• TargetMol
    您的购物车当前为空

Anti-COX-2 Antibody (1O260)

一键复制产品信息
Rating icon 还可以
产品编号 TMAB-00471

别名 prostaglandin-endoperoxide synthase 2, PHS-2, PGHS-2, PGG/HS, hCox-2, GRIPGHS, COX-2, COX2

Anti-COX-2 Antibody (1O260) 是一种 Rabbit 抗体,靶向 COX-2。Anti-COX-2 Antibody (1O260) 可用于 ICC/IF,IF,IHC-Fr,IHC-P,WB。

Anti-COX-2 Antibody (1O260)

Anti-COX-2 Antibody (1O260)

一键复制产品信息
Rating icon 还可以
产品编号 TMAB-00471 别名 prostaglandin-endoperoxide synthase 2, PHS-2, PGHS-2, PGG/HS, hCox-2, GRIPGHS, COX-2, COX2

Anti-COX-2 Antibody (1O260) 是一种 Rabbit 抗体,靶向 COX-2。Anti-COX-2 Antibody (1O260) 可用于 ICC/IF,IF,IHC-Fr,IHC-P,WB。

规格价格库存数量
50 μL
¥ 1,395
5日内发货
100 μL
¥ 2,495
5日内发货
大包装 & 定制
加入购物车
TargetMol 的所有产品仅用作科学研究或药证申报,不能被用于人体,我们不向个人提供产品和服务。请您遵守承诺用途,不得违反法律法规规定用于任何其他用途。
实验操作小课堂
常见问题解答
查看更多
联系我们获取更多批次信息
资源下载

产品介绍

生物活性
产品描述
Anti-COX-2 Antibody (1O260) is a Rabbit antibody targeting COX-2. Anti-COX-2 Antibody (1O260) can be used in ICC/IF,IF,IHC-Fr,IHC-P,WB.
别名prostaglandin-endoperoxide synthase 2, PHS-2, PGHS-2, PGG/HS, hCox-2, GRIPGHS, COX-2, COX2
Ig Type
IgG
克隆号
1O260
交叉反应
Human,Mouse
验证活性
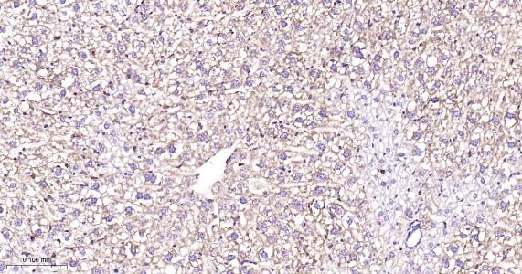
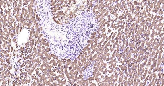
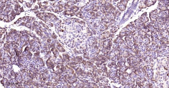
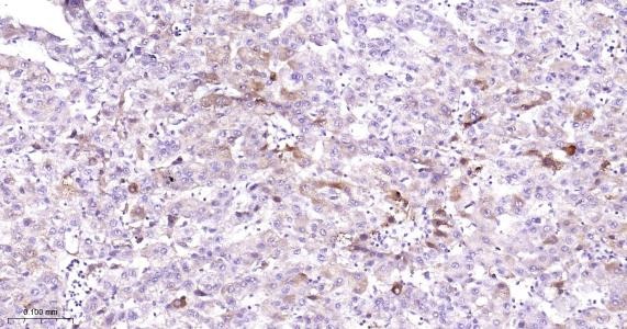
1. Paraformaldehyde-fixed, paraffin embedded Mouse Liver; Antigen retrieval by boiling in sodium citrate buffer (pH6.0) for 15 min; Antibody incubation with Cyclooxygenase 2 Monoclonal Antibody, Unconjugated (TMAB-00471) at 1:200 overnight at 4°C, followed by conjugation to the secondary antibody and DAB staining.
2. Paraformaldehyde-fixed, paraffin embedded Human Liver; Antigen retrieval by boiling in sodium citrate buffer (pH6.0) for 15 min; Antibody incubation with Cyclooxygenase 2 Monoclonal Antibody, Unconjugated (TMAB-00471) at 1:200 overnight at 4°C, followed by conjugation to the secondary antibody and DAB staining.
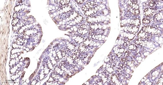
3. Paraformaldehyde-fixed, paraffin embedded Mouse Colon; Antigen retrieval by boiling in sodium citrate buffer (pH6.0) for 15 min; Antibody incubation with Cyclooxygenase 2 Monoclonal Antibody, Unconjugated (TMAB-00471) at 1:200 overnight at 4°C, followed by conjugation to the secondary antibody and DAB staining.
4. Paraformaldehyde-fixed, paraffin embedded Human Colon; Antigen retrieval by boiling in sodium citrate buffer (pH6.0) for 15 min; Antibody incubation with Cyclooxygenase 2 Monoclonal Antibody, Unconjugated (TMAB-00471) at 1:200 overnight at 4°C, followed by conjugation to the secondary antibody and DAB staining.
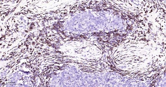
5. Paraformaldehyde-fixed, paraffin embedded Human Lung Cancer; Antigen retrieval by boiling in sodium citrate buffer (pH6.0) for 15 min; Antibody incubation with Cyclooxygenase 2 Monoclonal Antibody, Unconjugated (TMAB-00471) at 1:200 overnight at 4°C, followed by conjugation to the secondary antibody and DAB staining.
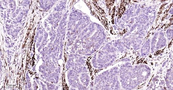
6. Paraformaldehyde-fixed, paraffin embedded Human Liver Cancer; Antigen retrieval by boiling in sodium citrate buffer (pH6.0) for 15 min; Antibody incubation with Cyclooxygenase 2 Monoclonal Antibody, Unconjugated (TMAB-00471) at 1:200 overnight at 4°C, followed by conjugation to the secondary antibody and DAB staining.
7. Paraformaldehyde-fixed, paraffin embedded Human Colon Cancer; Antigen retrieval by boiling in sodium citrate buffer (pH6.0) for 15 min; Antibody incubation with Cyclooxygenase 2 Monoclonal Antibody, Unconjugated (TMAB-00471) at 1:200 overnight at 4°C, followed by conjugation to the secondary antibody and DAB staining.
8. Paraformaldehyde-fixed, paraffin embedded Human Breast Cancer; Antigen retrieval by boiling in sodium citrate buffer (pH6.0) for 15 min; Antibody incubation with Cyclooxygenase 2 Monoclonal Antibody, Unconjugated (TMAB-00471) at 1:200 overnight at 4°C, followed by conjugation to the secondary antibody and DAB staining.
9. Paraformaldehyde-fixed, paraffin embedded Human Esophagus Cancer; Antigen retrieval by boiling in sodium citrate buffer (pH6.0) for 15 min; Antibody incubation with Cyclooxygenase 2 Monoclonal Antibody, Unconjugated (TMAB-00471) at 1:200 overnight at 4°C, followed by conjugation to the secondary antibody and DAB staining.
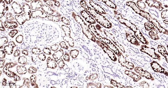
10. Paraformaldehyde-fixed, paraffin embedded Human Kidney; Antigen retrieval by boiling in sodium citrate buffer (pH6.0) for 15 min; Antibody incubation with Cyclooxygenase 2 Monoclonal Antibody, Unconjugated (TMAB-00471) at 1:200 overnight at 4°C, followed by conjugation to the secondary antibody and DAB staining.
11. Paraformaldehyde-fixed, paraffin embedded Human Heart; Antigen retrieval by boiling in sodium citrate buffer (pH6.0) for 15 min; Antibody incubation with Cyclooxygenase 2 Monoclonal Antibody, Unconjugated (TMAB-00471) at 1:200 overnight at 4°C, followed by conjugation to the secondary antibody and DAB staining.
12. Paraformaldehyde-fixed, paraffin embedded Human Pancreas; Antigen retrieval by boiling in sodium citrate buffer (pH6.0) for 15 min; Antibody incubation with Cyclooxygenase 2 Monoclonal Antibody, Unconjugated (TMAB-00471) at 1:200 overnight at 4°C, followed by conjugation to the secondary antibody and DAB staining.
13. 25 μg total protein per Lane of various lysates probed with Cyclooxygenase 2 monoclonal antibody, unconjugated (TMAB-00471) at 1:1000 dilution and 4°C overnight incubation. Followed by conjugated secondary antibody incubation at RT for 60 min.
14. RAW264.7 (M) cells were treated with or without LPS+BFA (100 ng/mL) for 6 h, 25 μg total protein per Lane of cell lysates probed with Cyclooxygenase 2 monoclonal antibody, unconjugated (TMAB-00471) at 1:1000 dilution and 4°C overnight incubation. Followed by conjugated secondary antibody incubation at RT for 60 min.
verifiedActivityverifiedActivityverifiedActivityverifiedActivityverifiedActivityverifiedActivityverifiedActivityverifiedActivityverifiedActivityverifiedActivityverifiedActivityverifiedActivityverifiedActivityverifiedActivity
应用ICC/IFIFIHC-FrIHC-PWB
推荐剂量
WB: 1:500-2000; IHC-P: 1:100-500; IHC-Fr: 1:100-500; ICC/IF: 1:50-200; IF: 1:100-500
抗体种类
Monoclonal
宿主来源Rabbit
亚细胞定位Microsome membrane; Peripheral membrane protein. Endoplasmic reticulum membrane; Peripheral membrane protein. Post-translational modifications : S-nitrosylation by NOS2 (iNOS) activates enzme activity. S-nitrosylation may take place on different Cys residues in addition to Cys-561.
构建方式Recombinant Antibody
纯化方式Protein A purified
性状Liquid
缓冲液0.01M TBS (pH7.4) with 1% BSA, 0.02% Proclin300 and 50% Glycerol.
浓度1 mg/mL
研究背景Prostaglandin-endoperoxide synthase (PTGS), also known as cyclooxygenase, is the key enzyme in prostaglandin biosynthesis, and acts both as a dioxygenase and as a peroxidase. There are two isozymes of PTGS: a constitutive PTGS1 and an inducible PTGS2, which differ in their regulation of expression and tissue distribution. This gene encodes the inducible isozyme. It is regulated by specific stimulatory events, suggesting that it is responsible for the prostanoid biosynthesis involved in inflammation and mitogenesis. [provided by RefSeq, Feb 2009]
抗原信息
免疫原
A synthesized peptide: human COX2
抗原种属
Human
基因名称
Ptgs2
基因ID
蛋白名称
Prostaglandin G/H synthase 2
Uniprot ID
研究领域
Hormone biosynthesis,Tumor biomarkers,Lipoprotein metabolism,Platelets,Cholesterol Metabolism,Macrophage / Inflamm.,Hormone biosynthesis,Cholesterol Metabolism,Lipoprotein metabolism,Heart disease,Prostaglandins
功能
Mediates the formation of prostaglandins from arachidonate. May have a role as a major mediator of inflammation and/or a role for prostanoid signaling in activity-dependent plasticity.
化学信息
分子量Theoretical: 65 kDa.
存储&运输
储存方式Store at -20°C or -80°C for 12 months. Avoid repeated freeze-thaw cycles.
运输方式Shipping with blue ice.

计算器

  • 稀释 计算器

关键词

评论列表

4个月前
5.0
Rating icon 很棒

评论内容

Related Tags: buy Anti-COX-2 Antibody (1O260) | purchase Anti-COX-2 Antibody (1O260) | Anti-COX-2 Antibody (1O260) cost | order Anti-COX-2 Antibody (1O260) | Anti-COX-2 Antibody (1O260) molecular weight