购物车
  • TargetMol
    您的购物车当前为空

Anti-CREB1 Antibody (9W878)

Synonyms: Cyclic AMP-responsive element-binding protein 1, CREB-1, CREB1, cAMP-responsive element-binding protein 1
货号 TMAC-00964 一键复制产品信息
Rating icon 还可以

Anti-CREB1 Antibody (9W878) 是一种 Rabbit 抗体,靶向 CREB1。Anti-CREB1 Antibody (9W878) 可用于 FCM,ICC/IF,IHC,IP,WB。

Anti-CREB1 Antibody (9W878)

一键复制产品信息
Rating icon 还可以
货号 TMAC-00964

别名 Cyclic AMP-responsive element-binding protein 1, CREB-1, CREB1, cAMP-responsive element-binding protein 1

Anti-CREB1 Antibody (9W878) 是一种 Rabbit 抗体,靶向 CREB1。Anti-CREB1 Antibody (9W878) 可用于 FCM,ICC/IF,IHC,IP,WB。

Anti-CREB1 Antibody (9W878)
规格价格库存数量
50 μL
¥ 1,485
5日内发货
100 μL
¥ 2,485
5日内发货
库存状态实时更新,以官网显示为准,现货产品可直接加购物车下单
大包装 & 定制
加入购物车
TargetMol的所有产品仅用作科学研究或药证申报,不能被用于人体,我们不向个人提供产品和服务。请您遵守承诺用途,不得违反法律法规规定用于任何其他用途。
实验操作小课堂
常见问题解答
查看更多

资源下载:产品操作手册

产品介绍


生物活性
产品描述
Anti-CREB1 Antibody (9W878) is a Rabbit antibody targeting CREB1. Anti-CREB1 Antibody (9W878) can be used in FCM,ICC/IF,IHC,IP,WB.
别名Cyclic AMP-responsive element-binding protein 1, CREB-1, CREB1, cAMP-responsive element-binding protein 1
Ig Type
IgG
克隆号
9W878
反应种属
Human,Mouse,Rat,zebrafish
验证活性
1. Western blot analysis of CREB on different cell lysates using anti-CREB antibody at 1/1,000 dilution. Positive control: Lane 1: Hela, Lane 2: HepG2, Lane 3: Jurkat, Lane 4: NIH/3T3.
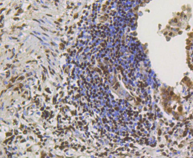
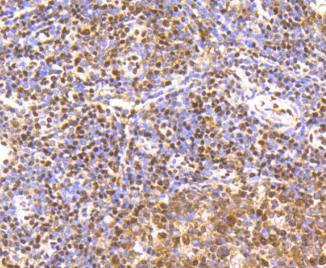
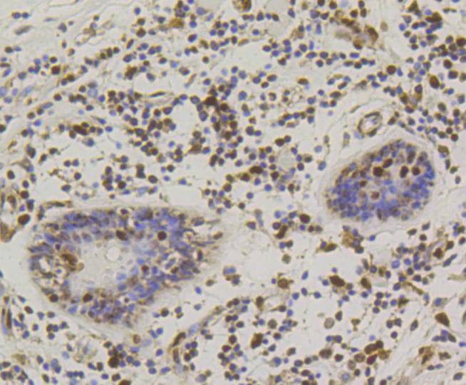
2. Immunohistochemical analysis of paraffin-embedded human tonsil tissue using anti-CREB antibody. Counter stained with hematoxylin.
3. Immunohistochemical analysis of paraffin-embedded human lung cancer tissue using anti-CREB antibody. Counter stained with hematoxylin.
4. Immunohistochemical analysis of paraffin-embedded human breast carcinoma tissue using anti-CREB antibody. Counter stained with hematoxylin.
5. Immunohistochemical analysis of paraffin-embedded mouse brain tissue using anti-CREB antibody. Counter stained with hematoxylin.
6. ICC staining CREB in Hela cells (green). The nuclear counter stain is DAPI (blue). Cells were fixed in paraformaldehyde, permeabilised with 0.25% Triton X100/PBS.
7. Flow cytometric analysis of Hela cells with CREB antibody at 1/50 dilution (blue) compared with an unlabelled control (cells without incubation with primary antibody; red). Alexa Fluor 488-conjugated goat anti rabbit IgG was used as the secondary antibody.
verifiedActivityverifiedActivityverifiedActivityverifiedActivityverifiedActivityverifiedActivityverifiedActivity
应用FCMICC/IFIHCIPWB
推荐剂量
WB: 1:1000-5000; IHC: 1:50-200; ICC/IF: 1:50-200; FCM: 1:10-100
抗体种类
Monoclonal
宿主来源Rabbit
构建方式Recombinant Antibody
纯化方式ProA affinity purified
性状Liquid
缓冲液1*TBS (pH7.4), 1%BSA, 40%Glycerol. Preservative: 0.05% Sodium Azide.
研究背景Eukaryotic gene transcription is regulated by sequence-specific transcription factors that bind modular cis-acting promoter and enhancer elements. The ATF/CREB transcription factor family binds the palindromic cAMP response element (CRE) octanucleotide TGACGTCA. The ATF/CREB family includes CREB-1, CREB-2 (also designated ATF-4), ATF-1, ATF-2 and ATF-3. This family of proteins contains highly divergent N-terminal domains, but shares a C-terminal leucine zipper for dimerization and DNA binding. Although CREB can bind to DNA in an unphosphorylated state, it cannot activate transcription. Phosphorylation of CREB on Ser 133 by protein kinase A facilitates its interaction with the CREB-binding protein (CBP) and activates the basal transcription complex. CREB functions in neoglucogenesis through interactions with the nuclear coactivator PGC-1. CREB may play a role in the pathogenesis of type II diabetes and dilated cardiomyopathy.
偶联与修饰
偶联
Unconjugated
抗原信息
免疫原
Recombinant Protein
Uniprot ID
化学信息
分子量Theoretical: 40 kDa.
储存&溶解度
储存方式Store at -20°C or -80°C for 12 months. Avoid repeated freeze-thaw cycles.
运输方式Shipping with blue ice.

计算器

  • 稀释 计算器
  • 配液 计算器

关键词

Related Tags: buy Anti-CREB1 Antibody (9W878) | purchase Anti-CREB1 Antibody (9W878) | Anti-CREB1 Antibody (9W878) cost | order Anti-CREB1 Antibody (9W878) | Anti-CREB1 Antibody (9W878) molecular weight