购物车
  • 全部删除
  • TargetMol
    您的购物车当前为空

Anti-CRMP1 Antibody (1I169)

Rating icon 还可以
产品编号 TMAC-00984
别名 Unc-33-like phosphoprotein 3 (ULIP-3), ULIP3, Inactive dihydropyrimidinase, DRP-1, DPYSL1, Dihydropyrimidinase-related protein 1, CRMP1, Collapsin response mediator protein 1 (CRMP-1)

Anti-CRMP1 Antibody (1I169) 是一种 Rabbit 抗体,靶向 CRMP1。Anti-CRMP1 Antibody (1I169) 可用于 FCM,ICC,IHC,IP,WB。

Anti-CRMP1 Antibody (1I169)

Anti-CRMP1 Antibody (1I169)

一键复制产品信息
Rating icon 还可以
产品编号 TMAC-00984 别名 Unc-33-like phosphoprotein 3 (ULIP-3), ULIP3, Inactive dihydropyrimidinase, DRP-1, DPYSL1, Dihydropyrimidinase-related protein 1, CRMP1, Collapsin response mediator protein 1 (CRMP-1)

Anti-CRMP1 Antibody (1I169) 是一种 Rabbit 抗体,靶向 CRMP1。Anti-CRMP1 Antibody (1I169) 可用于 FCM,ICC,IHC,IP,WB。

规格价格库存数量
50 μL
¥ 1,480
5日内发货
100 μL
¥ 2,485
5日内发货
大包装 & 定制
加入购物车
TargetMol 的所有产品仅用作科学研究或药证申报,不能被用于人体,我们不向个人提供产品和服务。请您遵守承诺用途,不得违反法律法规规定用于任何其他用途。
实验操作小课堂
常见问题解答
查看更多
联系我们获取更多批次信息
资源下载

产品介绍

生物活性
产品描述
Anti-CRMP1 Antibody (1I169) is a Rabbit antibody targeting CRMP1. Anti-CRMP1 Antibody (1I169) can be used in FCM,ICC,IHC,IP,WB.
别名Unc-33-like phosphoprotein 3 (ULIP-3), ULIP3, Inactive dihydropyrimidinase, DRP-1, DPYSL1, Dihydropyrimidinase-related protein 1, CRMP1, Collapsin response mediator protein 1 (CRMP-1)
Ig Type
IgG
克隆号
1I169
交叉反应
Human,Mouse,Rat
验证活性
1. Western blot analysis of CRMP1 on mouse brain tissue lysate using anti-CRMP1 antibody at 1/500 dilution.
2. Immunohistochemical analysis of paraffin-embedded rat brain tissue using anti-CRMP1 antibody. Counter stained with hematoxylin.
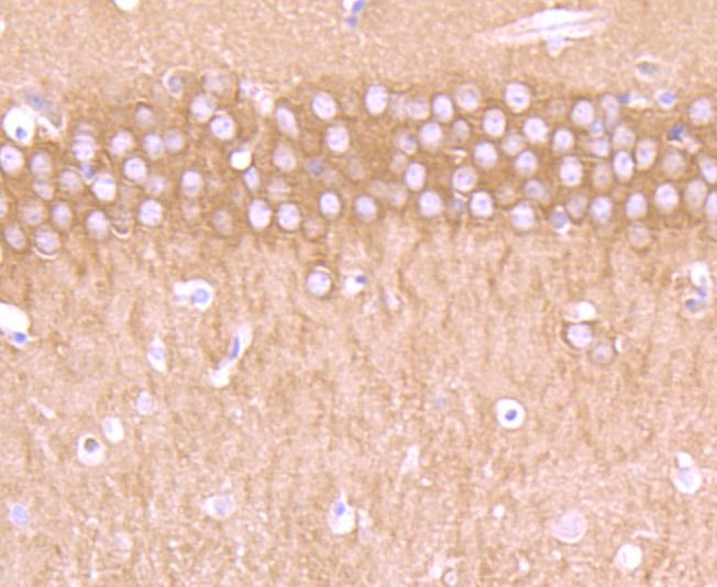
3. Immunohistochemical analysis of paraffin-embedded mouse brain tissue using anti-CRMP1 antibody. Counter stained with hematoxylin.
4. Immunohistochemical analysis of paraffin-embedded mouse cerebellum tissue using anti-CRMP1 antibody. Counter stained with hematoxylin.
5. ICC staining CRMP1 in N2A cells (green). The nuclear counter stain is DAPI (blue). Cells were fixed in paraformaldehyde, permeabilised with 0.25% Triton X100/PBS.
6. ICC staining CRMP1 in SHG-44 cells (green). The nuclear counter stain is DAPI (blue). Cells were fixed in paraformaldehyde, permeabilised with 0.25% Triton X100/PBS.
7. ICC staining CRMP1 in SH-SY5Y cells (green). The nuclear counter stain is DAPI (blue). Cells were fixed in paraformaldehyde, permeabilised with 0.25% Triton X100/PBS.
8. Flow cytometric analysis of SH-SY-5Y cells with CRMP1 antibody at 1/50 dilution (red) compared with an unlabelled control (cells without incubation with primary antibody; black). Alexa Fluor 488-conjugated goat anti rabbit IgG was used as the secondary antibody.
verifiedActivityverifiedActivityverifiedActivityverifiedActivityverifiedActivityverifiedActivityverifiedActivityverifiedActivity
应用FCMICCIHCIPWB
推荐剂量
WB: 1:500-2000; IHC: 1:50-200; ICC: 1:50-200; FCM: 1:50-100
抗体种类
Monoclonal
宿主来源Rabbit
构建方式Recombinant Antibody
纯化方式ProA affinity purified
性状Liquid
缓冲液1*TBS (pH7.4), 1%BSA, 40%Glycerol. Preservative: 0.05% Sodium Azide.
研究背景Collapsin response mediator proteins (CRMPs), including CRMP-1 (DRP-1), CRMP-2 (DRP-2 or TOAD64), CRMP-3 (DRP-4), CRMP-4 (DRP-3) and CRMP-5 (DRP-5), mediate signal transduction after exposure of neural cells to the axon guidance molecule Semaphorin 3A (SEMA3A)/collapsin. CRMPs are present in the developing cerebral cortex and neocortical neurons and are responsive to SEMA3A. In the adult brain, the expression of CRMPs is dramatically downregulated. However, they remain expressed in structures that retain their capacity for differentiation and plasticity. CRMP-1 is also involved in cancer invasion and metastasis.
偶联与修饰
偶联
Unconjugated
抗原信息
免疫原
Recombinant Protein
Uniprot ID
化学信息
分子量Theoretical: 74/62 kDa.
存储&运输
储存方式Store at -20°C or -80°C for 12 months. Avoid repeated freeze-thaw cycles.
运输方式Shipping with blue ice.

计算器

  • 稀释 计算器

关键词

评论列表

4个月前
5.0
Rating icon 很棒

评论内容

Related Tags: buy Anti-CRMP1 Antibody (1I169) | purchase Anti-CRMP1 Antibody (1I169) | Anti-CRMP1 Antibody (1I169) cost | order Anti-CRMP1 Antibody (1I169) | Anti-CRMP1 Antibody (1I169) molecular weight