购物车
  • TargetMol
    您的购物车当前为空

Anti-DAP12 Antibody (2G400)

Synonyms: TYRO protein tyrosine kinase binding protein, TYOBP, PLOSL, Killer-activating receptor-associated protein, KAR-associated protein, KARAP, DNAX-activation protein 12, DAP12, DAP 12
货号 TMAC-01104 一键复制产品信息
Rating icon 还可以
202603开学季活动

Anti-DAP12 Antibody (2G400) 是一种 Rabbit 抗体,靶向 DAP12。Anti-DAP12 Antibody (2G400) 可用于 FCM,IHC,WB。

Anti-DAP12 Antibody (2G400)

一键复制产品信息
Rating icon 还可以
202603开学季活动
货号 TMAC-01104

别名 TYRO protein tyrosine kinase binding protein, TYOBP, PLOSL, Killer-activating receptor-associated protein, KAR-associated protein, KARAP, DNAX-activation protein 12, DAP12, DAP 12

Anti-DAP12 Antibody (2G400) 是一种 Rabbit 抗体,靶向 DAP12。Anti-DAP12 Antibody (2G400) 可用于 FCM,IHC,WB。

Anti-DAP12 Antibody (2G400)
规格价格库存数量
50 μL
¥ 1,490
5日内发货
100 μL
¥ 2,490
5日内发货
库存状态实时更新,以官网显示为准,现货产品可直接加购物车下单
大包装 & 定制
加入购物车

TargetMol的所有产品仅用作科学研究或药证申报,不能被用于人体,我们不向个人提供产品和服务。请您遵守承诺用途,不得违反法律法规规定用于任何其他用途。

实验操作小课堂
常见问题解答
查看更多

资源下载:产品操作手册

产品介绍


生物活性
产品描述
Anti-DAP12 Antibody (2G400) is a Rabbit antibody targeting DAP12. Anti-DAP12 Antibody (2G400) can be used in FCM,IHC,WB.
别名
TYRO protein tyrosine kinase binding protein, TYOBP, PLOSL, Killer-activating receptor-associated protein, KAR-associated protein, KARAP, DNAX-activation protein 12, DAP12, DAP 12
Ig Type
IgG
克隆号
2G400
反应种属
Human
验证活性
1. Western blot analysis of DAP12 on THP-1 cell using anti-DAP12 antibody at 1/500 dilution.
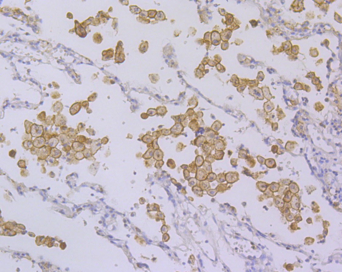
2. Immunohistochemical analysis of paraffin-embedded human lung cancer tissue using anti-DAP12 antibody. Counter stained with hematoxylin.
3. Flow cytometric analysis of K562 cells with DAP12 antibody at 1/100 dilution (purple) compared with an unlabelled control (cells without incubation with primary antibody; yellow). Alexa Fluor 488-conjugated goat anti-rabbit IgG was used as the secondary antibody.
verifiedActivityverifiedActivityverifiedActivity
应用FCMIHCWB
推荐剂量
WB: 1:500-1000; IHC: 1:50-200; FCM: 1:50-100
抗体种类
Monoclonal
宿主来源Rabbit
构建方式Recombinant Antibody
纯化方式ProA affinity purified
性状Liquid
缓冲液1*TBS (pH7.4), 1%BSA, 40%Glycerol. Preservative: 0.05% Sodium Azide.
研究背景Natural killer (NK) cells are regulated by stimulatory and inhibitory signals from a variety of receptors. Three main receptor families are responsible for NK cells recognition of MHC I molecules, including Ly-49, CD94/NKG2 and KIR (killer-cell inhibitory receptor). DAP12 is a phosphoprotein that is involved in the activation of NK cells. This protein interacts with membrane glycoproteins of the KIR family, resulting in cellular activation. DAP12 also binds to CD94/NKG2C, an activating NK cell receptor belonging to the C-type lectin superfamily. Additional proteins that bind to DAP12 include Ly-49D and Ly-49H, which associate with DAP12 in the plasma membrane. Phosphorylated DAP12 binds to ZAP-70 and Syk, suggesting that the activation pathway may be similar to that of the T and B cell antigen receptors.
偶联与修饰
偶联
Unconjugated
抗原信息
免疫原
A synthesized peptide: within human DAP12 aa 60-100
抗原种属
Human
Uniprot ID
化学信息
分子量Theoretical: 12 kDa.
储存&溶解度
储存方式Store at -20°C or -80°C for 12 months. Avoid repeated freeze-thaw cycles.
运输方式Shipping with blue ice.

计算器

  • 稀释 计算器
  • 配液 计算器
Related Tags: buy Anti-DAP12 Antibody (2G400) | purchase Anti-DAP12 Antibody (2G400) | Anti-DAP12 Antibody (2G400) cost | order Anti-DAP12 Antibody (2G400) | Anti-DAP12 Antibody (2G400) molecular weight