购物车
  • 全部删除
  • TargetMol
    您的购物车当前为空

Anti-E-Cadherin/Cadherin-1 Antibody (7M374)

Rating icon 还可以
产品编号 TMAC-01220
别名 UVO, LCAM, E-Cadherin, E-cad, ECAD, CDHE, CDH1, CD324, cadherin 1, type 1, E-cadherin (epithelial), Arc-1

Anti-E-Cadherin/Cadherin-1 Antibody (7M374) 是一种 Mouse 抗体,靶向 E-Cadherin/Cadherin-1。Anti-E-Cadherin/Cadherin-1 Antibody (7M374) 可用于 FCM,ICC,IHC,WB。

Anti-E-Cadherin/Cadherin-1 Antibody (7M374)

Anti-E-Cadherin/Cadherin-1 Antibody (7M374)

一键复制产品信息
Rating icon 还可以
产品编号 TMAC-01220 别名 UVO, LCAM, E-Cadherin, E-cad, ECAD, CDHE, CDH1, CD324, cadherin 1, type 1, E-cadherin (epithelial), Arc-1

Anti-E-Cadherin/Cadherin-1 Antibody (7M374) 是一种 Mouse 抗体,靶向 E-Cadherin/Cadherin-1。Anti-E-Cadherin/Cadherin-1 Antibody (7M374) 可用于 FCM,ICC,IHC,WB。

规格价格库存数量
50 μL
¥ 1,980
5日内发货
100 μL
¥ 2,995
5日内发货
大包装 & 定制
加入购物车
TargetMol 的所有产品仅用作科学研究或药证申报,不能被用于人体,我们不向个人提供产品和服务。请您遵守承诺用途,不得违反法律法规规定用于任何其他用途。
实验操作小课堂
常见问题解答
查看更多
联系我们获取更多批次信息
资源下载

产品介绍

生物活性
产品描述
Anti-E-Cadherin/Cadherin-1 Antibody (7M374) is a Mouse antibody targeting E-Cadherin/Cadherin-1. Anti-E-Cadherin/Cadherin-1 Antibody (7M374) can be used in FCM,ICC,IHC,WB.
别名UVO, LCAM, E-Cadherin, E-cad, ECAD, CDHE, CDH1, CD324, cadherin 1, type 1, E-cadherin (epithelial), Arc-1
克隆号
7M374
交叉反应
Human,Mouse
验证活性
1. Western blot analysis of E-cadherin on different cell lysates using anti- E-cadherin antibody at 1/1000 dilution. Positive control: Lane 1: A431, Lane 2: SW480, Lane 3: MCF-7, Lane 4: Hela.
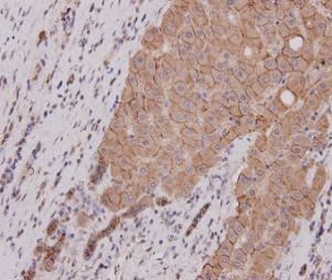
2. Immunohistochemical analysis of paraffin-embedded human liver carcinoma tissue using E-Cadherin antibody. Counter stained with hematoxylin.
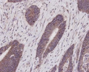
3. Immunohistochemical analysis of paraffin-embedded human colon carcinoma tissue using E-Cadherin antibody. Counter stained with hematoxylin.
4. ICC staining E-Cadherin in A431 cells (red). Cells were fixed in paraformaldehyde, permeabilised with 0.25% Triton X100/PBS.
5. Flow cytometric analysis of HeLa cells with E-Cadherin antibody at 1/50 dilution (blue) compared with an unlabelled control (cells without incubation with primary antibody; red). Goat anti mouse IgG (FITC) was used as the secondary antibody.
verifiedActivityverifiedActivityverifiedActivityverifiedActivityverifiedActivity
应用FCMICCIHCWB
推荐剂量
WB: 1:500-1000; IHC: 1:200; ICC: 1:200; FCM: 1:50-100
抗体种类
Monoclonal
宿主来源Mouse
构建方式Hybridoma Monoclonal Antibody
纯化方式ProA affinity purified
性状Liquid
缓冲液1*TBS (pH7.4), 1%BSA, 40%Glycerol. Preservative: 0.05% Sodium Azide.
研究背景E-cadherin (epithelial) is the most well-studied member of the cadherin family. It consists of 5 cadherin repeats (EC1 ~ EC5) in the extracellular domain, one transmembrane domain, and an intracellular domain that binds p120-catenin and beta-catenin. The intracellular domain contains a highly-phosphorylated region vital to beta-catenin binding and, therefore, to E-cadherin function. Loss of E-cadherin function or expression has been implicated in cancer progression and metastasis. E-cadherin downregulation decreases the strength of cellular adhesion within a tissue, resulting in an increase in cellular motility. This in turn may allow cancer cells to cross the basement membrane and invade surrounding tissues. E-cadherin is also used by pathologists to diagnose different kinds of breast cancer.
偶联与修饰
偶联
Unconjugated
抗原信息
免疫原
Recombinant Protein
Uniprot ID
化学信息
分子量Theoretical: 130 kDa.
存储&运输
储存方式Store at -20°C or -80°C for 12 months. Avoid repeated freeze-thaw cycles.
运输方式Shipping with blue ice.

计算器

  • 稀释 计算器

关键词

评论列表

4个月前
5.0
Rating icon 很棒

评论内容

Related Tags: buy Anti-E-Cadherin/Cadherin-1 Antibody (7M374) | purchase Anti-E-Cadherin/Cadherin-1 Antibody (7M374) | Anti-E-Cadherin/Cadherin-1 Antibody (7M374) cost | order Anti-E-Cadherin/Cadherin-1 Antibody (7M374) | Anti-E-Cadherin/Cadherin-1 Antibody (7M374) molecular weight