购物车
  • TargetMol
    您的购物车当前为空

Anti-Cullin 4a Antibody (2X149)

Synonyms: MGC64071, MGC36573, Cullin4A, CUL4A_HUMAN, Cul4a protein, CUL-4A, Cul4a, CUL 4A, AW495282, 2810470J21Rik
货号 TMAC-01020Cas号 一键复制产品信息纯度:
Rating icon 还可以

Anti-Cullin 4a Antibody (2X149) 是一种 Rabbit 抗体,靶向 Cullin 4a。Anti-Cullin 4a Antibody (2X149) 可用于 FCM,ICC,IHC,WB。

Anti-Cullin 4a Antibody (2X149)

一键复制产品信息
Rating icon 还可以
货号 TMAC-01020

别名 MGC64071, MGC36573, Cullin4A, CUL4A_HUMAN, Cul4a protein, CUL-4A, Cul4a, CUL 4A, AW495282, 2810470J21Rik

Anti-Cullin 4a Antibody (2X149) 是一种 Rabbit 抗体,靶向 Cullin 4a。Anti-Cullin 4a Antibody (2X149) 可用于 FCM,ICC,IHC,WB。

Anti-Cullin 4a Antibody (2X149)
规格价格库存数量
50 μL
¥ 1,495
5日内发货
100 μL
¥ 2,485
5日内发货
库存状态实时更新,以官网显示为准,现货产品可直接加购物车下单
大包装 & 定制
加入购物车

TargetMol的所有产品仅用作科学研究或药证申报,不能被用于人体,我们不向个人提供产品和服务。请您遵守承诺用途,不得违反法律法规规定用于任何其他用途。

实验操作小课堂
常见问题解答
查看更多

资源下载:产品操作手册

产品介绍


生物活性
产品描述
Anti-Cullin 4a Antibody (2X149) is a Rabbit antibody targeting Cullin 4a. Anti-Cullin 4a Antibody (2X149) can be used in FCM,ICC,IHC,WB.
别名
MGC64071, MGC36573, Cullin4A, CUL4A_HUMAN, Cul4a protein, CUL-4A, Cul4a, CUL 4A, AW495282, 2810470J21Rik
Ig Type
IgG
克隆号
2X149
反应种属
Human
验证活性
1. Western blot analysis of Cullin 4a on Hela cell lysates using anti-Cullin 4a antibody at 1/500 dilution.
2. Immunohistochemical analysis of paraffin-embedded human liver cancer tissue using anti-Cullin 4a antibody. Counter stained with hematoxylin.
3. Immunohistochemical analysis of paraffin-embedded human cervix tissue using anti-Cullin 4a antibody. Counter stained with hematoxylin.
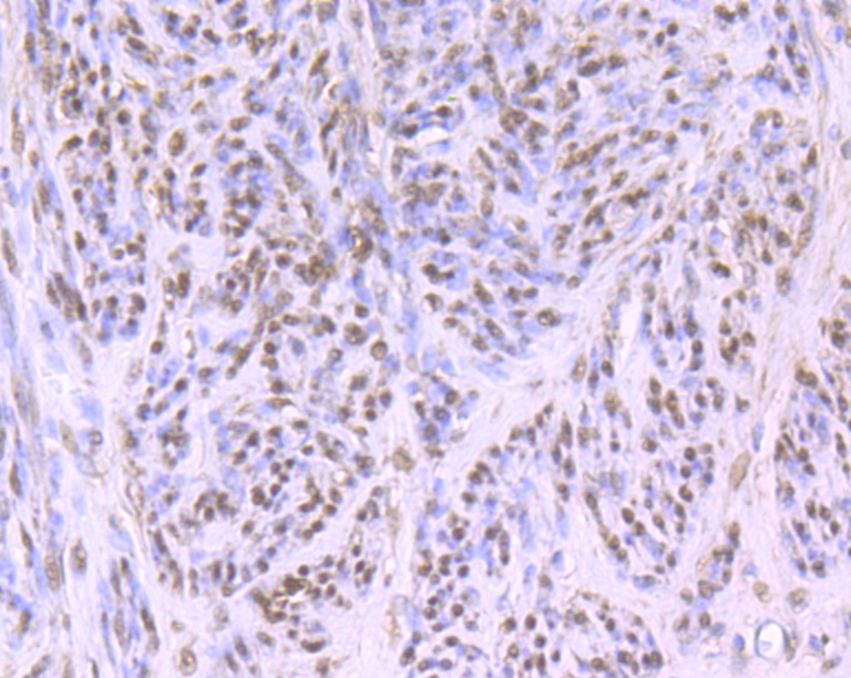
4. Immunohistochemical analysis of paraffin-embedded human colon cancer tissue using anti-Cullin 4a antibody. Counter stained with hematoxylin.
5. Immunohistochemical analysis of paraffin-embedded human breast cancer tissue using anti-Cullin 4a antibody. Counter stained with hematoxylin.
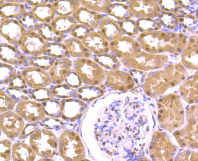
6. Immunohistochemical analysis of paraffin-embedded human kidney tissue using anti-Cullin 4a antibody. Counter stained with hematoxylin.
7. ICC staining Cullin 4a in A431 cells (green). The nuclear counter stain is DAPI (blue). Cells were fixed in paraformaldehyde, permeabilised with 0.25% Triton X100/PBS.
8. ICC staining Cullin 4a in HUVEC cells (green). The nuclear counter stain is DAPI (blue). Cells were fixed in paraformaldehyde, permeabilised with 0.25% Triton X100/PBS.
9. Flow cytometric analysis of Hela cells with Cullin 4a antibody at 1/100 dilution (green) compared with an unlabelled control (cells without incubation with primary antibody; red). Alexa Fluor 488-conjugated goat anti-rabbit IgG was used as the secondary antibody.
verifiedActivityverifiedActivityverifiedActivityverifiedActivityverifiedActivityverifiedActivityverifiedActivityverifiedActivityverifiedActivity
应用FCMICCIHCWB
推荐剂量
WB: 1:500-2000; IHC: 1:50-200; ICC: 1:50-200; FCM: 1:50-100
抗体种类
Monoclonal
宿主来源Rabbit
构建方式Recombinant Antibody
纯化方式ProA affinity purified
性状Liquid
缓冲液1*TBS (pH7.4), 1%BSA, 40%Glycerol. Preservative: 0.05% Sodium Azide.
研究背景Core component of multiple cullin-RING-based E3 ubiquitin-protein ligase complexes which mediate the ubiquitination of target proteins. As a scaffold protein may contribute to catalysis through positioning of the substrate and the ubiquitin-conjugating enzyme. The E3 ubiquitin-protein ligase activity of the complex is dependent on the neddylation of the cullin subunit and is inhibited by the association of the deneddylated cullin subunit with TIP120A/CAND1. The functional specificity of the E3 ubiquitin-protein ligase complex depends on the variable substrate recognition component. DCX(DET1-COP1) directs ubiquitination of JUN. DCX(DDB2) directs ubiquitination of XPC. DCX(DDB2) ubiquitinates histones H3-H4 and is required for efficient histone deposition during replication-coupled (H3.1) and replication-independent (H3.3) nucleosome assembly, probably by facilitating the transfer of H3 from ASF1A/ASF1B to other chaperones involved in histone deposition.
偶联与修饰
偶联
Unconjugated
抗原信息
免疫原
Recombinant Protein
Uniprot ID
化学信息
分子量Theoretical: 88 kDa.
储存&溶解度
储存方式Store at -20°C or -80°C for 12 months. Avoid repeated freeze-thaw cycles.
运输方式Shipping with blue ice.

计算器

  • 稀释 计算器
  • 配液 计算器
Related Tags: buy Anti-Cullin 4a Antibody (2X149) | purchase Anti-Cullin 4a Antibody (2X149) | Anti-Cullin 4a Antibody (2X149) cost | order Anti-Cullin 4a Antibody (2X149) | Anti-Cullin 4a Antibody (2X149) molecular weight