购物车
  • TargetMol
    您的购物车当前为空

Anti-EFHD1 Antibody (5L981)

Synonyms: EFHD 1, EF-hand domain family, member D1, EF hand domain family, member D1, EF hand domain containing 1, DKFZp781H0842
货号 TMAC-01236 一键复制产品信息
Rating icon 还可以
202603开学季活动

Anti-EFHD1 Antibody (5L981) 是一种 Mouse 抗体,靶向 EFHD1。Anti-EFHD1 Antibody (5L981) 可用于 IF,WB。

Anti-EFHD1 Antibody (5L981)

一键复制产品信息
Rating icon 还可以
202603开学季活动
货号 TMAC-01236

别名 EFHD 1, EF-hand domain family, member D1, EF hand domain family, member D1, EF hand domain containing 1, DKFZp781H0842

Anti-EFHD1 Antibody (5L981) 是一种 Mouse 抗体,靶向 EFHD1。Anti-EFHD1 Antibody (5L981) 可用于 IF,WB。

Anti-EFHD1 Antibody (5L981)
规格价格库存数量
50 μL
¥ 1,340
5日内发货
100 μL
¥ 2,185
5日内发货
库存状态实时更新,以官网显示为准,现货产品可直接加购物车下单
大包装 & 定制
加入购物车

TargetMol的所有产品仅用作科学研究或药证申报,不能被用于人体,我们不向个人提供产品和服务。请您遵守承诺用途,不得违反法律法规规定用于任何其他用途。

实验操作小课堂
常见问题解答
查看更多

资源下载:产品操作手册

产品介绍


生物活性
产品描述
Anti-EFHD1 Antibody (5L981) is a Mouse antibody targeting EFHD1. Anti-EFHD1 Antibody (5L981) can be used in IF,WB.
别名
EFHD 1, EF-hand domain family, member D1, EF hand domain family, member D1, EF hand domain containing 1, DKFZp781H0842
克隆号
5L981
反应种属
Human,Rat,Mouse
验证活性
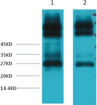
1. Western blot analysis of 1) Mouse spleen tissue, 2) Rat spleen tissue, using TMAC-01236 diluted at 1:3,000.
2. IF analysis of Hela with TMAC-01236(Left) and DAPI (Right) diluted at 1:100.
verifiedActivityverifiedActivity
应用IFWB
推荐剂量
WB: 1:1000~1:3000;IF: 1:100-200
抗体种类
Monoclonal
宿主来源Mouse
构建方式Hybridoma Monoclonal Antibody
纯化方式Affinity purification using immunogen.
性状Liquid
缓冲液Mouse IgG1 in phosphate buffered saline (without Mg2+ and Ca2+), pH 7.4, 150mM NaCl, 0.02% sodium azide and 50% glycerol.
研究背景EFHD1 is an EF-hand domain-containing protein that displays increased expression during neuronal differentiation
偶联与修饰
偶联
Unconjugated
抗原信息
Uniprot ID
化学信息
分子量Actual: 26 kDa.
储存&溶解度
储存方式Store at -20°C or -80°C for 12 months. Avoid repeated freeze-thaw cycles.
运输方式Shipping with blue ice.

计算器

  • 稀释 计算器
  • 配液 计算器
Related Tags: buy Anti-EFHD1 Antibody (5L981) | purchase Anti-EFHD1 Antibody (5L981) | Anti-EFHD1 Antibody (5L981) cost | order Anti-EFHD1 Antibody (5L981) | Anti-EFHD1 Antibody (5L981) molecular weight