购物车
  • TargetMol
    您的购物车当前为空

Anti-DLG4 Antibody (7K534)

Synonyms: Synapse-associated protein 90 (SAP-90, SAP90), PSD95, PSD 95, Postsynaptic density protein 95 (PSD-95), Disks large homolog 4
货号 TMAC-03450 一键复制产品信息
Rating icon 还可以
202603开学季活动

Anti-DLG4 Antibody (7K534) 是一种 Rabbit 抗体,靶向 DLG4。Anti-DLG4 Antibody (7K534) 可用于 FCM,ICC/IF,IHC,IP,WB。

Anti-DLG4 Antibody (7K534)

一键复制产品信息
Rating icon 还可以
202603开学季活动
货号 TMAC-03450

别名 Synapse-associated protein 90 (SAP-90, SAP90), PSD95, PSD 95, Postsynaptic density protein 95 (PSD-95), Disks large homolog 4

Anti-DLG4 Antibody (7K534) 是一种 Rabbit 抗体,靶向 DLG4。Anti-DLG4 Antibody (7K534) 可用于 FCM,ICC/IF,IHC,IP,WB。

Anti-DLG4 Antibody (7K534)
规格价格库存数量
50 μL
¥ 1,480
5日内发货
100 μL
¥ 2,495
5日内发货
库存状态实时更新,以官网显示为准,现货产品可直接加购物车下单
大包装 & 定制
加入购物车

TargetMol的所有产品仅用作科学研究或药证申报,不能被用于人体,我们不向个人提供产品和服务。请您遵守承诺用途,不得违反法律法规规定用于任何其他用途。

实验操作小课堂
常见问题解答
查看更多

资源下载:产品操作手册

产品介绍


生物活性
产品描述
Anti-DLG4 Antibody (7K534) is a Rabbit antibody targeting DLG4. Anti-DLG4 Antibody (7K534) can be used in FCM,ICC/IF,IHC,IP,WB.
别名
Synapse-associated protein 90 (SAP-90, SAP90), PSD95, PSD 95, Postsynaptic density protein 95 (PSD-95), Disks large homolog 4
Ig Type
IgG
克隆号
7K534
反应种属
Human,Mouse,Rat
验证活性
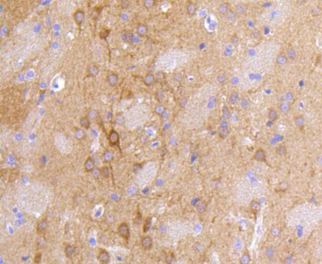
1. Immunohistochemical analysis of paraffin-embedded rat brain tissue using anti-PSD95 antibody. Counter stained with hematoxylin.
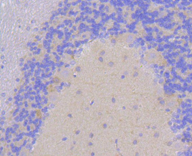
2. Immunohistochemical analysis of paraffin-embedded rat cerebellum tissue using anti-PSD95 antibody. Counter stained with hematoxylin.
3. Immunohistochemical analysis of paraffin-embedded mouse cerebullum tissue using anti-PSD95 antibody. Counter stained with hematoxylin.
4. Flow cytometric analysis of SH-SY-5Y cells with PSD95 antibody at 1/50 dilution (blue) compared with an unlabelled control (cells without incubation with primary antibody; red). Alexa Fluor 488-conjugated goat anti rabbit IgG was used as the secondary antibody.
5. Western blot analysis of PSD95 expression in Mouse brain tissue lysate.
6. Immunofluorescent analysis of U87-MG cells, using PSD95 Antibody .
verifiedActivityverifiedActivityverifiedActivityverifiedActivityverifiedActivityverifiedActivity
应用FCMICC/IFIHCIPWB
推荐剂量
WB: 1:1000-2000 IHC: 1:100-200; ICC/IF: 1:50-200; IP: 1:20-50; FCM: 1:20-100
抗体种类
Monoclonal
宿主来源Rabbit
构建方式Recombinant Antibody
纯化方式Affinity-chromatography
性状Liquid
缓冲液Rabbit IgG in 10mM phosphate buffered saline , pH 7.4, 150mM sodium chloride, 0.05% BSA, 0.02% sodium azide and 50% glycerol.
研究背景Interacts with the cytoplasmic tail of NMDA receptor subunits and shaker-type potassium channels. Required for synaptic plasticity associated with NMDA receptor signaling. Overexpression or depletion of DLG4 changes the ratio of excitatory to inhibitory synapses in hippocampal neurons.
偶联与修饰
偶联
Unconjugated
抗原信息
免疫原
A synthesized peptide: human Disks large homolog 4
抗原种属
Human
Uniprot ID
化学信息
分子量Theoretical: 100 kDa.
储存&溶解度
储存方式Store at 2°C-8°C for 1 month. Store at -20°C or -80°C for 12 months. Avoid repeated freeze-thaw cycles.
运输方式Shipping with blue ice.

计算器

  • 稀释 计算器
  • 配液 计算器
Related Tags: buy Anti-DLG4 Antibody (7K534) | purchase Anti-DLG4 Antibody (7K534) | Anti-DLG4 Antibody (7K534) cost | order Anti-DLG4 Antibody (7K534) | Anti-DLG4 Antibody (7K534) molecular weight