购物车
  • 全部删除
  • TargetMol
    您的购物车当前为空

Anti-COX4I1 Antibody (4G766)

Rating icon 还可以
产品编号 TMAC-00946
别名 mitochondrial, Cytochrome c oxidase subunit IV isoform 1 (COX IV-1), Cytochrome c oxidase subunit 4 isoform 1, mitochondrial, Cytochrome c oxidase polypeptide IV, COX4I1, COX4

Anti-COX4I1 Antibody (4G766) 是一种 Rabbit 抗体,靶向 COX4I1。Anti-COX4I1 Antibody (4G766) 可用于 FCM,ICC/IF,IHC,IP,WB。

Anti-COX4I1 Antibody (4G766)

Anti-COX4I1 Antibody (4G766)

一键复制产品信息
Rating icon 还可以
产品编号 TMAC-00946 别名 mitochondrial, Cytochrome c oxidase subunit IV isoform 1 (COX IV-1), Cytochrome c oxidase subunit 4 isoform 1, mitochondrial, Cytochrome c oxidase polypeptide IV, COX4I1, COX4

Anti-COX4I1 Antibody (4G766) 是一种 Rabbit 抗体,靶向 COX4I1。Anti-COX4I1 Antibody (4G766) 可用于 FCM,ICC/IF,IHC,IP,WB。

规格价格库存数量
50 μL
¥ 1,495
5日内发货
100 μL
¥ 2,485
5日内发货
大包装 & 定制
加入购物车
TargetMol 的所有产品仅用作科学研究或药证申报,不能被用于人体,我们不向个人提供产品和服务。请您遵守承诺用途,不得违反法律法规规定用于任何其他用途。
实验操作小课堂
常见问题解答
查看更多
联系我们获取更多批次信息
资源下载

产品介绍

生物活性
产品描述
Anti-COX4I1 Antibody (4G766) is a Rabbit antibody targeting COX4I1. Anti-COX4I1 Antibody (4G766) can be used in FCM,ICC/IF,IHC,IP,WB.
别名mitochondrial, Cytochrome c oxidase subunit IV isoform 1 (COX IV-1), Cytochrome c oxidase subunit 4 isoform 1, mitochondrial, Cytochrome c oxidase polypeptide IV, COX4I1, COX4
Ig Type
IgG
克隆号
4G766
交叉反应
Human,Mouse,Rat
验证活性
1. Western blot analysis of COX IV on different lysates using anti-COX IV antibody at 1/1,000 dilution. Positive control: Lane 1: Mouse heart, Lane 2: Rat heart.
2. Immunohistochemical analysis of paraffin-embedded human liver tissue using anti-COX IV antibody. Counter stained with hematoxylin.
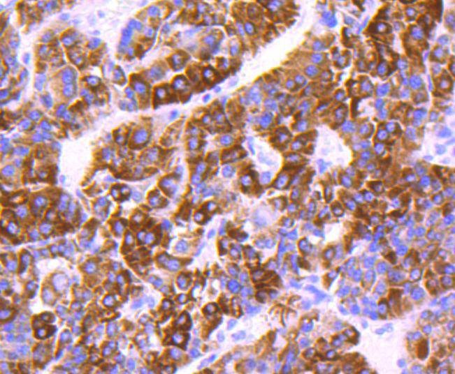
3. Immunohistochemical analysis of paraffin-embedded human liver cancer tissue using anti-COX IV antibody. Counter stained with hematoxylin.
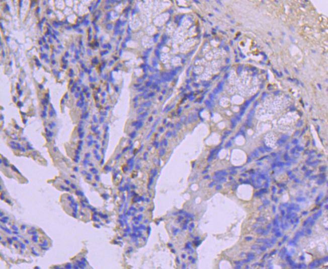
4. Immunohistochemical analysis of paraffin-embedded human colon cancer tissue using anti-COX IV antibody. Counter stained with hematoxylin.
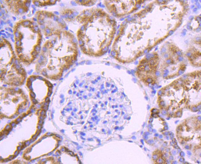
5. Immunohistochemical analysis of paraffin-embedded human kidney tissue using anti-COX IV antibody. Counter stained with hematoxylin.
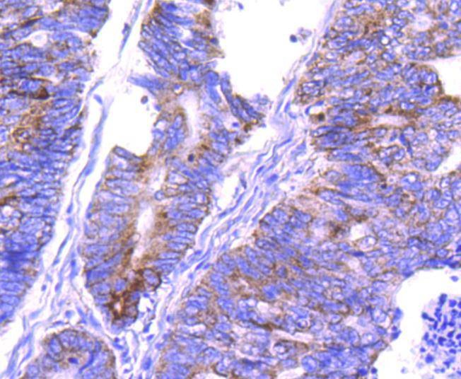
6. Immunohistochemical analysis of paraffin-embedded mouse colon tissue using anti-COX IV antibody. Counter stained with hematoxylin.
7. ICC staining COX IV in HepG2 cells (green). The nuclear counter stain is DAPI (blue). Cells were fixed in paraformaldehyde, permeabilised with 0.25% Triton X100/PBS.
8. ICC staining COX IV in NIH/3T3 cells (green). The nuclear counter stain is DAPI (blue). Cells were fixed in paraformaldehyde, permeabilised with 0.25% Triton X100/PBS.
9. Flow cytometric analysis of MCF-7 cells with COX IV antibody at 1/50 dilution (red) compared with an unlabelled control (cells without incubation with primary antibody; black). Alexa Fluor 488-conjugated goat anti rabbit IgG was used as the secondary antibody.
verifiedActivityverifiedActivityverifiedActivityverifiedActivityverifiedActivityverifiedActivityverifiedActivityverifiedActivityverifiedActivity
应用FCMICC/IFIHCIPWB
推荐剂量
WB: 1:1000-5000; IHC: 1:50-200; ICC/IF: 1:50-200; FCM: 1:50-100
抗体种类
Monoclonal
宿主来源Rabbit
构建方式Recombinant Antibody
纯化方式ProA affinity purified
性状Liquid
缓冲液1*TBS (pH7.4), 1%BSA, 40%Glycerol. Preservative: 0.05% Sodium Azide.
研究背景Cytochrome c oxidase (COX) functions as the terminal oxidase of the respiratory chain that uses cytochrome c as an electron donor to drive a proton gradient across the inner mitochondrial membrane. The mammalian COX apoenzyme is a heteromer consisting of three mitochondrial encoded catalytic subunits and several nuclear gene encoded structural subunits. COX contains two iron-coordination sites and two copper-coordination sites. Cytochrome c oxidase IV (COX4) is a nuclear-encoded subunit of COX that may play a role in regulating COX activity. COX4 is expressed ubiquitously in adult human tissue with the strongest levels of expression in the pancreas and moderate expression levels in heart, skeletal muscle and placenta.
偶联与修饰
偶联
Unconjugated
抗原信息
免疫原
Recombinant Protein
Uniprot ID
化学信息
分子量Theoretical: 16 kDa.
存储&运输
储存方式Store at -20°C or -80°C for 12 months. Avoid repeated freeze-thaw cycles.
运输方式Shipping with blue ice.

计算器

  • 稀释 计算器

关键词

评论列表

4个月前
5.0
Rating icon 很棒

评论内容

Related Tags: buy Anti-COX4I1 Antibody (4G766) | purchase Anti-COX4I1 Antibody (4G766) | Anti-COX4I1 Antibody (4G766) cost | order Anti-COX4I1 Antibody (4G766) | Anti-COX4I1 Antibody (4G766) molecular weight