购物车
  • TargetMol
    您的购物车当前为空

Anti-Creatine kinase B/CKB Antibody (1R5)

Synonyms: HEL-S-29, HEL-211, creatine kinase, brain, CKBB, B-CK, BCK
货号 TMAC-00961Cas号 一键复制产品信息纯度:
Rating icon 还可以

Anti-Creatine kinase B/CKB Antibody (1R5) 是一种 Rabbit 抗体,靶向 Creatine kinase B/CKB。Anti-Creatine kinase B/CKB Antibody (1R5) 可用于 FCM,ICC,IF,IHC,WB。

Anti-Creatine kinase B/CKB Antibody (1R5)

一键复制产品信息
Rating icon 还可以
货号 TMAC-00961

别名 HEL-S-29, HEL-211, creatine kinase, brain, CKBB, B-CK, BCK

Anti-Creatine kinase B/CKB Antibody (1R5) 是一种 Rabbit 抗体,靶向 Creatine kinase B/CKB。Anti-Creatine kinase B/CKB Antibody (1R5) 可用于 FCM,ICC,IF,IHC,WB。

Anti-Creatine kinase B/CKB Antibody (1R5)
规格价格库存数量
50 μL
¥ 1,490
5日内发货
100 μL
¥ 2,480
5日内发货
库存状态实时更新,以官网显示为准,现货产品可直接加购物车下单
大包装 & 定制
加入购物车

TargetMol的所有产品仅用作科学研究或药证申报,不能被用于人体,我们不向个人提供产品和服务。请您遵守承诺用途,不得违反法律法规规定用于任何其他用途。

实验操作小课堂
常见问题解答
查看更多

资源下载:产品操作手册

产品介绍


生物活性
产品描述
Anti-Creatine kinase B/CKB Antibody (1R5) is a Rabbit antibody targeting Creatine kinase B/CKB. Anti-Creatine kinase B/CKB Antibody (1R5) can be used in FCM,ICC,IF,IHC,WB.
别名
HEL-S-29, HEL-211, creatine kinase, brain, CKBB, B-CK, BCK
Ig Type
IgG
克隆号
1R5
反应种属
Human,Mouse,Rat
验证活性
1. Western blot analysis of Creatine kinase B type on different lysates using anti-Creatine kinase B type antibody at 1/500 dilution. Positive control: Lane 1: Mouse brain, Lane 2: Mouse brain, Lane 3: Rat brain, Lane 4: 293.
2. Immunohistochemical analysis of paraffin-embedded rat brain tissue using anti-Creatine kinase B type antibody. Counter stained with hematoxylin.
3. Immunohistochemical analysis of paraffin-embedded human prostate tissue using anti-Creatine kinase B type antibody. Counter stained with hematoxylin.
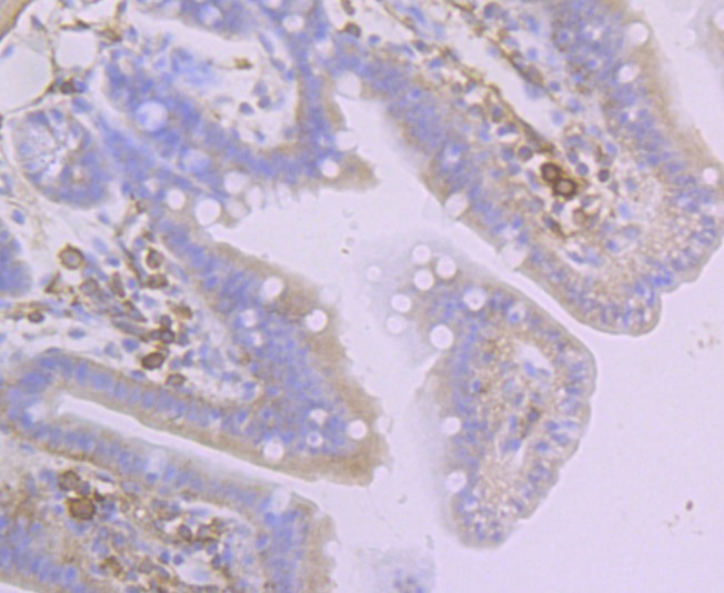
4. Immunohistochemical analysis of paraffin-embedded mouse colon tissue using anti-Creatine kinase B type antibody. Counter stained with hematoxylin.
5. ICC staining Creatine kinase B type in 293T cells (green). The nuclear counter stain is DAPI (blue). Cells were fixed in paraformaldehyde, permeabilised with 0.25% Triton X100/PBS.
6. ICC staining Creatine kinase B type in LOVO cells (green). The nuclear counter stain is DAPI (blue). Cells were fixed in paraformaldehyde, permeabilised with 0.25% Triton X100/PBS.
7. Flow cytometric analysis of 293T cells with Creatine kinase B type antibody at 1/100 dilution (red) compared with an unlabelled control (cells without incubation with primary antibody; black). Alexa Fluor 488-conjugated goat anti rabbit IgG was used as the secondary antibody.
verifiedActivityverifiedActivityverifiedActivityverifiedActivityverifiedActivityverifiedActivityverifiedActivity
应用FCMICCIFIHCWB
推荐剂量
WB: 1:500-2000; IHC: 1:50-200; ICC: 1:50-200; FCM: 1:50-100
抗体种类
Monoclonal
宿主来源Rabbit
构建方式Recombinant Antibody
纯化方式ProA affinity purified
性状Liquid
缓冲液1*TBS (pH7.4), 1%BSA, 40%Glycerol. Preservative: 0.05% Sodium Azide.
研究背景Creatine kinases (CKs) are a large family of isoenzymes that regulate levels of ATP in subcellular compartments, where they provide ATP at sites of fluctuating energy demand by the transfer of phosphates between creatine and adenine nucleotides. Creatine kinases provide the energy of phosphate hydrolysis necessary to drive the normal function of many cellular systems including muscle, electrocytes, retina photoreceptor cells, brain cells, kidney, salt glands, myometrium, placenta, pancreas, thymus, thyroid, intestinal epithelial cells, endothelial cells, cartilage and bone cells, macrophages, blood platelets, and tumor and cancer cells. Human cytoplasmic creatine kinase-B, also designated CK-B and BCK, is a 381 amino acid, brain tissue specific isoform of creatine kinase. Human cytoplasmic creatine kinase-muscle (CK-M, MCK) is a muscle tissue-specific isoform of creatine kinase. Human cytoplasmic creatine kinase-Mi (Mi-CK, MtCK) is a 416 amino acid mitochondrial-specific isoform of creatine kinase. Cytosolic creatine kinases are important in the energetic regulation of Ca2+-pumps and in the maintenance of Ca2+-homeostasis.
偶联与修饰
偶联
Unconjugated
抗原信息
免疫原
Recombinant Protein
Uniprot ID
化学信息
分子量Theoretical: 43 kDa.
储存&溶解度
储存方式Store at -20°C or -80°C for 12 months. Avoid repeated freeze-thaw cycles.
运输方式Shipping with blue ice.

计算器

  • 稀释 计算器
  • 配液 计算器

关键词

Related Tags: buy Anti-Creatine kinase B/CKB Antibody (1R5) | purchase Anti-Creatine kinase B/CKB Antibody (1R5) | Anti-Creatine kinase B/CKB Antibody (1R5) cost | order Anti-Creatine kinase B/CKB Antibody (1R5) | Anti-Creatine kinase B/CKB Antibody (1R5) molecular weight