购物车
  • TargetMol
    您的购物车当前为空

Anti-Cyclin E2 Antibody (2N277)

Synonyms: G1/S specific cyclin E2, CyclinE2, CYCE2, CYCE 2, CYC E2, CCNE2 protein, CCNE2, CCNE 2, CCN E2
货号 TMAC-01049 一键复制产品信息
Rating icon 还可以
202603开学季活动

Anti-Cyclin E2 Antibody (2N277) 是一种 Rabbit 抗体,靶向 Cyclin E2。Anti-Cyclin E2 Antibody (2N277) 可用于 FCM,ICC/IF,IHC,WB。

Anti-Cyclin E2 Antibody (2N277)

一键复制产品信息
Rating icon 还可以
202603开学季活动
货号 TMAC-01049

别名 G1/S specific cyclin E2, CyclinE2, CYCE2, CYCE 2, CYC E2, CCNE2 protein, CCNE2, CCNE 2, CCN E2

Anti-Cyclin E2 Antibody (2N277) 是一种 Rabbit 抗体,靶向 Cyclin E2。Anti-Cyclin E2 Antibody (2N277) 可用于 FCM,ICC/IF,IHC,WB。

Anti-Cyclin E2 Antibody (2N277)
规格价格库存数量
50 μL
¥ 1,490
5日内发货
100 μL
¥ 2,485
5日内发货
库存状态实时更新,以官网显示为准,现货产品可直接加购物车下单
大包装 & 定制
加入购物车

TargetMol的所有产品仅用作科学研究或药证申报,不能被用于人体,我们不向个人提供产品和服务。请您遵守承诺用途,不得违反法律法规规定用于任何其他用途。

实验操作小课堂
常见问题解答
查看更多

资源下载:产品操作手册

产品介绍


生物活性
产品描述
Anti-Cyclin E2 Antibody (2N277) is a Rabbit antibody targeting Cyclin E2. Anti-Cyclin E2 Antibody (2N277) can be used in FCM,ICC/IF,IHC,WB.
别名
G1/S specific cyclin E2, CyclinE2, CYCE2, CYCE 2, CYC E2, CCNE2 protein, CCNE2, CCNE 2, CCN E2
Ig Type
IgG
克隆号
2N277
反应种属
Human,Mouse
验证活性
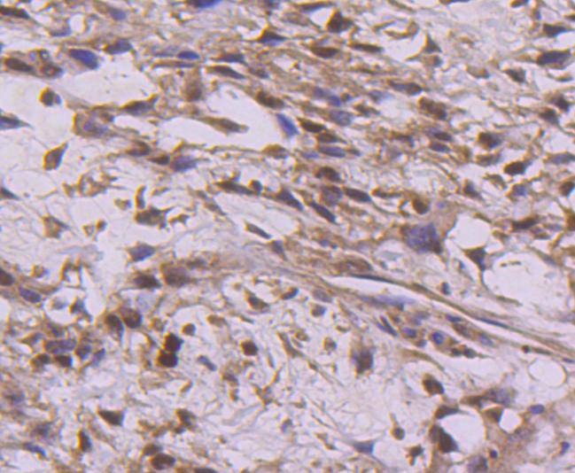
1. Immunohistochemical analysis of paraffin-embedded human breast carcinoma tissue using anti-Cyclin E2 antibody. Counter stained with hematoxylin.
2. ICC staining Cyclin E2 in NIH/3T3 cells (green). The nuclear counter stain is DAPI (blue). Cells were fixed in paraformaldehyde, permeabilised with 0.25% Triton X100/PBS.
3. ICC staining Cyclin E2 in Hela cells (green). The nuclear counter stain is DAPI (blue). Cells were fixed in paraformaldehyde, permeabilised with 0.25% Triton X100/PBS.
4. ICC staining Cyclin E2 in MCF-7 cells (green). The nuclear counter stain is DAPI (blue). Cells were fixed in paraformaldehyde, permeabilised with 0.25% Triton X100/PBS.
5. Flow cytometric analysis of Hela cells with Cyclin E2 antibody at 1/50 dilution (red) compared with an unlabelled control (cells without incubation with primary antibody; black). Alexa Fluor 488-conjugated goat anti rabbit IgG was used as the secondary antibody.
verifiedActivityverifiedActivityverifiedActivityverifiedActivityverifiedActivity
应用FCMICC/IFIHCWB
推荐剂量
WB: 1:1000-2000; IHC: 1:50-200; ICC/IF: 1:50-200; FCM: 1:50-100
抗体种类
Monoclonal
宿主来源Rabbit
构建方式Recombinant Antibody
纯化方式ProA affinity purified
性状Liquid
缓冲液1*TBS (pH7.4), 1%BSA, 40%Glycerol. Preservative: 0.05% Sodium Azide.
研究背景Cyclin E, along with the three cyclin D proteins and cyclin C, has been shown to represent a putative G1 cyclin on the basis of its cyclic pattern of mRNA expression, with maximal levels being detected near the G1/S boundary. cyclin E has been found to be associated with the transcription factor E2F in a temporally regulated manner. Cyclin E2 is a cyclin E-related protein that specifically interacts with Cdk2 and Cdk3 and with p27 and p21. Cyclin E2 expression peaks at the G1/S phase transition of the cell cycle, in parallel with cyclin E. Whereas cyclin E1 is expressed in most proliferating normal and tumor cells, cyclin E2 levels are low or undetectable in nontransformed cells, and are elevated in tumor-derived cells.
偶联与修饰
偶联
Unconjugated
抗原信息
免疫原
Recombinant Protein
Uniprot ID
化学信息
分子量Theoretical: 47 kDa.
储存&溶解度
储存方式Store at -20°C or -80°C for 12 months. Avoid repeated freeze-thaw cycles.
运输方式Shipping with blue ice.

计算器

  • 稀释 计算器
  • 配液 计算器
Related Tags: buy Anti-Cyclin E2 Antibody (2N277) | purchase Anti-Cyclin E2 Antibody (2N277) | Anti-Cyclin E2 Antibody (2N277) cost | order Anti-Cyclin E2 Antibody (2N277) | Anti-Cyclin E2 Antibody (2N277) molecular weight