购物车
  • TargetMol
    您的购物车当前为空

Anti-EGFR Antibody (2W575)

Synonyms: PIG61, NISBD2, mENA, LEGFR, HER1, ERBB1, ERBB, EGFR, EC 2.7.10.1, EC 2.7.10
货号 TMAC-01252 一键复制产品信息
Rating icon 还可以
202603开学季活动

Anti-EGFR Antibody (2W575) 是一种 Rabbit 抗体,靶向 EGFR。Anti-EGFR Antibody (2W575) 可用于 FCM,ICC/IF,IHC,IP,WB。

Anti-EGFR Antibody (2W575)

一键复制产品信息
Rating icon 还可以
202603开学季活动
货号 TMAC-01252

别名 PIG61, NISBD2, mENA, LEGFR, HER1, ERBB1, ERBB, EGFR, EC 2.7.10.1, EC 2.7.10

Anti-EGFR Antibody (2W575) 是一种 Rabbit 抗体,靶向 EGFR。Anti-EGFR Antibody (2W575) 可用于 FCM,ICC/IF,IHC,IP,WB。

Anti-EGFR Antibody (2W575)
规格价格库存数量
50 μL
¥ 1,490
5日内发货
100 μL
¥ 2,480
5日内发货
库存状态实时更新,以官网显示为准,现货产品可直接加购物车下单
大包装 & 定制
加入购物车

TargetMol的所有产品仅用作科学研究或药证申报,不能被用于人体,我们不向个人提供产品和服务。请您遵守承诺用途,不得违反法律法规规定用于任何其他用途。

实验操作小课堂
常见问题解答
查看更多

资源下载:产品操作手册

产品介绍


生物活性
产品描述
Anti-EGFR Antibody (2W575) is a Rabbit antibody targeting EGFR. Anti-EGFR Antibody (2W575) can be used in FCM,ICC/IF,IHC,IP,WB.
别名
PIG61, NISBD2, mENA, LEGFR, HER1, ERBB1, ERBB, EGFR, EC 2.7.10.1, EC 2.7.10
Ig Type
IgG
克隆号
2W575
反应种属
Human,Mouse,Rat
验证活性
1. Western blot analysis of EGFR on different lysates using anti-EGFR antibody at 1/1,000 dilution. Positive control: Lane 1: Hela, Lane 2: 293T, Lane 3: Human skin.
2. Immunohistochemical analysis of paraffin-embedded human breast carcinoma tissue using anti-EGFR antibody. Counter stained with hematoxylin.
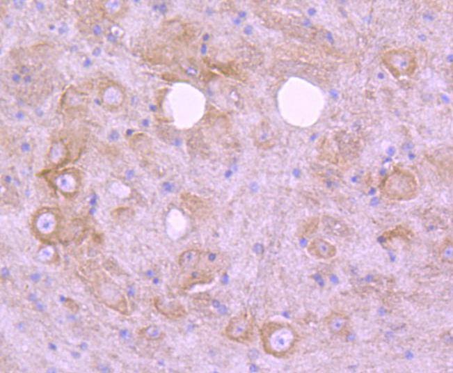
3. Immunohistochemical analysis of paraffin-embedded mouse brain tissue using anti-EGFR antibody. Counter stained with hematoxylin.
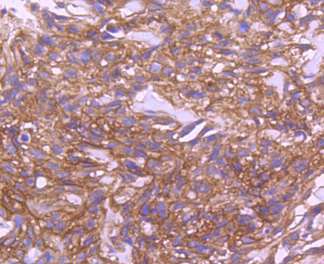
4. Immunohistochemical analysis of paraffin-embedded mouse skin tissue using anti-EGFR antibody. Counter stained with hematoxylin.
5. Immunohistochemical analysis of paraffin-embedded human tonsil tissue using anti-EGFR antibody. Counter stained with hematoxylin.
6. ICC staining EGFR in Hela cells (green). The nuclear counter stain is DAPI (blue). Cells were fixed in paraformaldehyde, permeabilised with 0.25% Triton X100/PBS.
7. ICC staining EGFR in A431 cells (green). The nuclear counter stain is DAPI (blue). Cells were fixed in paraformaldehyde, permeabilised with 0.25% Triton X100/PBS.
8. ICC staining EGFR in SHG-44 cells (green). The nuclear counter stain is DAPI (blue). Cells were fixed in paraformaldehyde, permeabilised with 0.25% Triton X100/PBS.
9. Flow cytometric analysis of A431 cells with EGFR antibody at 1/50 dilution (red) compared with an unlabelled control (cells without incubation with primary antibody; black). Alexa Fluor 488-conjugated goat anti rabbit IgG was used as the secondary antibody.
verifiedActivityverifiedActivityverifiedActivityverifiedActivityverifiedActivityverifiedActivityverifiedActivityverifiedActivityverifiedActivity
应用FCMICC/IFIHCIPWB
推荐剂量
WB: 1:1000-2000; IHC: 1:50-200; ICC/IF: 1:100-500; FCM: 1:50-100
抗体种类
Monoclonal
宿主来源Rabbit
构建方式Recombinant Antibody
纯化方式ProA affinity purified
性状Liquid
缓冲液1*TBS (pH7.4), 1%BSA, 40%Glycerol. Preservative: 0.05% Sodium Azide.
研究背景The EGF receptor family comprises several related receptor tyrosine kinases that are frequently overexpressed in a variety of carcinomas. Members of this receptor family include EGFR (HER1), Neu (ErbB-2, HER2), ErbB-3 (HER3) and ErbB-4 (HER4), which form either homodimers or heterodimers upon ligand binding. Exons in the EGFR gene product are frequently either deleted or duplicated to produce deletion mutants (DM) or tandem duplication mutants (TDM), respectively, which are detected at various molecular weights. EGFR binds several ligands, including epidermal growth factor (EGF), transforming growth factor α (TGFα), Amphiregulin and heparin binding-EGF (HB-EGF). Ligand binding promotes the internalization of EGFR via Clathrin-coated pits and its subsequent degradation in response to its intrinsic tyrosine kinase. EGFR is involved in organ morphogenesis and maintenance and repair of tissues, but upregulation of EGFR is associated with tumor progression. The oncogenic effects of EGFR include initiation of DNA synthesis, enhanced cell growth, invasion and metastasis. Abrogation of EGFR results in cell cycle arrest, apoptosis or dedifferentiation of cancer cells, suggesting that EGFR may be an effective therapeutic target.
偶联与修饰
偶联
Unconjugated
抗原信息
免疫原
Recombinant Protein
Uniprot ID
化学信息
分子量Theoretical: 150/50 kDa.
储存&溶解度
储存方式Store at -20°C or -80°C for 12 months. Avoid repeated freeze-thaw cycles.
运输方式Shipping with blue ice.

计算器

  • 稀释 计算器
  • 配液 计算器
Related Tags: buy Anti-EGFR Antibody (2W575) | purchase Anti-EGFR Antibody (2W575) | Anti-EGFR Antibody (2W575) cost | order Anti-EGFR Antibody (2W575) | Anti-EGFR Antibody (2W575) molecular weight