购物车
  • TargetMol
    您的购物车当前为空

Anti-Dopamine beta-Hydroxylase Polyclonal Antibody

Synonyms: dopamine β-hydroxylase (dopamine β-monooxygenase), dopamine β-hydroxylase, dopamine beta-hydroxylase (dopamine beta-monooxygenase), DBM
货号 TMAB-00562 一键复制产品信息
Rating icon 还可以

Anti-Dopamine beta-Hydroxylase Polyclonal Antibody 是一种 Rabbit 抗体,靶向 Dopamine beta-Hydroxylase。Anti-Dopamine beta-Hydroxylase Polyclonal Antibody 可用于 FCM,IF,IHC-Fr,IHC-P,WB。

Anti-Dopamine beta-Hydroxylase Polyclonal Antibody

一键复制产品信息
Rating icon 还可以
货号 TMAB-00562

别名 dopamine β-hydroxylase (dopamine β-monooxygenase), dopamine β-hydroxylase, dopamine beta-hydroxylase (dopamine beta-monooxygenase), DBM

Anti-Dopamine beta-Hydroxylase Polyclonal Antibody 是一种 Rabbit 抗体,靶向 Dopamine beta-Hydroxylase。Anti-Dopamine beta-Hydroxylase Polyclonal Antibody 可用于 FCM,IF,IHC-Fr,IHC-P,WB。

Anti-Dopamine beta-Hydroxylase Polyclonal Antibody
规格价格库存数量
50 μL
¥ 1,160
5日内发货
100 μL
¥ 1,965
5日内发货
200 μL
¥ 2,795
5日内发货
库存状态实时更新,以官网显示为准,现货产品可直接加购物车下单
大包装 & 定制
加入购物车

TargetMol的所有产品仅用作科学研究或药证申报,不能被用于人体,我们不向个人提供产品和服务。请您遵守承诺用途,不得违反法律法规规定用于任何其他用途。

实验操作小课堂
常见问题解答
查看更多

资源下载:产品操作手册

产品介绍


生物活性
产品描述
Anti-Dopamine beta-Hydroxylase Polyclonal Antibody is a Rabbit antibody targeting Dopamine beta-Hydroxylase. Anti-Dopamine beta-Hydroxylase Polyclonal Antibody can be used in FCM,IF,IHC-Fr,IHC-P,WB.
别名
dopamine β-hydroxylase (dopamine β-monooxygenase), dopamine β-hydroxylase, dopamine beta-hydroxylase (dopamine beta-monooxygenase), DBM
Ig Type
IgG
反应种属
Human,Rat (predicted:Mouse)
验证活性
1. Sample:
Jurkat (Human) Cell Lysate at 40 μg
Primary: Anti-Dopamine beta Hydroxylase (TMAB-00562) at 1/300 dilution
Secondary: IRDye800CW Goat Anti-Rabbit IgG at 1/20000 dilution
Predicted band size: 70 kDa
Observed band size: 70 kDa
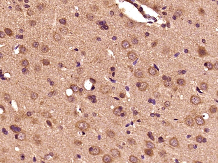
2. Paraformaldehyde-fixed, paraffin embedded (Rat brain); Antigen retrieval by boiling in sodium citrate buffer (pH6.0) for 15 min; Block endogenous peroxidase by 3% hydrogen peroxide for 20 min; Blocking buffer (normal goat serum) at 37°C for 30 min; Antibody incubation with (DOPO) Polyclonal Antibody, Unconjugated (TMAB-00562) at 1:400 overnight at 4°C, followed by operating according to SP Kit (Rabbit) instructionsand DAB staining.
3. Blank control (black line): SH-SY5Y.
Primary Antibody (green line): Rabbit Anti-Dopamine beta Hydroxylase antibody (TMAB-00562)
Dilution: 1 μg/Test;
Secondary Antibody (white blue line): Goat anti-rabbit IgG-AF488
Dilution: 0.5 μg/Test.
Isotype control (orange line): Normal Rabbit IgG
Protocol
The cells were fixed with 4% PFA (10 min at room temperature) and then permeabilized with 90% ice-cold methanol for 20 min at-20°C, The cells were then incubated in 5% BSA to block non-specific protein-protein interactions for 30 min at room temperature. Cells stained with Primary Antibody for 30 min at room temperature. The secondary antibody used for 40 min at room temperature.
verifiedActivityverifiedActivityverifiedActivity
应用FCMIFIHC-FrIHC-PWB
推荐剂量
WB: 1:500-2000; IHC-P: 1:100-500; IHC-Fr: 1:100-500; IF: 1:100-500; FCM: 1ug/Test
抗体种类
Polyclonal
宿主来源Rabbit
亚细胞定位Soluble dopamine beta-hydroxylase: Cytoplasmic vesicle, secretory vesicle lumen (By similarity). Cytoplasmic vesicle, secretory vesicle, chromaffin granule lumen (By similarity). Cytoplasmic vesicle, secretory vesicle membrane; Single-pass type II membrane protein (By similarity). Cytoplasmic vesicle, secretory vesicle, chromaffin granule membrane; Single-pass type II membrane protein (By similarity).
组织特异性Chromaffin granules of the adrenal medulla and synaptic vesicles of the sympathetic nervous system.
构建方式Polyclonal Antibody
纯化方式Protein A purified
性状Liquid
缓冲液0.01M TBS (pH7.4) with 1% BSA, 0.02% Proclin300 and 50% Glycerol.
浓度1 mg/mL
研究背景Dopamine-beta-Hydroxylase (DBH), Dopamine can be transformed into Noradrenalin. Conversion of dopamine to noradrenaline. [SUBUNIT] Homotetramer composed of two non-covalently bound disulfide-linked dimers. [SUBCELLULAR LOCATION] Soluble dopamine beta-hydroxylase: Cytoplasmic vesicle, secretory vesicle lumen. Cytoplasmic vesicle, secretory vesicle, chromaffin granule lumen. Cytoplasmic vesicle, secretory vesicle membrane; Single-pass type II membrane protein. Cytoplasmic vesicle, secretory vesicle, chromaffin granule membrane; Single-pass type II membrane protein (Potential). Belongs to the copper type II ascorbate-dependent monooxygenase family.
抗原信息
免疫原
KLH conjugated synthetic peptide: human DBH
抗原种属
Human
基因名称
DBH
基因ID
蛋白名称
Dopamine beta-hydroxylase
Uniprot ID
研究领域
Hormone biosynthesis,Hormone biosynthesis,Dopamine
功能
Conversion of dopamine to noradrenaline.
化学信息
分子量Theoretical: 70 kDa. Actual: 70 kDa.
储存&溶解度
储存方式Store at -20°C or -80°C for 12 months. Avoid repeated freeze-thaw cycles.
运输方式Shipping with blue ice.

计算器

  • 稀释 计算器
  • 配液 计算器
Related Tags: buy Anti-Dopamine beta-Hydroxylase Polyclonal Antibody | purchase Anti-Dopamine beta-Hydroxylase Polyclonal Antibody | Anti-Dopamine beta-Hydroxylase Polyclonal Antibody cost | order Anti-Dopamine beta-Hydroxylase Polyclonal Antibody | Anti-Dopamine beta-Hydroxylase Polyclonal Antibody molecular weight