temperature. The secondary antibody used for 40 min at room temperature.
7. Black line: Positive blank control (HUVEC); Negative blank control (Molt-4)
Green line: Primary Antibody (Rabbit Anti-EGFR antibody (TMAB-00595))
Orange line: Isotype Control Antibody (Rabbit IgG).
Blue line: Secondary Antibody (Goat anti-rabbit IgG-AF647)
HUVEc (Positive) and Molt-4 (Negative control) cells (black) were fixed with 4% PFA for 10 min at room temperature,permeabilized with 90% ice-cold methanol for 20 min at-20°C, and incubated in 5% BSA blocking buffer for 30 min at room temperature. Cells were then stained with EGFR Antibody (TMAB-00595) at 1:50 dilution in blocking buffer and incubated for 30 min at room temperature, washed twice with 2% BSA in PBS, followed by secondary antibody (blue) incubation for 40 min at room temperature. Acquisitions of 20,000 events were performed. Cells stained with primary antibody (green), and isotype control (orange).
verifiedActivityverifiedActivityverifiedActivityverifiedActivityverifiedActivityverifiedActivityverifiedActivity
应用FCMIFIHC-FrIHC-PWB
推荐剂量
WB: 1:500-2000; IHC-P: 1:100-500; IHC-Fr: 1:100-500; IF: 1:100-500; FCM: 1μg/Test
抗体种类
Polyclonal
宿主来源Rabbit
亚细胞定位Cell membrane; Single-pass type I membrane protein. Endoplasmic reticulum membrane; Single-pass type I membrane protein. Golgi apparatus membrane; Single-pass type I membrane protein. Nucleus membrane; Single-pass type I membrane protein. Endosome. Endosome membrane. Note=In response to EGF, translocated from the cell membrane to the nucleus via Golgi and ER. Endocytosed upon activation by ligand. Isoform 2: Secreted.
组织特异性Ubiquitously expressed. Isoform 2 is also expressed in ovarian cancers.
构建方式Polyclonal Antibody
纯化方式Protein A purified
性状Liquid
缓冲液0.01M TBS (pH7.4) with 1% BSA, 0.02% Proclin300 and 50% Glycerol.
浓度1 mg/mL
研究背景The protein encoded by this gene is a transmembrane glycoprotein that is a member of the protein kinase superfamily. This protein is a receptor for members of the epidermal growth factor family. EGFR is a cell surface protein that binds to epidermal growth factor. Binding of the protein to a ligand induces receptor dimerization and tyrosine autophosphorylation and leads to cell proliferation. Mutations in this gene are associated with lung cancer. Multiple alternatively spliced transcript variants that encode different protein isoforms have been found for this gene. [provided by RefSeq, Jul 2010]
抗原信息
免疫原
KLH conjugated synthetic peptide: human EGFR
抗原种属
Human
基因名称
EGFR
基因ID
蛋白名称
Epidermal growth factor receptor
Uniprot ID
研究领域
Receptor Tyrosine Kinases,EGF,egfr,SARS Coronavirus,Cell differentiation,Receptors,Receptor tyrosine kinases,Growth factor receptors,EGF
功能
Receptor tyrosine kinase binding ligands of the EGF family and activating several signaling cascades to convert extracellular cues into appropriate cellular responses. Known ligands include EGF, TGFA/TGF-alpha, amphiregulin, epigen/EPGN, BTC/betacellulin, epiregulin/EREG and HBEGF/heparin-binding EGF. Ligand binding triggers receptor homo- and/or heterodimerization and autophosphorylation on key cytoplasmic residues. The phosphorylated receptor recruits adapter proteins like GRB2 which in turn activates complex downstream signaling cascades. Activates at least 4 major downstream signaling cascades including the RAS-RAF-MEK-ERK, PI3 kinase-AKT, PLCgamma-PKC and STATs modules. May also activate the NF-kappa-B signaling cascade. Also directly phosphorylates other proteins like RGS16, activating its GTPase activity and probably coupling the EGF receptor signaling to the G protein-coupled receptor signaling. Also phosphorylates MUC1 and increases its interaction with SRC and CTNNB1/beta-catenin.
Isoform 2 may act as an antagonist of EGF action.
化学信息
分子量Theoretical: 130 kDa. Actual: 170 kDa.
储存&溶解度
储存方式Store at -20°C or -80°C for 12 months. Avoid repeated freeze-thaw cycles.
运输方式Shipping with blue ice.

计算器

  • 稀释 计算器
  • 配液 计算器
Related Tags: buy Anti-EGFR Polyclonal Antibody | purchase Anti-EGFR Polyclonal Antibody | Anti-EGFR Polyclonal Antibody cost | order Anti-EGFR Polyclonal Antibody | Anti-EGFR Polyclonal Antibody molecular weight