购物车
  • TargetMol
    您的购物车当前为空

Anti-CNPase Antibody (5Q967)

Synonyms: CNPase, CNP1, CNP 1, CNP, CN37_HUMAN, 3''-cyclic-nucleotide 3''-phosphodiesterase, 2'3' cyclic nucleotide 3' phosphodiesterase, 2''
货号 TMAC-00907 一键复制产品信息
Rating icon 还可以

Anti-CNPase Antibody (5Q967) 是一种 Rabbit 抗体,靶向 CNPase。Anti-CNPase Antibody (5Q967) 可用于 FCM,ICC,IHC,WB。

Anti-CNPase Antibody (5Q967)

一键复制产品信息
Rating icon 还可以
货号 TMAC-00907

别名 CNPase, CNP1, CNP 1, CNP, CN37_HUMAN, 3''-cyclic-nucleotide 3''-phosphodiesterase, 2'3' cyclic nucleotide 3' phosphodiesterase, 2''

Anti-CNPase Antibody (5Q967) 是一种 Rabbit 抗体,靶向 CNPase。Anti-CNPase Antibody (5Q967) 可用于 FCM,ICC,IHC,WB。

Anti-CNPase Antibody (5Q967)
规格价格库存数量
50 μL
¥ 1,480
5日内发货
100 μL
¥ 2,490
5日内发货
库存状态实时更新,以官网显示为准,现货产品可直接加购物车下单
大包装 & 定制
加入购物车

TargetMol的所有产品仅用作科学研究或药证申报,不能被用于人体,我们不向个人提供产品和服务。请您遵守承诺用途,不得违反法律法规规定用于任何其他用途。

实验操作小课堂
常见问题解答
查看更多

资源下载:产品操作手册

产品介绍


生物活性
产品描述
Anti-CNPase Antibody (5Q967) is a Rabbit antibody targeting CNPase. Anti-CNPase Antibody (5Q967) can be used in FCM,ICC,IHC,WB.
别名
CNPase, CNP1, CNP 1, CNP, CN37_HUMAN, 3''-cyclic-nucleotide 3''-phosphodiesterase, 2'3' cyclic nucleotide 3' phosphodiesterase, 2''
Ig Type
IgG
克隆号
5Q967
反应种属
Human,Mouse,Rat
验证活性
1. Western blot analysis of CNPase on mouse brain lysates using anti-CNPase antibody at 1/1,000 dilution.
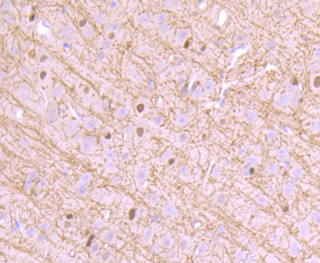
2. Immunohistochemical analysis of paraffin-embedded mouse brain tissue using anti-CNPase antibody. Counter stained with hematoxylin.
3. Immunohistochemical analysis of paraffin-embedded rat brain tissue using anti-CNPase antibody. Counter stained with hematoxylin.
4. ICC staining CNPase in SHG-44 cells (green). The nuclear counter stain is DAPI (blue). Cells were fixed in paraformaldehyde, permeabilised with 0.25% Triton X100/PBS.
5. ICC staining CNPase in SH-SY-5Y cells (green). The nuclear counter stain is DAPI (blue). Cells were fixed in paraformaldehyde, permeabilised with 0.25% Triton X100/PBS.
6. ICC staining CNPase in N2A cells (green). Cells were fixed in paraformaldehyde, permeabilised with 0.25% Triton X100/PBS.
7. Flow cytometric analysis of SH-SY-5Y cells with CNPase antibody at 1/50 dilution (blue) compared with an unlabelled control (cells without incubation with primary antibody; red). Alexa Fluor 488-conjugated goat anti-rabbit IgG was used as the secondary antibody.
verifiedActivityverifiedActivityverifiedActivityverifiedActivityverifiedActivityverifiedActivityverifiedActivity
应用FCMICCIHCWB
推荐剂量
WB: 1:1000-2000; IHC: 1:50-200; ICC: 1:50-200; FCM: 1:50-100
抗体种类
Monoclonal
宿主来源Rabbit
构建方式Recombinant Antibody
纯化方式ProA affinity purified
性状Liquid
缓冲液1*TBS (pH7.4), 1%BSA, 40%Glycerol. Preservative: 0.05% Sodium Azide.
研究背景2',3'-cyclic nucleotide-3'-phosphodiesterase (CNPase) is a membrane-bound enzyme that can link tubulin to membranes and may regulate cytoplasmic microtubule distribution. CNPase acts as a microtubule-associated protein by promoting microtubule assembly; this activity resides in the C-terminus of the enzyme. CNPase is firmly associated with tubulin from brain tissue and thyroid cells and can be found at high concentrations in central nervous system myelin and in the outer segments of photoreceptors in the retina. Acute lead intoxication leads to disturbances in CNPase activity and the morphology of myelin.
偶联与修饰
偶联
Unconjugated
抗原信息
免疫原
Recombinant Protein
Uniprot ID
化学信息
分子量Theoretical: 48 kDa.
储存&溶解度
储存方式Store at -20°C or -80°C for 12 months. Avoid repeated freeze-thaw cycles.
运输方式Shipping with blue ice.

计算器

  • 稀释 计算器
  • 配液 计算器
Related Tags: buy Anti-CNPase Antibody (5Q967) | purchase Anti-CNPase Antibody (5Q967) | Anti-CNPase Antibody (5Q967) cost | order Anti-CNPase Antibody (5Q967) | Anti-CNPase Antibody (5Q967) molecular weight