购物车
  • 全部删除
  • TargetMol
    您的购物车当前为空

Anti-DPP4/CD26 Polyclonal Antibody

Rating icon 还可以
产品编号 TMAB-00567
别名 dipeptidylpeptidase 4

Anti-DPP4/CD26 Polyclonal Antibody 是一种 Rabbit 抗体,靶向 DPP4/CD26。Anti-DPP4/CD26 Polyclonal Antibody 可用于 FCM,IF,IHC-Fr,IHC-P。

Anti-DPP4/CD26 Polyclonal Antibody

Anti-DPP4/CD26 Polyclonal Antibody

一键复制产品信息
Rating icon 还可以
产品编号 TMAB-00567 别名 dipeptidylpeptidase 4

Anti-DPP4/CD26 Polyclonal Antibody 是一种 Rabbit 抗体,靶向 DPP4/CD26。Anti-DPP4/CD26 Polyclonal Antibody 可用于 FCM,IF,IHC-Fr,IHC-P。

规格价格库存数量
50 μL
¥ 1,175
5日内发货
100 μL
¥ 1,970
5日内发货
200 μL
¥ 2,795
5日内发货
大包装 & 定制
加入购物车
TargetMol 的所有产品仅用作科学研究或药证申报,不能被用于人体,我们不向个人提供产品和服务。请您遵守承诺用途,不得违反法律法规规定用于任何其他用途。
实验操作小课堂
常见问题解答
查看更多
联系我们获取更多批次信息
资源下载

产品介绍

生物活性
产品描述
Anti-DPP4/CD26 Polyclonal Antibody is a Rabbit antibody targeting DPP4/CD26. Anti-DPP4/CD26 Polyclonal Antibody can be used in FCM,IF,IHC-Fr,IHC-P.
别名dipeptidylpeptidase 4
Ig Type
IgG
交叉反应
Human,Rat (predicted:Mouse,Pig,Cow,Horse,Rabbit)
验证活性
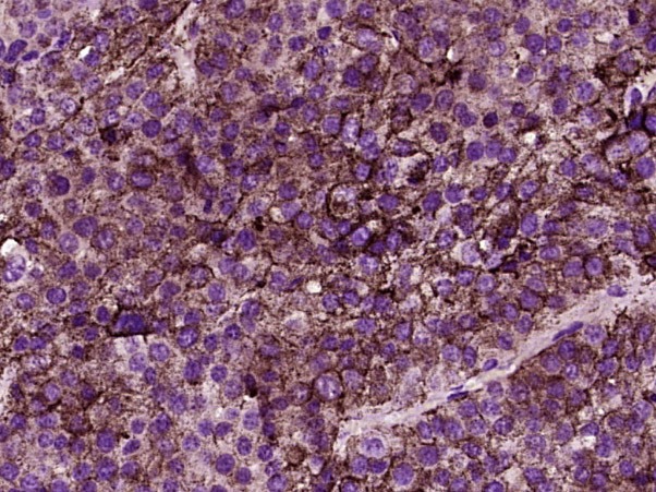
1. Paraformaldehyde-fixed, paraffin embedded (Human melanoma); Antigen retrieval by boiling in sodium citrate buffer (pH6.0) for 15 min; Block endogenous peroxidase by 3% hydrogen peroxide for 20 min; Blocking buffer (normal goat serum) at 37°C for 30 min; Antibody incubation with (CD26) Polyclonal Antibody, Unconjugated (TMAB-00567) at 1:400 overnight at 4°C, followed by operating according to SP Kit (Rabbit) instructionsand DAB staining.
2. Blank control (blue): Raji (fixed with 2% paraformaldehyde (10 min)). Primary Antibody: Rabbit Anti-CD26 antibody (TMAB-00567), Dilution: 3 μg in 100 μL 1X PBS containing 0.5% BSA; Isotype Control Antibody: Rabbit Igg (orange),used under the same conditions); Secondary Antibody: Goat anti-rabbit IgG-Pe (white blue), Dilution: 1:200 in 1 X PBS containing 0.5% BSA.
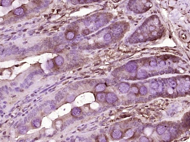
3. Paraformaldehyde-fixed, paraffin embedded (rat intestine tissue); Antigen retrieval by boiling in sodium citrate buffer (pH6.0) for 15 min; Block endogenous peroxidase by 3% hydrogen peroxide for 20 min; Blocking buffer (normal goat serum) at 37°C for 30 min; Antibody incubation with (CD26) Polyclonal Antibody, Unconjugated (TMAB-00567) at 1:400 overnight at 4°C, followed by operating according to SP Kit (Rabbit) instructionsand DAB staining.
verifiedActivityverifiedActivityverifiedActivity
应用FCMIFIHC-FrIHC-P
推荐剂量
IHC-P: 1:100-500; IHC-Fr: 1:100-500; IF: 1:100-500; FCM: 3μg/Test
抗体种类
Polyclonal
宿主来源Rabbit
亚细胞定位Cell membrane. Apical cell membrane. Cell projection > invadopodium membrane. Cell projection > lamellipodium membrane. Cell junction. Membrane raft. Translocated to the apical membrane through the concerted action of N- and O-Glycans and its association with lipid microdomains containing cholesterol and sphingolipids. Redistributed to membrane rafts in T-cell in a interleukin-12-dependent activation. Its interaction with CAV1 is necessary for its translocation to membrane rafts. Colocalized with PTPRC in membrane rafts. Colocalized with FAP in invadopodia and lamellipodia of migratory activated endothelial cells in collagenous matrix. Colocalized with FAP on endothelial cells of capillary-like microvessels but not large vessels within invasive breast ductal carcinoma. Colocalized with ADA at the cell junction in lymphocyte-epithelial cell adhesion. Colocalized with IGF2R in internalized cytoplasmic vesicles adjacent to the cell surface and Secreted. Detected in the serum and the seminal fluid.
组织特异性Expressed specifically in lymphatic vessels but not in blood vessels in the skin, small intestine, esophagus, ovary, breast and prostate glands. Not detected in lymphatic vessels in the lung, kidney, uterus, liver and stomach (at protein level). Expressed
构建方式Polyclonal Antibody
纯化方式Protein A purified
性状Liquid
缓冲液0.01M TBS (pH7.4) with 1% BSA, 0.02% Proclin300 and 50% Glycerol.
浓度1 mg/mL
研究背景The DPP4 gene encodes dipeptidyl peptidase 4, which is identical to adenosine deaminase complexing protein-2, and to the T-cell activation antigen CD26. It is an intrinsic type II transmembrane glycoprotein and a serine exopeptidase that cleaves X-proline dipeptides from the N-terminus of polypeptides. Dipeptidyl peptidase 4 is highly involved in glucose and insulin metabolism, as well as in immune regulation. This protein was shown to be a functional receptor for Middle East respiratory syndrome coronavirus (MERS-CoV), and protein modeling suggests that it may play a similar role with SARS-CoV-2, the virus responsible for COVID-19. [provided by RefSeq, Apr 2020]
抗原信息
免疫原
KLH conjugated synthetic peptide: human CD26
抗原种属
Human
基因名称
DPP4
基因ID
蛋白名称
Dipeptidyl peptidase 4
Uniprot ID
研究领域
Response to hypoxia,DPPs,CD,CD,Adhesion,Non-lineage,HIV-related,Hypoxia,SARS Coronavirus,B Lymphocytic Lineage,T Lymphocytic Lineage
功能
Cell surface glycoprotein receptor involved in the costimulatory signal essential for T-cell receptor (TCR)-mediated T-cell activation. Acts as a positive regulator of T-cell coactivation, by binding at least ADA, CAV1, IGF2R, and PTPRC. Its binding to CAV1 and CARD11 induces T-cell proliferation and NF-kappa-B activation in a T-cell receptor/CD3-dependent manner. Its interaction with ADA also regulates lymphocyte-epithelial cell adhesion. In association with FAP is involved in the pericellular proteolysis of the extracellular matrix (ECM), the migration and invasion of endothelial cells into the ECM. May be involved in the promotion of lymphatic endothelial cells adhesion, migration and tube formation. When overexpressed, enhanced cell proliferation, a process inhibited by GPC3. Acts also as a serine exopeptidase with a dipeptidyl peptidase activity that regulates various physiological processes by cleaving peptides in the circulation, including many chemokines, mitogenic growth factors, neuropeptides and peptide hormones. Removes N-terminal dipeptides sequentially from polypeptides having unsubstituted N-termini provided that the penultimate residue is proline.
化学信息
分子量Theoretical: 84 kDa. Actual: 110 kDa.
存储&运输
储存方式Store at -20°C or -80°C for 12 months. Avoid repeated freeze-thaw cycles.
运输方式Shipping with blue ice.

计算器

  • 稀释 计算器

评论列表

4个月前
5.0
Rating icon 很棒

评论内容

Related Tags: buy Anti-DPP4/CD26 Polyclonal Antibody | purchase Anti-DPP4/CD26 Polyclonal Antibody | Anti-DPP4/CD26 Polyclonal Antibody cost | order Anti-DPP4/CD26 Polyclonal Antibody | Anti-DPP4/CD26 Polyclonal Antibody molecular weight