购物车
  • TargetMol
    您的购物车当前为空

Anti-CSPG4 Antibody (2L981)

Synonyms: Melanoma-associated chondroitin sulfate proteoglycan, Melanoma chondroitin sulfate proteoglycan, MCSP, CSPG4, Chondroitin sulfate proteoglycan NG2, Chondroitin sulfate proteoglycan 4
货号 TMAC-02839 一键复制产品信息
Rating icon 还可以

Anti-CSPG4 Antibody (2L981) 是一种 Rabbit 抗体,靶向 CSPG4。Anti-CSPG4 Antibody (2L981) 可用于 FCM,IHC,WB。

Anti-CSPG4 Antibody (2L981)

一键复制产品信息
Rating icon 还可以
货号 TMAC-02839

别名 Melanoma-associated chondroitin sulfate proteoglycan, Melanoma chondroitin sulfate proteoglycan, MCSP, CSPG4, Chondroitin sulfate proteoglycan NG2, Chondroitin sulfate proteoglycan 4

Anti-CSPG4 Antibody (2L981) 是一种 Rabbit 抗体,靶向 CSPG4。Anti-CSPG4 Antibody (2L981) 可用于 FCM,IHC,WB。

Anti-CSPG4 Antibody (2L981)
规格价格库存数量
50 μL
¥ 1,495
5日内发货
100 μL
¥ 2,495
5日内发货
库存状态实时更新,以官网显示为准,现货产品可直接加购物车下单
大包装 & 定制
加入购物车
TargetMol的所有产品仅用作科学研究或药证申报,不能被用于人体,我们不向个人提供产品和服务。请您遵守承诺用途,不得违反法律法规规定用于任何其他用途。
实验操作小课堂
常见问题解答
查看更多

资源下载:产品操作手册

产品介绍


生物活性
产品描述
Anti-CSPG4 Antibody (2L981) is a Rabbit antibody targeting CSPG4. Anti-CSPG4 Antibody (2L981) can be used in FCM,IHC,WB.
别名Melanoma-associated chondroitin sulfate proteoglycan, Melanoma chondroitin sulfate proteoglycan, MCSP, CSPG4, Chondroitin sulfate proteoglycan NG2, Chondroitin sulfate proteoglycan 4
Ig Type
IgG
克隆号
2L981
反应种属
Human
验证活性
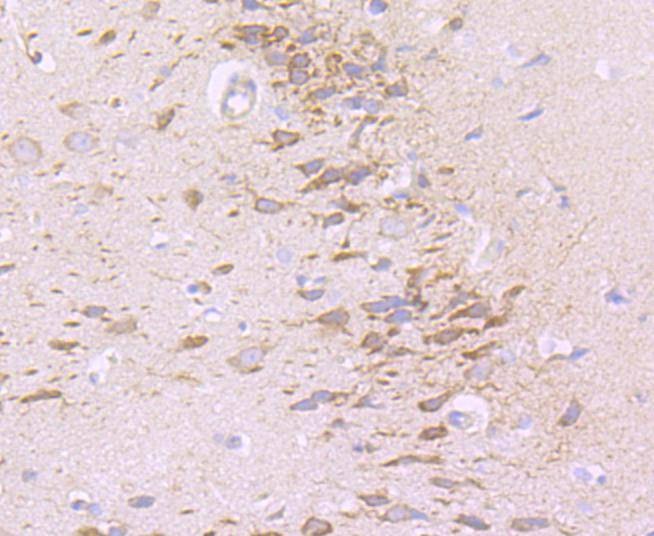
1. Immunohistochemical analysis of paraffin-embedded rat brain tissue using anti-NG2 antibody. Counter stained with hematoxylin.
2. Immunohistochemical analysis of paraffin-embedded mouse brain tissue using anti-NG2 antibody. Counter stained with hematoxylin.
3. Flow cytometric analysis of SHG-44 cells with NG2 antibody at 1/50 dilution (red) compared with an unlabelled control (cells without incubation with primary antibody; black). Alexa Fluor 488-conjugated goat anti rabbit IgG was used as the secondary antibody.
verifiedActivityverifiedActivityverifiedActivity
应用FCMIHCWB
推荐剂量
WB: 1:500-1000; IHC: 1:50-200; FCM: 1:50-100
抗体种类
Monoclonal
宿主来源Rabbit
构建方式Recombinant Antibody
纯化方式ProA affinity purified
性状Liquid
缓冲液1*TBS (pH7.4), 1%BSA, 40%Glycerol. Preservative: 0.05% Sodium Azide.
研究背景NG2 (also known as melanoma-associated chondroitin sulfate proteoglycan 4, MCSP, MCSPG, MSK16 and MEL-CSPG) stabilizes cell-substratum interactions during early events of melanoma cell spreading on endothelial basement membranes. NG2 may facilitate primary melanoma progression by enhancing the activation of key signaling pathways important for tumor invasion and growth. Threonine 2256 phosphorylation of rat NG2 (Threonine 2252 phosphorylation of human NG2) leads to redistribution of NG2 on the surface of astrocytomas, polarization of the cell and a significant increase in cell motility. NG2 acts as a co-receptor for spreading and focal contact formation in association with α4 β1 integrin in malignant melanoma cells. NG2 is present on blood vessels throughout the rat embryo. Microvessels within the rat CNS express NG2 on endothelial cells, and outside the CNS, NG2 is present on smooth muscle cells. NG2 is a novel marker for epidermal stem cells that contributes to their patterned distribution by promoting stem cell clustering.
偶联与修饰
偶联
Unconjugated
抗原信息
免疫原
Recombinant Protein
Uniprot ID
化学信息
分子量Theoretical: 251 kDa.
储存&溶解度
储存方式Store at -20°C or -80°C for 12 months. Avoid repeated freeze-thaw cycles.
运输方式Shipping with blue ice.

计算器

  • 稀释 计算器
  • 配液 计算器

关键词

Related Tags: buy Anti-CSPG4 Antibody (2L981) | purchase Anti-CSPG4 Antibody (2L981) | Anti-CSPG4 Antibody (2L981) cost | order Anti-CSPG4 Antibody (2L981) | Anti-CSPG4 Antibody (2L981) molecular weight