购物车
  • TargetMol
    您的购物车当前为空

Anti-DDIT3 Antibody (2G599)

Synonyms: Growth arrest and DNA damage-inducible protein GADD153, GADD153, DNA damage-inducible transcript 3 protein, DDIT-3, DDIT3, CHOP-10, CHOP10, CHOP, CCAAT/enhancer-binding protein homologous protein, C/EBP-homologous protein 10, C/EBP-homologous protein, C/EBP zeta
货号 TMAC-01128 一键复制产品信息
Rating icon 还可以

Anti-DDIT3 Antibody (2G599) 是一种 Rabbit 抗体,靶向 DDIT3。Anti-DDIT3 Antibody (2G599) 可用于 FCM,IHC,WB。

Anti-DDIT3 Antibody (2G599)

一键复制产品信息
Rating icon 还可以
货号 TMAC-01128

别名 Growth arrest and DNA damage-inducible protein GADD153, GADD153, DNA damage-inducible transcript 3 protein, DDIT-3, DDIT3, CHOP-10, CHOP10, CHOP, CCAAT/enhancer-binding protein homologous protein, C/EBP-homologous protein 10, C/EBP-homologous protein, C/EBP zeta

Anti-DDIT3 Antibody (2G599) 是一种 Rabbit 抗体,靶向 DDIT3。Anti-DDIT3 Antibody (2G599) 可用于 FCM,IHC,WB。

Anti-DDIT3 Antibody (2G599)
规格价格库存数量
50 μL
¥ 1,495
5日内发货
100 μL
¥ 2,495
5日内发货
库存状态实时更新,以官网显示为准,现货产品可直接加购物车下单
大包装 & 定制
加入购物车
TargetMol的所有产品仅用作科学研究或药证申报,不能被用于人体,我们不向个人提供产品和服务。请您遵守承诺用途,不得违反法律法规规定用于任何其他用途。
实验操作小课堂
常见问题解答
查看更多

资源下载:产品操作手册

产品介绍


生物活性
产品描述
Anti-DDIT3 Antibody (2G599) is a Rabbit antibody targeting DDIT3. Anti-DDIT3 Antibody (2G599) can be used in FCM,IHC,WB.
别名Growth arrest and DNA damage-inducible protein GADD153, GADD153, DNA damage-inducible transcript 3 protein, DDIT-3, DDIT3, CHOP-10, CHOP10, CHOP, CCAAT/enhancer-binding protein homologous protein, C/EBP-homologous protein 10, C/EBP-homologous protein, C/EBP zeta
Ig Type
IgG
克隆号
2G599
反应种属
Human,Mouse,Rat
验证活性
1. Western blot analysis of DDIT3 on PC-12 cells lysates using anti-DDIT3 antibody at 1/1,000 dilution.
2. Immunohistochemical analysis of paraffin-embedded human breast carcinoma tissue using anti-DDIT3 antibody. Counter stained with hematoxylin.
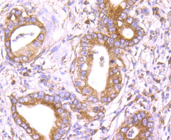
3. Immunohistochemical analysis of paraffin-embedded human gastric carcinoma tissue using anti-DDIT3 antibody. Counter stained with hematoxylin.
4. Immunohistochemical analysis of paraffin-embedded human pancreas tissue using anti-DDIT3 antibody. Counter stained with hematoxylin.
5. Immunohistochemical analysis of paraffin-embedded mouse pancreas tissue using anti-DDIT3 antibody. Counter stained with hematoxylin.
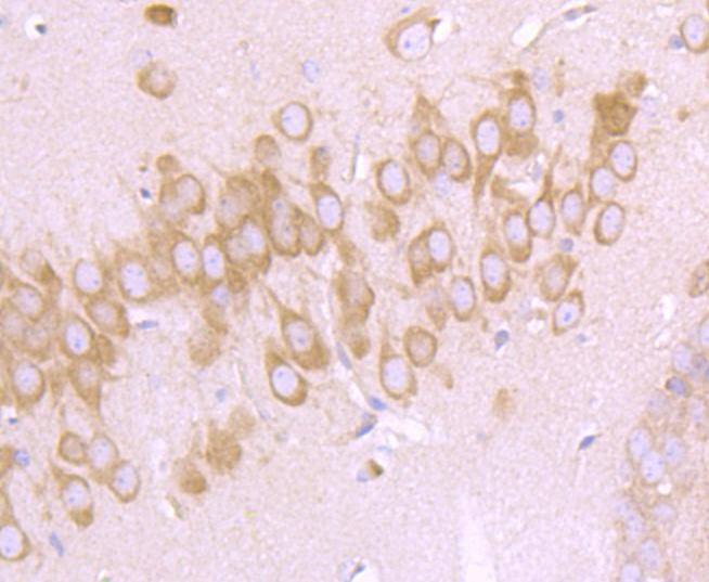
6. Immunohistochemical analysis of paraffin-embedded mouse brain tissue using anti-DDIT3 antibody. Counter stained with hematoxylin.
7. Flow cytometric analysis of Hela cells with DDIT3 antibody at 1/50 dilution (red) compared with an unlabelled control (cells without incubation with primary antibody; black). Alexa Fluor 488-conjugated goat anti rabbit IgG was used as the secondary antibody.
verifiedActivityverifiedActivityverifiedActivityverifiedActivityverifiedActivityverifiedActivityverifiedActivity
应用FCMIHCWB
推荐剂量
WB: 1:1000; IHC: 1:50-200; FCM: 1:50-100
抗体种类
Monoclonal
宿主来源Rabbit
构建方式Recombinant Antibody
纯化方式ProA affinity purified
性状Liquid
缓冲液1*TBS (pH7.4), 1%BSA, 40%Glycerol. Preservative: 0.05% Sodium Azide.
研究背景GADD 153 has been described as a growth arrest and DNA damage-inducible gene that encodes a C/EBP-related nuclear protein. This protein has also been designated C/EBP-homologous protein (CHOP-10). GADD 153 expression is induced by a variety of cellular stresses, inducing nutrient deprivation and metabolic perturbations. GADD 153 functions to block cells in G1 to S phase in cell cycle progression and acts by dimerizing with other C/EBP proteins to direct GADD 153 dimers away from "classical" C/EBP binding sites, recognizing instead unique "nonclassical" sites. Thus GADD 153 acts as a negative modulator of C/EBP-like proteins in certain terminally differentiated cells, similar to the regulatory function of Id on the activity of Myo D and Myo D-related proteins involved in the development of muscle cells.
偶联与修饰
偶联
Unconjugated
抗原信息
免疫原
Recombinant Protein
Uniprot ID
化学信息
分子量Theoretical: 25 kDa.
储存&溶解度
储存方式Store at -20°C or -80°C for 12 months. Avoid repeated freeze-thaw cycles.
运输方式Shipping with blue ice.

计算器

  • 稀释 计算器
  • 配液 计算器
Related Tags: buy Anti-DDIT3 Antibody (2G599) | purchase Anti-DDIT3 Antibody (2G599) | Anti-DDIT3 Antibody (2G599) cost | order Anti-DDIT3 Antibody (2G599) | Anti-DDIT3 Antibody (2G599) molecular weight