购物车
  • 全部删除
  • TargetMol
    您的购物车当前为空

Anti-CYP17A1 Antibody (1U433)

Rating icon 还可以
产品编号 TMAC-01069
别名 Steroid 17-alpha-monooxygenase, Steroid 17-alpha-hydroxylase/17,20 lyase, S17AH, Cytochrome P450-C17 (Cytochrome P450c17), Cytochrome P450 17A1, CYPXVII, CYP17A1, CYP17, 20 lyase, 17-alpha-hydroxyprogesterone aldolase

Anti-CYP17A1 Antibody (1U433) 是一种 Rabbit 抗体,靶向 CYP17A1。Anti-CYP17A1 Antibody (1U433) 可用于 FCM,ICC,IF,IHC,WB。

Anti-CYP17A1 Antibody (1U433)

Anti-CYP17A1 Antibody (1U433)

一键复制产品信息
Rating icon 还可以
产品编号 TMAC-01069 别名 Steroid 17-alpha-monooxygenase, Steroid 17-alpha-hydroxylase/17,20 lyase, S17AH, Cytochrome P450-C17 (Cytochrome P450c17), Cytochrome P450 17A1, CYPXVII, CYP17A1, CYP17, 20 lyase, 17-alpha-hydroxyprogesterone aldolase

Anti-CYP17A1 Antibody (1U433) 是一种 Rabbit 抗体,靶向 CYP17A1。Anti-CYP17A1 Antibody (1U433) 可用于 FCM,ICC,IF,IHC,WB。

规格价格库存数量
50 μL
¥ 1,495
5日内发货
100 μL
¥ 2,495
5日内发货
大包装 & 定制
加入购物车
TargetMol 的所有产品仅用作科学研究或药证申报,不能被用于人体,我们不向个人提供产品和服务。请您遵守承诺用途,不得违反法律法规规定用于任何其他用途。
实验操作小课堂
常见问题解答
查看更多
联系我们获取更多批次信息
资源下载

产品介绍

生物活性
产品描述
Anti-CYP17A1 Antibody (1U433) is a Rabbit antibody targeting CYP17A1. Anti-CYP17A1 Antibody (1U433) can be used in FCM,ICC,IF,IHC,WB.
别名Steroid 17-alpha-monooxygenase, Steroid 17-alpha-hydroxylase/17,20 lyase, S17AH, Cytochrome P450-C17 (Cytochrome P450c17), Cytochrome P450 17A1, CYPXVII, CYP17A1, CYP17, 20 lyase, 17-alpha-hydroxyprogesterone aldolase
Ig Type
IgG
克隆号
1U433
交叉反应
Human,Mouse,Rat
验证活性
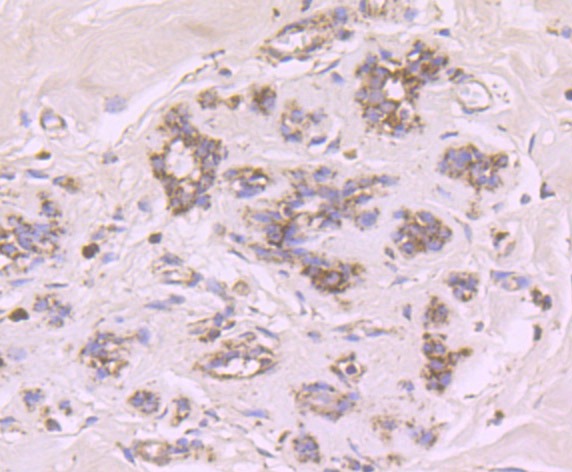
1. Immunohistochemical analysis of paraffin-embedded human breast tissue using anti-Cytochrome P450 17A1 antibody. Counter stained with hematoxylin.
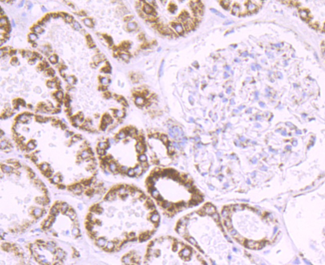
2. Immunohistochemical analysis of paraffin-embedded human kidney tissue using anti-Cytochrome P450 17A1 antibody. Counter stained with hematoxylin.
3. Immunohistochemical analysis of paraffin-embedded mouse kidney tissue using anti-Cytochrome P450 17A1 antibody. Counter stained with hematoxylin.
4. ICC staining Cytochrome P450 17A1 in Hela cells (green). The nuclear counter stain is DAPI (blue). Cells were fixed in paraformaldehyde, permeabilised with 0.25% Triton X100/PBS.
5. ICC staining Cytochrome P450 17A1 in HepG2 cells (green). The nuclear counter stain is DAPI (blue). Cells were fixed in paraformaldehyde, permeabilised with 0.25% Triton X100/PBS.
6. ICC staining Cytochrome P450 17A1 in SH-SY-5Y cells (green). The nuclear counter stain is DAPI (blue). Cells were fixed in paraformaldehyde, permeabilised with 0.25% Triton X100/PBS.
7. Flow cytometric analysis of SH-SY-5Y cells with Cytochrome P450 17A1 antibody at 1/100 dilution (red) compared with an unlabelled control (cells without incubation with primary antibody; black). Alexa Fluor 488-conjugated goat anti-rabbit IgG was used as the secondary antibody.
verifiedActivityverifiedActivityverifiedActivityverifiedActivityverifiedActivityverifiedActivityverifiedActivity
应用FCMICCIFIHCWB
推荐剂量
IHC: 1:50-200; ICC: 1:50-200; FCM: 1:50-100
抗体种类
Monoclonal
宿主来源Rabbit
构建方式Recombinant Antibody
纯化方式ProA affinity purified
性状Liquid
缓冲液1*TBS (pH7.4), 1%BSA, 40%Glycerol. Preservative: 0.05% Sodium Azide.
研究背景The cytochrome P450 proteins are monooxygenases that catalyze many reactions involved in drug metabolism and synthesis of cholesterol, steroids and other lipids. P450 enzymes are classified into subfamilies, such as CYP1A, CYP2A, CYP2C, CYP2D, CYP4A14, CYP7A, CYP7B, CYP8B, CYP11A, CYP17A1, CYPI9 and CYP27A, based on sequence similarities. CYP17A (17alpha-hydroxylase/17,20-lyase) is important for the conversion of pregnenolone and progesterone to dehydroepiandrosterone (DHEA) and androstenedione. In this process, it catalyzes both the 17-alpha-hydroxylation and the 17,20-lyase reaction. CYP17A1 is crucial during sexual development, both during fetal development and during puberty, and is intracellularly regulated by cAMP levels. Defects in the CYP17A1 gene, which encodes for the protein, may cause adrenal hyperplasia type V (AH-V) which is characterized by hypokalemia and hypertension. Male patients affected by AH-V do not undergo normal sexual differentiation and develop female external genitalia and do not undergo pubertal develoment.
偶联与修饰
偶联
Unconjugated
抗原信息
免疫原
Recombinant Protein
Uniprot ID
化学信息
分子量Theoretical: 57 kDa.
存储&运输
储存方式Store at -20°C or -80°C for 12 months. Avoid repeated freeze-thaw cycles.
运输方式Shipping with blue ice.

计算器

  • 稀释 计算器

关键词

评论列表

4个月前
5.0
Rating icon 很棒

评论内容

Related Tags: buy Anti-CYP17A1 Antibody (1U433) | purchase Anti-CYP17A1 Antibody (1U433) | Anti-CYP17A1 Antibody (1U433) cost | order Anti-CYP17A1 Antibody (1U433) | Anti-CYP17A1 Antibody (1U433) molecular weight