购物车
  • TargetMol
    您的购物车当前为空

Anti-CHD1L Antibody (7L400)

Synonyms: Chromodomain-helicase-DNA-binding protein 1-like, CHD1L, Amplified in liver cancer protein 1, ALC1
货号 TMAC-00833 一键复制产品信息
Rating icon 还可以

Anti-CHD1L Antibody (7L400) 是一种 Rabbit 抗体,靶向 CHD1L。Anti-CHD1L Antibody (7L400) 可用于 FCM,IHC,WB。

Anti-CHD1L Antibody (7L400)

一键复制产品信息
Rating icon 还可以
货号 TMAC-00833

别名 Chromodomain-helicase-DNA-binding protein 1-like, CHD1L, Amplified in liver cancer protein 1, ALC1

Anti-CHD1L Antibody (7L400) 是一种 Rabbit 抗体,靶向 CHD1L。Anti-CHD1L Antibody (7L400) 可用于 FCM,IHC,WB。

Anti-CHD1L Antibody (7L400)
规格价格库存数量
50 μL
¥ 1,495
5日内发货
100 μL
¥ 2,490
5日内发货
库存状态实时更新,以官网显示为准,现货产品可直接加购物车下单
大包装 & 定制
加入购物车
TargetMol的所有产品仅用作科学研究或药证申报,不能被用于人体,我们不向个人提供产品和服务。请您遵守承诺用途,不得违反法律法规规定用于任何其他用途。
实验操作小课堂
常见问题解答
查看更多

资源下载:产品操作手册

产品介绍


生物活性
产品描述
Anti-CHD1L Antibody (7L400) is a Rabbit antibody targeting CHD1L. Anti-CHD1L Antibody (7L400) can be used in FCM,IHC,WB.
别名Chromodomain-helicase-DNA-binding protein 1-like, CHD1L, Amplified in liver cancer protein 1, ALC1
Ig Type
IgG
克隆号
7L400
反应种属
Human,Mouse
验证活性
1. Western blot analysis of CHD1L on HepG2 cell using anti-CHD1L antibody at 1/1,000 dilution.
2. Immunohistochemical analysis of paraffin-embedded human tonsil tissue using anti-CHD1L antibody. Counter stained with hematoxylin. The section was pre-treated using heat mediated antigen retrieval with sodium citrate buffer (pH6) for 20 mins.
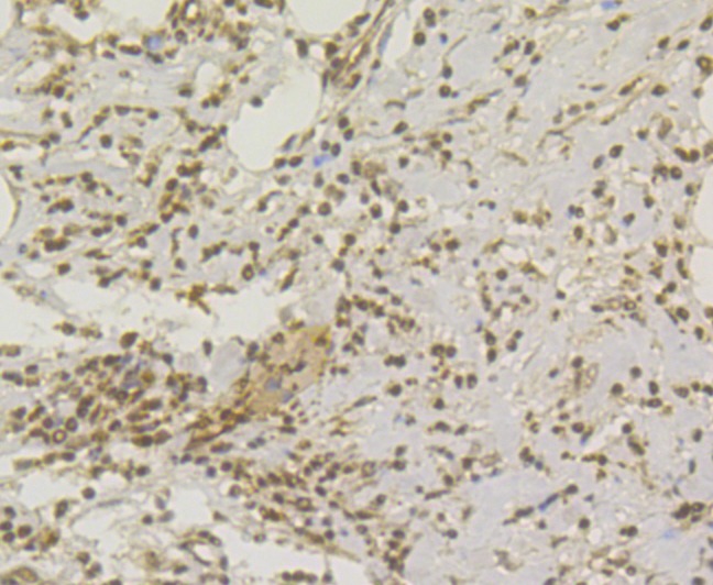
3. Immunohistochemical analysis of paraffin-embedded human colon cancer tissue using anti-CHD1L antibody. Counter stained with hematoxylin. The section was pre-treated using heat mediated antigen retrieval with sodium citrate buffer (pH6) for 20 mins.
4. Immunohistochemical analysis of paraffin-embedded mouse testis tissue using anti-CHD1L antibody. Counter stained with hematoxylin. The section was pre-treated using heat mediated antigen retrieval with sodium citrate buffer (pH6) for 20 mins.
5. Flow cytometric analysis of HepG2 cells with CHD1L antibody at 1/100 dilution (purple) compared with an unlabelled control (cells without incubation with primary antibody; yellow). Alexa Fluor 488-conjugated goat anti-rabbit IgG was used as the secondary antibody.
verifiedActivityverifiedActivityverifiedActivityverifiedActivityverifiedActivity
应用FCMIHCWB
推荐剂量
WB: 1:500-1000; IHC: 1:50-100; FCM: 1:50-100
抗体种类
Monoclonal
宿主来源Rabbit
构建方式Recombinant Antibody
纯化方式ProA affinity purified
性状Liquid
缓冲液1*TBS (pH7.4), 1%BSA, 40%Glycerol. Preservative: 0.05% Sodium Azide.
研究背景CHD1L (Chromodomain helicase DNA-binding protein 1-like) is a 897 amino acid protein encoded by the human gene CHD1L. The CHD family of proteins are ATP-dependent chromatin remodeling enzymes, which combine chromodomains, with SWI2/SNF2 ATPase/helicase motifs and DNA-binding capability. Chromodomains are protein regions of about 40-50 amino acid residues found in proteins associated with chromatin remodeling and manipulation. The domain is highly conserved among both plants and animals and is found in a large variety of proteins from many genomes. CHD1L and CHD1 share most homology within two internal helicase domains.
偶联与修饰
偶联
Unconjugated
抗原信息
免疫原
Recombinant Protein: human CHD1L aa 600-800
抗原种属
human
Uniprot ID
化学信息
分子量Theoretical: 101/90 kDa.
储存&溶解度
储存方式Store at -20°C or -80°C for 12 months. Avoid repeated freeze-thaw cycles.
运输方式Shipping with blue ice.

计算器

  • 稀释 计算器
  • 配液 计算器

关键词

Related Tags: buy Anti-CHD1L Antibody (7L400) | purchase Anti-CHD1L Antibody (7L400) | Anti-CHD1L Antibody (7L400) cost | order Anti-CHD1L Antibody (7L400) | Anti-CHD1L Antibody (7L400) molecular weight