购物车
  • TargetMol
    您的购物车当前为空

Anti-EAR1 Polyclonal Antibody

Synonyms: RNase 3-1, Ribonuclease 3-1, Eosinophil secondary granule ribonuclease 1, eosinophil cationic protein 1 precursor, Eosinophil cationic protein 1, ECP1_MOUSE, ECP 1, EAR-1, Ear1, Cytotoxic ribonuclease
货号 TMAB-00582 一键复制产品信息
Rating icon 还可以
202603开学季活动

Anti-EAR1 Polyclonal Antibody 是一种 Rabbit 抗体,靶向 EAR1。Anti-EAR1 Polyclonal Antibody 可用于 FCM,IF,IHC-Fr,IHC-P,WB。

Anti-EAR1 Polyclonal Antibody

一键复制产品信息
Rating icon 还可以
202603开学季活动
货号 TMAB-00582

别名 RNase 3-1, Ribonuclease 3-1, Eosinophil secondary granule ribonuclease 1, eosinophil cationic protein 1 precursor, Eosinophil cationic protein 1, ECP1_MOUSE, ECP 1, EAR-1, Ear1, Cytotoxic ribonuclease

Anti-EAR1 Polyclonal Antibody 是一种 Rabbit 抗体,靶向 EAR1。Anti-EAR1 Polyclonal Antibody 可用于 FCM,IF,IHC-Fr,IHC-P,WB。

Anti-EAR1 Polyclonal Antibody
规格价格库存数量
50 μL
¥ 1,170
5日内发货
100 μL
¥ 1,960
5日内发货
200 μL
¥ 2,790
5日内发货
库存状态实时更新,以官网显示为准,现货产品可直接加购物车下单
大包装 & 定制
加入购物车

TargetMol的所有产品仅用作科学研究或药证申报,不能被用于人体,我们不向个人提供产品和服务。请您遵守承诺用途,不得违反法律法规规定用于任何其他用途。

实验操作小课堂
常见问题解答
查看更多

资源下载:产品操作手册

产品介绍


生物活性
产品描述
Anti-EAR1 Polyclonal Antibody is a Rabbit antibody targeting EAR1. Anti-EAR1 Polyclonal Antibody can be used in FCM,IF,IHC-Fr,IHC-P,WB.
别名
RNase 3-1, Ribonuclease 3-1, Eosinophil secondary granule ribonuclease 1, eosinophil cationic protein 1 precursor, Eosinophil cationic protein 1, ECP1_MOUSE, ECP 1, EAR-1, Ear1, Cytotoxic ribonuclease
Ig Type
IgG
反应种属
Human,Mouse,Rat
验证活性
1. Blank control (Black line): Molt4 (Black).
Primary Antibody (green line): Rabbit Anti-EAR1 antibody (TMAB-00582)
Dilution: 1 μg/10^6 cells;
Isotype Control Antibody (orange line): Rabbit IgG.
Secondary Antibody (white blue line): Goat anti-rabbit IgG-AF647
Dilution: 1 μg/test.
Protocol
The cells were fixed with 4% PFA (10 min at room temperature) and then permeabilized with 90% ice-cold methanol for 20 min at room temperature. The cells were then incubated in 5% BSA to block non-specific protein-protein interactions for 30 min at room temperature. Cells stained with Primary Antibody for 30 min at room temperature. The secondary antibody used for 40 min at room temperature.
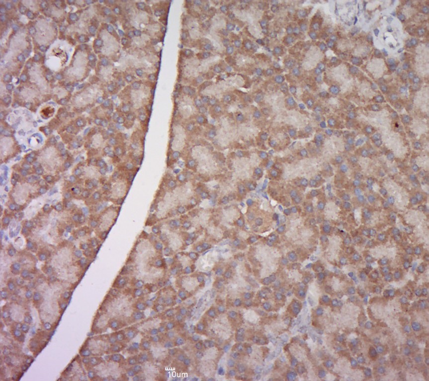
2. Paraformaldehyde-fixed, paraffin embedded (rat pancreas tissue); Antigen retrieval by boiling in sodium citrate buffer (pH6.0) for 15 min; Block endogenous peroxidase by 3% hydrogen peroxide for 20 min; Blocking buffer (normal goat serum) at 37°C for 30 min; Antibody incubation with (EAR1) Polyclonal Antibody, Unconjugated (TMAB-00582) at 1:400 overnight at 4°C, followed by a conjugated secondary for 20 min and DAB staining.
3. Sample:
Lane 1: Mouse Spleen tissue lysates
Lane 2: Mouse Bone tissue lysates
Primary: Anti-EAR1 (TMAB-00582) at 1/200 dilution
Secondary: IRDye800CW Goat Anti-Rabbit IgG at 1/20000 dilution
Predicted band size: 14 kDa
Observed band size: 17 kDa
verifiedActivityverifiedActivityverifiedActivity
应用FCMIFIHC-FrIHC-PWB
推荐剂量
WB: 1:500-2000; IHC-P: 1:100-500; IHC-Fr: 1:100-500; IF: 1:100-500; FCM: 1ug/Test
抗体种类
Polyclonal
宿主来源Rabbit
亚细胞定位Secreted. Note=Located in the matrix of eosinophil large specific granule, which are released following activation by an immune stimulus.
构建方式Polyclonal Antibody
纯化方式Protein A purified
性状Liquid
缓冲液0.01M TBS (pH7.4) with 1% BSA, 0.02% Proclin300 and 50% Glycerol.
浓度1 mg/mL
研究背景Eosinophil derived neurotoxin (EDN) is a protein belonging to the ribonuclease (RNase) A superfamily. It has recently been found to have antiviral activity against respiratory syncytial virus and human immunodeficiency virus in vitro.
抗原信息
免疫原
KLH conjugated synthetic peptide: mouse Eosinophil cationic protein 1
抗原种属
Mouse
基因名称
Ear1
基因ID
蛋白名称
Eosinophil cationic protein 1
研究领域
Orphan Nuclear Receptors,Thyroid axis,Hormones
功能
Cytotoxin and helminthotoxin with ribonuclease activity. Possesses a wide variety of biological activities.
化学信息
分子量Theoretical: 14 kDa. Actual: 17 kDa.
储存&溶解度
储存方式Store at -20°C or -80°C for 12 months. Avoid repeated freeze-thaw cycles.
运输方式Shipping with blue ice.

计算器

  • 稀释 计算器
  • 配液 计算器
Related Tags: buy Anti-EAR1 Polyclonal Antibody | purchase Anti-EAR1 Polyclonal Antibody | Anti-EAR1 Polyclonal Antibody cost | order Anti-EAR1 Polyclonal Antibody | Anti-EAR1 Polyclonal Antibody molecular weight