购物车
  • TargetMol
    您的购物车当前为空

Anti-Cortactin Antibody (9I917)

Synonyms: SRC8_HUMAN, Src substrate cortactin, p80/85 src substrate, Oncogene EMS1, Mammary tumor and squamous cell carcinoma associated, FLJ34459, EMS1, EMS 1, CTTN, Amplaxin
货号 TMAC-00941 一键复制产品信息
Rating icon 还可以
202603开学季活动

Anti-Cortactin Antibody (9I917) 是一种 Rabbit 抗体,靶向 Cortactin。Anti-Cortactin Antibody (9I917) 可用于 FCM,ICC/IF,IHC,IP,WB。

Anti-Cortactin Antibody (9I917)

一键复制产品信息
Rating icon 还可以
202603开学季活动
货号 TMAC-00941

别名 SRC8_HUMAN, Src substrate cortactin, p80/85 src substrate, Oncogene EMS1, Mammary tumor and squamous cell carcinoma associated, FLJ34459, EMS1, EMS 1, CTTN, Amplaxin

Anti-Cortactin Antibody (9I917) 是一种 Rabbit 抗体,靶向 Cortactin。Anti-Cortactin Antibody (9I917) 可用于 FCM,ICC/IF,IHC,IP,WB。

Anti-Cortactin Antibody (9I917)
规格价格库存数量
50 μL
¥ 1,490
5日内发货
100 μL
¥ 2,485
5日内发货
库存状态实时更新,以官网显示为准,现货产品可直接加购物车下单
大包装 & 定制
加入购物车

TargetMol的所有产品仅用作科学研究或药证申报,不能被用于人体,我们不向个人提供产品和服务。请您遵守承诺用途,不得违反法律法规规定用于任何其他用途。

实验操作小课堂
常见问题解答
查看更多

资源下载:产品操作手册

产品介绍


生物活性
产品描述
Anti-Cortactin Antibody (9I917) is a Rabbit antibody targeting Cortactin. Anti-Cortactin Antibody (9I917) can be used in FCM,ICC/IF,IHC,IP,WB.
别名
SRC8_HUMAN, Src substrate cortactin, p80/85 src substrate, Oncogene EMS1, Mammary tumor and squamous cell carcinoma associated, FLJ34459, EMS1, EMS 1, CTTN, Amplaxin
Ig Type
IgG
克隆号
9I917
反应种属
Human,Mouse,Rat
验证活性
1. Western blot analysis of Cortactin on different lysates using anti-Cortactin antibody at 1/1,000 dilution. Positive control: Lane 1: Hela, Lane 2: NIH/3T3, Lane 3: A431.
2. Immunohistochemical analysis of paraffin-embedded human tonsil tissue using anti-Cortactin antibody. Counter stained with hematoxylin.
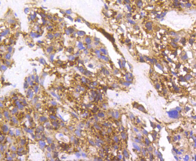
3. Immunohistochemical analysis of paraffin-embedded human breast carcinoma tissue using anti-Cortactin antibody. Counter stained with hematoxylin.
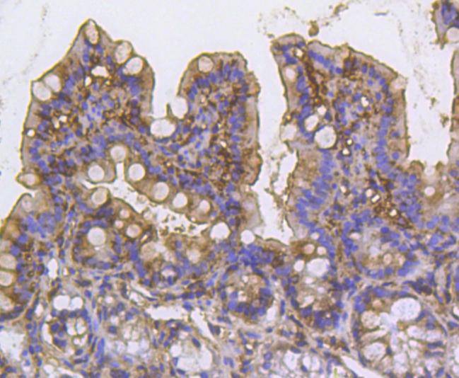
4. Immunohistochemical analysis of paraffin-embedded mouse colon tissue using anti-Cortactin antibody. Counter stained with hematoxylin.
5. ICC staining Cortactin in Hela cells (green). The nuclear counter stain is DAPI (blue). Cells were fixed in paraformaldehyde, permeabilised with 0.25% Triton X100/PBS.
6. ICC staining Cortactin in A431 cells (green). The nuclear counter stain is DAPI (blue). Cells were fixed in paraformaldehyde, permeabilised with 0.25% Triton X100/PBS.
7. ICC staining Cortactin in PC-3M cells (green). The nuclear counter stain is DAPI (blue). Cells were fixed in paraformaldehyde, permeabilised with 0.25% Triton X100/PBS.
8. Flow cytometric analysis of Hela cells with Cortactin antibody at 1/50 dilution (red) compared with an unlabelled control (cells without incubation with primary antibody; black). Alexa Fluor 488-conjugated goat anti rabbit IgG was used as the secondary antibody.
verifiedActivityverifiedActivityverifiedActivityverifiedActivityverifiedActivityverifiedActivityverifiedActivityverifiedActivity
应用FCMICC/IFIHCIPWB
推荐剂量
WB: 1:1000-5000; IHC: 1:50-200; ICC/IF: 1:100-500; FCM: 1:50-100
抗体种类
Monoclonal
宿主来源Rabbit
构建方式Recombinant Antibody
纯化方式ProA affinity purified
性状Liquid
缓冲液1*TBS (pH7.4), 1%BSA, 40%Glycerol. Preservative: 0.05% Sodium Azide.
研究背景Cortactin (also designated Ems-1) is a filamentous Actin (F-Actin) binding protein that has been shown to be a substrate for Src p60. Cortactin contains tandem 37 amino acid repeats at the amino-terminus and an SH3 domain at the carboxy-terminus. The tandem repeats appear to be necessary for F-Actin binding. Tyrosine phosphorylation of Cortactin by Src p60 results in diminished F-Actin binding to Cortactin and reduced F-Actin cross-linking activity. Cortactin has also been shown to be phosphorylated in response to FGF-1. Cortactin exhibits abundant expression in megakaryocytes and platelets, and it may play a role in the maturation of megakaryocytes.
偶联与修饰
偶联
Unconjugated
抗原信息
免疫原
Recombinant Protein
Uniprot ID
化学信息
分子量Theoretical: 75 kDa.
储存&溶解度
储存方式Store at -20°C or -80°C for 12 months. Avoid repeated freeze-thaw cycles.
运输方式Shipping with blue ice.

计算器

  • 稀释 计算器
  • 配液 计算器
Related Tags: buy Anti-Cortactin Antibody (9I917) | purchase Anti-Cortactin Antibody (9I917) | Anti-Cortactin Antibody (9I917) cost | order Anti-Cortactin Antibody (9I917) | Anti-Cortactin Antibody (9I917) molecular weight